讲者:唐伟 大连大学附属新华医院神经内四科
1965 年 , Fisher 教授将“小而深的脑梗死”定义为腔隙性脑梗死 。 腔隙性脑梗死多发生在脑深部 , 尤其是基底节区、丘脑和脑桥等部位 。 梗死灶的直径一般为 2~15 毫米 , 其发病率约占缺血性脑卒中的 20% 。
误区 1:高血压病为腔隙性脑梗死为唯一病因
旧版教材概念:腔隙性脑梗死是指在长期高血压病的基础上 , 大脑动脉的深支闭塞所引起的脑干和大脑半球脑深部白质的缺血性微梗死 。
近年教材纠正:腔隙性脑梗死是建立在高血压病动脉硬化的基础上 , 包括糖尿病、高血脂、抽烟、饮酒……高血病不是唯一的原因 。 (具体发病机理可参见下图)
文章插图
注:腔隙性脑梗死的发病机理
误区 2:腔隙性脑梗死为脑血管病 , 应该都是急性起病
纠正:急性起病只是一部分 , 还有慢性起病 。
约 70% 呈急性或亚急性起病 。 如果是急性起病 , 特别是活动中起病需要做磁共振 ,若为多灶性 , 很可能是栓塞造成 。
部分(约30%)以头晕头痛、记忆力减退慢性病起病 。 因此 50 岁以上的体检 , 除了心肺 , 建议也多关注大脑 , 可做头颅 CT , 条件允许还可以做核磁共振 。
误区 3:头 CT、MRI 有腔隙性脑梗死灶 , 临床一定有症状
纠正:不一定 , 可以没有任何症状 。
有人做了核磁说有腔梗 , 没有任何症状 。 其原因是病变可能位于不重要的或不影响脑功能的部位 , 称“哑区” 。
位于尾状核、豆状核、锥体外系代偿能力强 。
虽然影像检查是诊断的腔梗 , 实际病灶本身貌似腔梗或被误认为是腔梗 , 却不是真正的腔梗 。
根据腔隙性脑梗死有无神经系统体征可以概括成 3 类:
● 有局灶神经系统定位体征:能够明确分类的腔隙性脑梗死 , 其出现率约占腔隙性脑梗死的 75% 。
● 有神经系统的症状 , 但无局灶体征 , 不能分型分类的腔隙性脑梗死 , 约占腔隙性脑梗死的 9% 。
● 无神经系统症状和体征:约占腔隙性脑梗死的 16% 。
误区 4:有些患者有头痛来诊 , 作头 CT 或 MRI 示腔隙性脑梗死 , 解释头痛为腔隙性脑梗死所致 。
纠正:腔梗无头痛 。
腔梗临床表现有“三无”:无头痛、无颅高压和意识障碍 。 由于是细小血管 , 不会引起颅高压和意识障碍 。
症状轻 , 体征单一 , 预后好 , 易复发 。
误区 5:在老年人脑部发现少量的腔梗病灶且无症状 , 就认为这比较常见 , 属于老年性脑改变之一 , 无需担心 , 也不需接受继续检查与治疗 。
纠正:小血管大问题!
【腔隙性脑梗死|【提醒】腔隙性脑梗死诊疗中的9大雷区】复发:发病一次 , 加重一次 , 有累积效应 。 特别是老年人 , 不排除其他血管也出现硬化 , 只是程度不同 。
腔隙状态(lacunar state)是多发性腔隙性梗死出现严重 , 会出现运动障碍、精神障碍、痴呆、假性延髓性麻痹(吞咽困难、饮水呛咳、进食困难、发音不清等)、双侧锥体束征、类帕金森综合征、尿便失禁等 。
误区 6:依赖影像诊断 , 却没辨清各种脑疾病的差别
神经科与影像科相互促进 , 随着磁共振的发展 , 虽已减少很多腔隙梗死的误诊 , 但这个问题依然有必要强调一下 。
1. 把“血管周围间隙”误认为腔梗
文章插图
血管周围间隙 , 在影像上 , 比如 CT表现为两种情况: 圆形 , 周围非常光滑界限清楚; 线形 , 灶小 , 1.9 × 0.9 毫米 , 一般病灶小于 2 × 1毫米;总的来说形态不行 , 大小也不同 。
文章插图
腔隙性脑梗死呈楔形、三角形或月牙形 , 平均大小 3.0 × 1.6 毫米 , 60% 大于 2 × 2 毫米 , 边界模糊 。 注意 , 脑干上3 × 2 毫米以上的病灶 , 腔梗的可能性比较大 , 勿诊断成血管周围间隙 。
总的来说形态、大小不同 , 但分布区域有些相似 , 都有可能分布在基底节区、放射冠的区域等 。
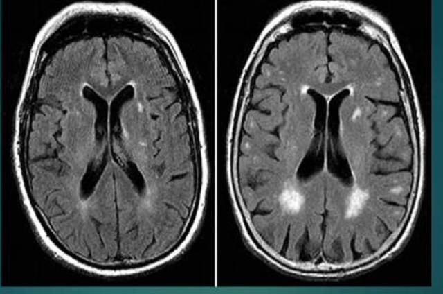
2. 把脑白质点状的脱髓鞘病灶误认为腔梗
文章插图
脑白质病变与腔梗都属于小血管病变 , 最主要的病因都是高血管病 。 脑白质病变一般呈片状 , 主要的好发部位是侧脑室体的旁边 , 内囊区域也会出现 , 大部分在皮层下白质 。 点状脱髓鞘病变与腔梗进行鉴别:脱髓鞘的病变一般两边对称 , 腔梗不对称;脱髓鞘边界不如脑梗死的清楚 。
3. 把“多发性硬化”误认为腔梗
文章插图
多发性硬化主要见于年轻人 , 在 CT 上表现为低密度 , 病灶特点为直角征(病变的横轴与正中线和侧脑室体部垂直)、煎蛋征(做 CT 增强有所体现);腔梗多见于老年人 , 区别多发性硬化除了影响诊断 , 要从病史、临床表现、查体上进行鉴别 。
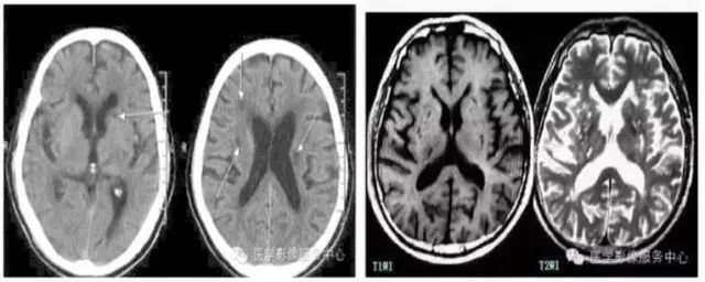
4. 把“脑白质疏松” 误认为腔梗影像
文章插图
脑白质疏松(即脑白质脱髓鞘)常与腔梗相伴随 , 基本上在侧脑室体旁融合成片 , 侧脑室的前角后角较多见 。
误区 7:看到影像诊断报告中有腔梗 , 不核对是否是责任病灶 , 不管真腔梗或假腔梗就选择输液治疗
纠正:输液治疗不是你想输就能输的 。
有效控制高血压和各种类型脑动脉硬化可减少腔隙性卒中可能性 , 是预防本病的关键 。
可适当应用扩血管药物 , 增加脑组织血液供应 , 促进神经功能恢复 。
应用钙离子拮抗药 , 减少血管痉挛 , 改善脑血液循环 , 降低腔隙性梗死复发率 。
控制吸烟、糖尿病和高脂血症等可干预危险因素 。
误区 8:腔梗病灶不大 , 不影响日常活动 , 应早日康复训练
纠正:看病因 , 如果是动脉斑块脱落 , 斑块不稳定 , 易再次脱落 , 早期应注意休息 , 减少活动 。
误区 9:腔梗症状不明显 , 外科手术不受影响?
纠正:有腔梗至少说明脑血管有动脉硬化导致闭塞 , 做手术是一个应激(也是一种刺激) , 会造成血流量减少 , 也是诱发脑卒中的重要因素 , 需要和外科医生说明有风险 , 必须向患者交代 , 避免医疗纠纷 。
来源:影领学苑
【版权声明】本平台属公益学习平台 , 转载系出于传递更多学习信息之目的 , 且已标明作者和出处 , 如不希望被传播的老师可与我们联系删除
推荐阅读
- 脑梗死|脑梗死和喝酒有没有关系呢?爱喝酒的朋友,应该看看
- 急性心肌梗死|AHA发布急性心梗合并心源性休克科学声明,药物首选去甲肾上腺素
- 心脏|心脏突然疼痛是不是心肌梗死?心梗缠上年轻人,5个征兆要知道
- 急性心肌梗死|2位80后男子犯了同一个错!其中一个再次心肌梗死,一个心衰!
- 小卒中|短暂性脑缺血,不仅诱发小卒中,还会带来大麻烦
- m老师|健康|120急救中心专家心肌梗死 他亲自指挥抢救自己时突发心脏骤停……
- 急性心肌梗死|59岁男子多次心梗前兆未重视,5点心脏停跳!科普:心梗前兆!
- 脑梗死|生气可能会导致哪些疾病?看完要学会控制脾气了
- 急性心肌梗死|病例|当急性心肌梗死合并肺栓塞,该如何处理?
- 急性心肌梗死|心肌梗死如何预防?做好这件事,或许就与它“无缘”
