1
前房损伤
从影像学上诊断前房损伤通常比较困难 , 前房损伤在临床检查的时候更容易诊断 。 常见的前房损伤类型包括角膜撕裂和前房积血 。
前房积血的定义是血液聚集于眼前房 , 通常由来自虹膜和睫状体的血管破裂所致 。 CT上常表现为位于前房的高密度区 。
文章插图
2
晶状体损伤
晶状体的表面由晶状体囊所包围 , 并由晶状体悬韧带纤维连于睫状体 。 来自前后方向的钝性暴力作用于眼球后可沿晶状体的赤道方向重新分布 , 由此可能导致对晶状体悬韧带纤维的牵拉和撕裂 。 这种机制可导致部分性或完全性晶状体脱位 。
一侧晶状体悬韧带撕裂可导致部分性晶状体脱位;晶状体悬韧带全部断裂可导致完全性晶状体脱位 。 前脱位是指晶体脱入前房;后脱位是指晶体脱入玻璃体内。
文章插图
3
创伤性白内障
对眼球的钝性创伤也可能破坏晶状体囊 , 进而导致晶状体水肿并最终导致白内障的形成 。 白内障在临床检查时比较容易诊断 。
在CT上 , 与未受影响的晶状体相比较 , 受影响的水肿的晶状体可能表现为相对低密度 。 成熟的白内障可能表现为高密度影或含钙化
文章插图
文章插图
4
后段损伤
由于视网膜牢固地固定于后方的视神经盘上 , 因而脱离的视网膜在影像学上可形成特征性的尖端位于视神经盘的V型表现 。
当眼压降低的时候 , 脉络膜上腔的压力也会降低 , 使得液体或血液积聚 , 从而导致脉络膜分离 。 通常 , 脱离的脉络膜在影像学上表现为凸透镜样或双凸状 , 眼球后部不受累 。
文章插图
文章插图
5
开放性眼球损伤
直接征象:眼球形态和体积异常 , 巩膜不连续;
间接征象:前房深度改变 , 眼球内异物或气体 。
文章插图
文章插图
文章插图
文章插图
鉴别诊断:脉络膜缺损-脉络膜及视网膜色素上皮层的缺损 , 常为眼球先天性组织缺损的一部分 。
文章插图
6
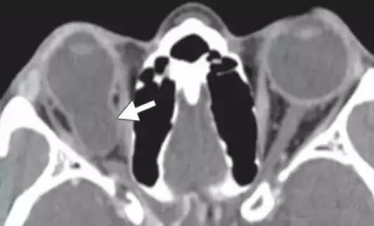
眼球异物
眼内异物可分为有机异物与无机异物 。 最常见的无机异物是金属和玻璃 。 无机异物因化学性质不活泼 , 因而不会引起炎症 。 金属异物在CT上较易诊断 。 玻璃异物因化学成分不同可能密度不同 。
最常见的有机异物是木质异物 。 有机异物可能引起炎症反应 , 甚至严重感染 。 在急性期诊断木质异物可能比较困难 , 因为其影像表现与空气相似 。 鉴别点在于(1)木质异物具有一定的几何形状;(2)木质异物的密度可能随时间变化 , 从亚急性期的等密度到慢性期的高密度;(3)MRI检查见炎性改变也可提示有机异物的诊断 。
文章插图
鉴别诊断:
【眼球|诊断眼球外伤时,影像医生要留心的6点!】1.脉络膜小疣:视神经盘附近的通常是与黄斑变性有关
2.巩膜斑块:沿内直肌和外直肌附着点的钙化也称为巩膜斑块 , 常见于老年人 。
3.常见的用于治疗视网膜脱离的材料包括巩膜条带 , 硅油 , 以及气体 。
文章插图
文章插图
文章插图
文章插图
「资料来源于网络 , 仅供学习 , 如有侵权 , 请联系删除」
【版权声明】本平台属公益学习平台 , 转载系出于传递更多学习信息之目的 , 且已标明作者和出处 , 如不希望被传播的老师可与我们联系删除
推荐阅读
- 肝纤维化|肝纤维化诊断共识解读(二)
- fda|FDA警告!罗氏诊断快速冠状病毒、流感检测可能会导致假阳性结果!
- ai算法|62个AI算法被指存在重大问题,都不具有新冠临床诊断价值
- 结节|肺结节为何要做靶扫描?可更加具体地提供结节的细节,诊断更准确
- 眼底病|眼底病高血压近视白内障,“拍张照片”就可准确诊断
- 破伤风|受到外伤不打破伤风针会有意外发生吗?需要注意这几点
- 气管|胃对咽喉和气管的偷袭,胃酸是武器,咳嗽是症状,怎样诊断治疗
- 大厂|互联网大厂争相下场养猪,不只是吸引眼球这么肤浅
- 渐冻症|女子通过网络上的科普把自己诊断为渐冻症,做了一堆检查,被专家排除
- 非酒精性脂肪性肝病|一文梳理:非肥胖型NAFLD的症状、诊断与治疗|临床必备
