凌晨4:59 , 急性心肌梗死传图群 , 发了一张急性广泛前壁的心电图 , 患者男性59岁 , 胸痛1天才打120 。
患者刚到急诊门口 , 还没下120车 , 就发生心脏室颤 , 意识丧失 , 四肢抽搐;120医生立即200J电击除颤 , 患者心脏才恢复正常跳动 。
文章插图
传图群
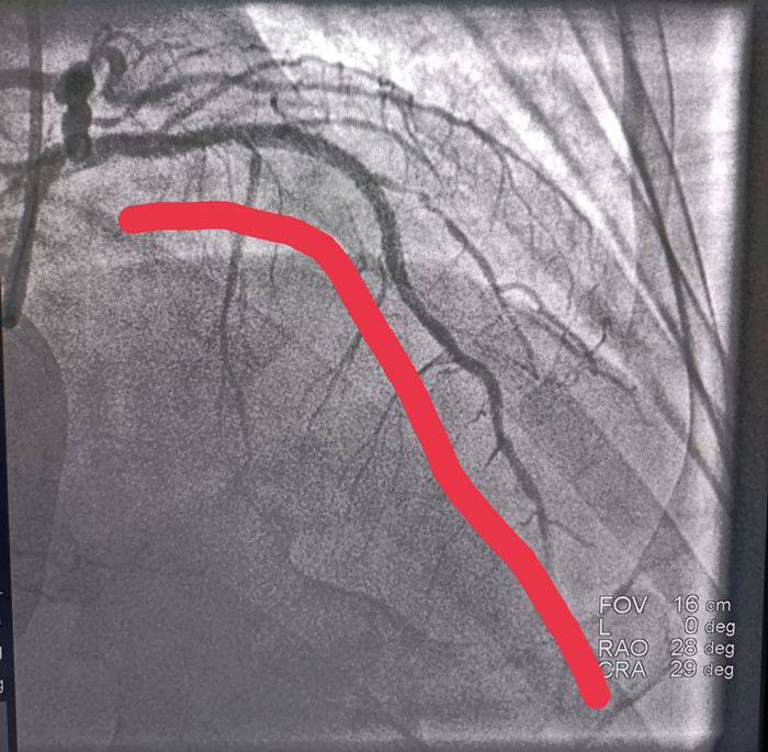
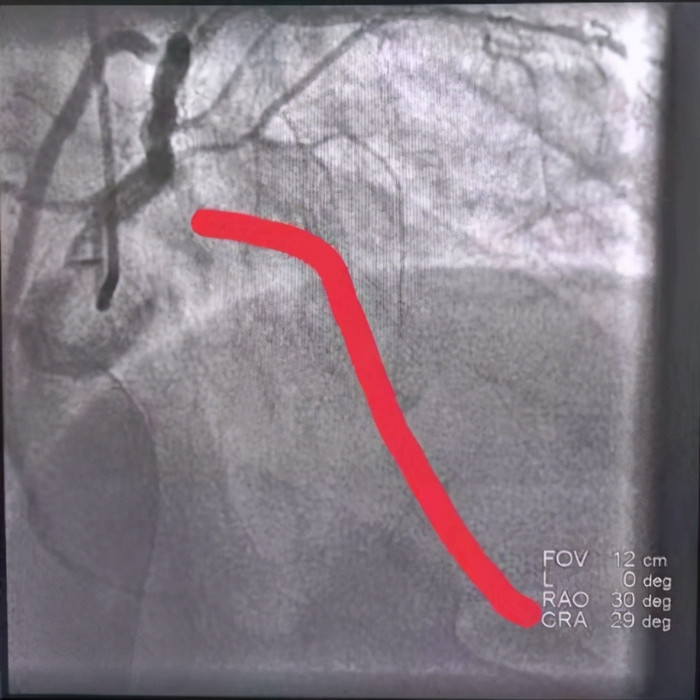
在患者被推到导管室门口 , 患者心脏再次室颤 , 医生再次电击除颤;这时候导管室早在20分钟前做好了一切手术准备 。 患者造影很顺利 , 造影显示心脏做大血根部堵塞 , 经过导丝通过 , 球囊扩张 , 血流显影 , 支架植入 , 血流恢复 。
文章插图
手术前
文章插图
手术后
但患者梗死面积大 , 坏死心肌多 , 这种前壁心肌梗死很容易发生心源性休克 。 所以在植入支架前 , 先行植入IABP , 也就是一直帮助心脏维持循环的体外机器 。
文章插图
随后患者被数名医护人员一起送回了心脏重症监护室 。
其实刘先生这次心肌梗死前一天 , 心脏多次发出心梗预兆;但患者不以为然 , 或者说更没有一点心血管常识 , 并不知道自己是心脏病 , 并未引起他的重视 , 一拖再拖 , 直至发生心肌梗死 。
一、刘先生的心脏报警
刘先生过了正月十五 , 就觉得自己后背不舒服 , 每次走路快 , 或者五楼 , 就会发生后背疼痛 , 有时候不得不被动停下来休息几分钟才能缓解 。
刘先生以为就是过年这几天累着了 , 也没当回事 , 后背疼痛机会每天都会发生几次 , 多在活动后出现 。 入院前一天 , 刘先生后背疼痛发作较前频繁 , 且症状加重 , 最关键都是在不活动的时候发生 。 也就是刘先生入院前一天 , 在家休息中也会持续后背疼痛 , 且出现胸闷憋气 , 有时候还出凉汗 。 就这样刘先生依然没有引起重视 , 仍觉得就是累的 , 或颈椎犯了 , 时不时地还用保健球在后背敲上一阵 。
凌晨3点 , 刘先生后背疼痛加重 , 把刘先生从半睡眠中疼醒 , 同时冷汗浸湿了全身 , 胸闷憋气持续不缓解 , 自己感觉整个人都快不行了 。 这才让妻子打120 。
文章插图
心肌梗死心电图
120赶到后一做心电图提示急性广泛前壁心肌梗死 。
其实刘先生后背疼痛就是心肌梗死的预兆 , 可是刘先生并没有心血管疾病的常识 , 所以根本没有引起他的重视 。
二、心肌梗死都有哪些表现
文章插图
【急性心肌梗死|59岁男子多次心梗前兆未重视,5点心脏停跳!科普:心梗前兆!】没有心血管疾病常识的人 , 大部分都会认为心肌梗死的表现就是心脏疼痛 。 其实这只是部分心肌梗死患者的表现 。
典型的心肌梗死表现为:持续压榨样胸痛 , 或伴随胸闷憋气大汗淋漓 , 频死感 。
研究显示 , 只有50-60%的心肌梗死表现为胸痛持续不缓解 , 还有40-50%的心肌梗死并不表现为胸痛或心前区疼痛 , 而且其实表现 。
比如后背疼痛 , 肩膀疼痛 , 腹部疼痛 , 上臂疼痛 , 牙疼 , 头疼;甚至有些心肌梗死就不会疼痛 , 只是胸闷憋气 , 大汗淋漓 , 眼前发黑 , 呼吸困难等等 。
当这些不舒服的表现持续15分钟仍不缓解 , 就有理由怀疑心肌梗死已经发生 。
三、心肌梗死的预兆是什么
90%的心肌梗死都能预防 , 关键是大家没有这方面的常识 。 就好比刘先生后背疼痛多次 , 如果他能及时就诊经过正规治疗 , 那么就能预防心肌梗死 , 心脏也就不会停跳 , 也就不会在鬼门关徘徊多次 , 目前仍未脱落生命危险 。
文章插图
简单说心绞痛就是心肌梗死的表现 , 或者说每一次心绞痛都可能是心肌梗死前的最后一次报警 。 关键看您能不能及时发现 , 如果及时发现 , 正规治疗 , 就能预防大部分的心肌梗死 。
心绞痛每次持续3-5分钟 , 一般不少于2分钟 , 不多于15分钟;如果心绞痛超过15分钟 , 那就说明已经发生了心肌梗死 。 心绞痛并不仅仅是胸痛或心前区疼痛 , 心绞痛会表现为各种各样 , 比如还会后背疼痛 , 肩膀疼痛 , 腹部疼痛 , 上臂疼痛 , 牙疼 , 头疼、胸闷憋气 , 大汗淋漓 , 眼前发黑 , 呼吸困难等等 。
这些表现通常在活动、运动、劳累后出现 , 就好比刘先生过了正月15 , 多次活动后出现后背疼痛 , 每次几分钟 , 其实就是心绞痛 , 就是心肌梗死的预兆 , 可是刘先生不懂心血管常识 , 未予重视 。
一般活动、运动、劳累后出现的心绞痛 , 叫做劳力性心绞痛 , 相对风险低;当这种心绞痛在休息的时候就会发生 , 那就是不稳定性心绞痛 , 就好比刘先生心肌梗死前一天 , 休息中多次后背疼痛 。 这种不稳定性心绞痛和心肌梗死的风险几乎一样 , 甚至可以说马上就心肌梗死了 。 可是刘先生仍未去医院就诊 , 结果导致心肌梗死室颤心脏停跳 。
四、发生心梗预兆或发生心梗如何自救
文章插图
当上述心绞痛发作的时候 , 一般患者几分钟就能缓解 , 或含服硝酸甘油也能缓解 。 缓解后患者就感觉完全好了似的 , 就觉得自己没病了 , 就好比刘先生 , 后背疼痛多次发生 , 但发生过后 , 自己也没当回事 。
这里必须再次指出 , 心绞痛就是心肌梗死的预兆 , 心绞痛每次发作过后 , 症状缓解 , 只是临时的 。 如果这时候不去医院正规就诊 , 还会再次发作心绞痛 , 甚至下一次心绞痛就是心肌梗死 。 所以发作心绞痛 , 或者说怀疑心绞痛发作 , 一定尽快去医院 , 找心血管医生正规治疗 , 预防心肌梗死发生 。
当心绞痛持续15分钟仍不缓解 , 就要高度怀疑心肌梗死 , 这时候必须拨打120;就好比刘先生关键时刻拨打120 , 救了自己一命 。 如果刘先生没有拨打120 , 自行前往医院 , 发生室颤 , 没有第一时间进行电击除颤 , 那么根本是不可能获救的 。 所以怀疑心肌梗死 , 必须第一时间拨打120!
文章插图
总之 , 我们平时看看正规的医学常识 , 正规的医学科普 , 真的有好处 , 关键时刻能救命!
推荐阅读
- 急性卡他性结膜炎|【健康提醒】阳春三月惠州万紫千红,赏花同时也要注意这5种眼病!
- 急性肠胃炎|急性肠胃炎是如何“起哄”的?这4个“不舒服”一出现,赶紧就医
- 会厌炎|急性会厌炎的危险性及其急救方法
- 呼吸衰竭|急性低氧性呼吸衰竭:低氧合目标 vs 高氧合目标,哪个更好?
- 急性肾炎|得了急性肾炎会有哪些表现?好好保护你的肾脏
- 急性肾损伤|急性肾损伤?这个检验指标比肌酐、胱抑素C更重要!
- 急性胰腺炎|酒足饭饱之后,小伙竟然站不起来,原来是突发急性胰腺炎!
- 急性心肌梗死|AHA发布急性心梗合并心源性休克科学声明,药物首选去甲肾上腺素
- 心脏|心脏突然疼痛是不是心肌梗死?心梗缠上年轻人,5个征兆要知道
- 急性心肌梗死|2位80后男子犯了同一个错!其中一个再次心肌梗死,一个心衰!
