我们都清楚痛风是由于血尿酸含量过高、尿酸盐结晶沉积在关节内诱发的一种关节炎性疾病 , 表现为突然发作的关节剧烈肿痛 , 并且容易反复发作导致关节畸形 。
文章插图
而“假性痛风”又称焦磷酸钙二水化合物沉着病 , 指的是双水焦磷酸钙晶体沉积于关节软骨 , 而产生的以痛性关节炎为特征的疾病 , 常为间歇发作 , 急性发作时临床表现极其类似于痛风急性发作 , 所以单从临床表现来讲 , 很难区分痛风和“假性痛风” 。
文章插图
“假性痛风”通常突然起病 , 单关节急性发作 , 剧痛难忍 , 关节周围出现和痛风发作相似的片状红斑、皮温升高、肿胀 , 关节腔内常有积液 , 甚至会出现关节积血 , 常发生于膝关节 , 其次是腕关节和踝关节 , 偶尔累及指、趾关节 。
哪些人会容易患上假性痛风呢?比如高钙血症患者、甲状旁腺功能亢进者、组织中含铁过多者(血色素沉着病)或低镁血症患者 。 这些患者如果出现以下几种临床表现:
1)反复发作的急性单关节炎 , 类似痛风;
2)反复发作的急性关节积血;
3)不明原因全身发热并伴随多关节疼痛;
4)腕管综合征 , 排除骨性关节炎 , 类风湿关节炎 , 痛风性关节炎后 , 要特别警惕是否患上了“假性痛风” 。
“假性痛风”急性发作时可出现发热、寒战、血沉增快及白细胞增高 , 但患者检验结果未出现血尿酸增高 。 确诊的话需要靠关节液穿刺检查出焦磷酸钙的晶体而不是尿酸盐晶体 。
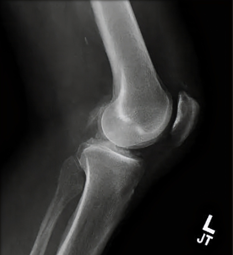
X光片也有助于诊断 , 因为焦磷酸钙晶体会阻断X光射线而在X光片上显出白色沉淀物轮廓 , 而尿酸盐晶体则没有这样的特征 。 即使在假性痛风没有临床急性发作时 , X光片仍可能在受累关节和典型关节中可见关节软骨呈点状和线状钙化斑 , 软骨钙化有助于确诊(特别是膝关节、腕关节等大关节) , 并可以了解到关节退化的范围 。 此时做关节腔穿刺 , 也可见关节液具有炎性特征 。
文章插图
发现后该如何进行治疗呢?目前最佳的治疗理念包括:迅速治疗急性发作、预防再次发作、缓解“假性痛风”关节病导致的关节退行性改变 。 主要是根据症状选择治疗方案 , 目的是为了缓解症状 , 保持并改善关节的功能 。
对于急性发作期的治疗 , 最有效的治疗方式就是适当休息 , 同时对关节腔进行抽液以及向关节腔内注射糖皮质激素 。 在大多数情况下 , 仅仅对关节腔进行抽液就能极大地缓解症状 。 还可以使用药物 , 包括口服强有力的非甾体类抗炎药(NSAIDs) , 如双氯芬酸、洛索洛芬钠、塞来昔布、依托考昔等药物 , 如效果不好 , 也可选用秋水仙碱静脉给药来减轻发作时的症状 , 并且通过每天小剂量口服秋水仙碱来预防新的发作 。
文章插图
与痛风不同的是 , 在“假性痛风”关节晶体沉积病中 , 没有类似于降尿酸药物的治疗 , 目前还没有特效的可长期服用的药物来彻底消除沉积在关节内的晶体 , 也无法改善假性痛风的长期控制或逆转病情 。 对于慢性反复发作关节破坏患者 , 若药物治疗无效 , 则可以考虑手术治疗 , 如滑膜切除 , 对于那些呈进行性破坏或损坏十分严重的大关节可以考虑进行人工关节置换等手术 。
参考文献
【痛风|你的痛风,可能是假的!痛风的患者要注意了】Sidari A, Hill E. Diagnosis and Treatment of Gout and Pseudogout for Everyday Practice. Prim Care. 2018 Jun;45(2):213-236. doi: 10.1016/j.pop.2018.02.004. PMID: 29759121.
推荐阅读
- 大脑|你的大脑和心理究竟是什么关系?
- 地球|科学家发现证据,表明地球内部或存在大型海洋,这可能吗?
- 甲状腺|如果你的脖子有3种异常,就说明甲状腺“病变”严重
- 肾脏|身体总是感觉乏力,不一定是因为劳累,也可能是肾脏出了问题
- 经常吃土豆的人,身体可能会给你这3个“惊喜”,遗憾少人知道
- 沙尘|警惕,秦岭防线可能失守!超级计算机:沙尘或携泥雨入侵四川盆地
- 泡沫尿|较真丨“茶色尿、泡沫尿、少尿证明你的尿酸高”,这是真的吗?
- 小行星|3月22日巨型小行星逼近地球!速度12万公里/小时,可能发生撞击?
- 糖尿病|听力不好?很可能是糖尿病在作怪!
- 腰椎间盘突出症|经常腰痛,可能与哪些疾病有关?别再拖下去了
