很多人看到肺部CT报告上一大堆描述 , 心里就会恐慌 , 因为不清楚这些术语代表什么意思 , 于是总会联想到什么不好的疾病 。 实际上 , 很多CT报告上描述的都是小问题 , 甚至可以完全不必去理会 。 罗列如下:
文章插图
1.肺纹理增多
肺纹理增粗 , 或者肺纹理增重 , 是个影像学概念 , 多见于长期抽烟的人、老年人、肥胖的健康人 , 也可见于急慢性支气管炎者 。 如果没有任何症状 , 仅仅在体检报告中看到的单纯肺纹理增粗 , 其实没有什么实际的临床意义 , 可以认定为生理性肺纹理增粗 , 不需要去关注 , 也不需要处理 。 而如果近期有咳嗽 , 咳痰等症状 , 胸片报肺纹理增粗 , 医生可以认定为是气管炎、支气管炎 , 可以抗炎治疗 。
文章插图
2.陈旧增殖灶
肺部增殖灶主要是由于肺结核或者肺炎好转后遗留的纤维索条影 , 实际上就是机体对病变的一种修复形式 , 类似于受伤恢复后遗留的疤痕 。 在一般情况之下 , 并不会影响肺部功能 , 也不会发生癌变 , 如果没有临床症状的不需要处理 , 定期复查即可 。
文章插图
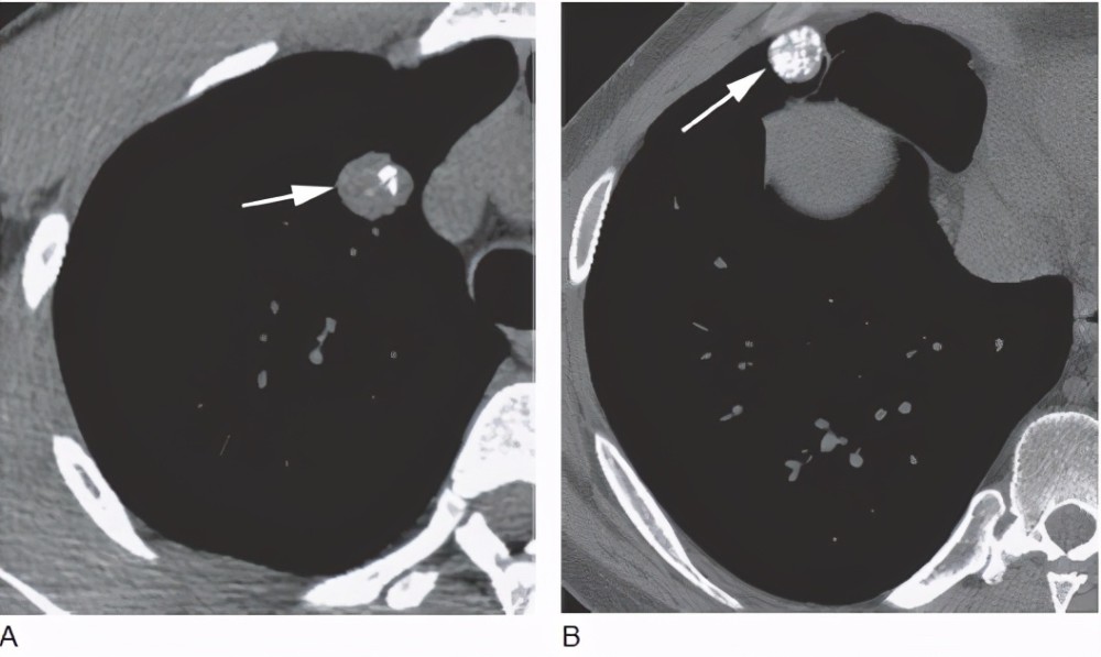
3.结节样钙化灶
胸片和或CT报告中常提示结节样钙化灶或者钙化结节之类的描述 , 这个也是不必担心的 。 肺部钙化结节是疾病恢复后遗留的一种疤痕 , 大多数由于既往的肺结核或肺炎所致 , 尤其是两上的肺的钙化灶绝大多数与既往肺结核感染相关 , 有时候影像科医生会直接写上 , 考虑陈旧性肺结核 。 这类钙化灶或钙化结节会长期存在不变化 , 小范围的钙化结节灶对肺功能没有任何影响 。
文章插图
4.局限性肺气肿
局限性肺气肿是指CT所发现的局灶性肺气肿改变 , 面积不大 , 可伴有局部的肺大泡 。 当局部的某些气管狭窄 , 就只会引起局限性肺气肿 。 多见于长期吸烟者 , 另外支气管哮喘 , 慢性阻塞性肺病也有可能导致局限性肺气肿 。 大部分情况下 , 局限性肺气肿没有明显临床症状 , 也不需要特殊治疗 , 对肺功能影响较小 。 只需要注意平时肺部保养 , 减少有毒有害气体对肺部的损害 , 避免受凉、感冒并戒烟 。
文章插图
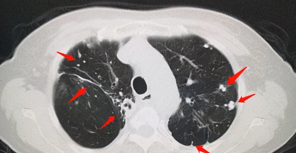
5.肺局部纤维条索影
肺内纤维条索影 , 是由于病变在修复过程中被纤维组织取代的结果 , 属于一种慢性稳定性病灶 , 相当于陈旧性疤痕 。 既往得过肺结核或长期大量吸烟的人会容易出现肺部条索影 。 部分人长期处于大量粉尘或者化工原料的环境中工作时 , 也会出现肺纤维条索影 。 最常见于石棉暴露者 。 局限性纤维条索影不影响肺功能 , 不需要药物治疗 , 定期复查即可 。 重要的是戒烟和脱离污染环境 。
文章插图
6.实性微小结节
【肺部|哪些肺部影像报告不必太在意?看门诊医生看一眼就会打发你】5mm之内的结节为微小结节 , 相比较磨玻璃结节 , 实性微小结节恶性概率更低 , 多数为肺内炎症或出血留下的疤痕 。 直径≤6mm实性小结节绝大部分良性 , 恶性概率小于1% 。 对于≤4mm的肺实性结节 , 如果没有肺癌的高危因素 , 可以不需要随访 , 有肺癌的危险因素 , 可以12个月后复查 , 若无变化 , 往后可以常规年度随访 。
推荐阅读
- 肺部|长期抽烟的人,点烟前牢记几点,或许不用戒烟,肺部也会舒服点!
- 肺部|肺不好,会出现“1粗、2痛、3多”,占一个,也最好去查肺CT
- 银屑病|对牛皮癣恢复有利的生活方式有哪些?
- 蔬菜皇后洋葱,对人体有哪些好处呢?生活中怎么吃才对呢?
- 水溶肥|水溶肥肥效不好的原因有哪些?
- 黑芝麻、白芝麻哪种营养价值最高?吃芝麻有哪些好处?明确告诉你
- 韭菜|韭菜高产栽培要点有哪些?巧用2个方法,芽都长得快根扎得深
- 被“玩坏”的奥利奥,你都吃过哪些奥利奥黑暗料理
- 疫情期间经常吃泡面、面条对人有哪些影响?营养师告诉你正确吃法
- 腰椎间盘突出症|经常腰痛,可能与哪些疾病有关?别再拖下去了
