每天都有不同的网友在网络平台上咨询肺结节的问题 , 这个问题如此普遍 , 几乎成了一个社会问题 , 就因为少数肺结节可能是早癌 , 只要报告上显示结节 , 大家就会问同一个问题 , 会不会是癌?要不要手术?几乎每个咨询者都会上传CT报告或者电子版影像 , 有些无法提供电子影像的用手机拍照上传 。 事实上 , 如果没有特别清晰的电子图像 , 很难对数毫米的小结节做出判断 。
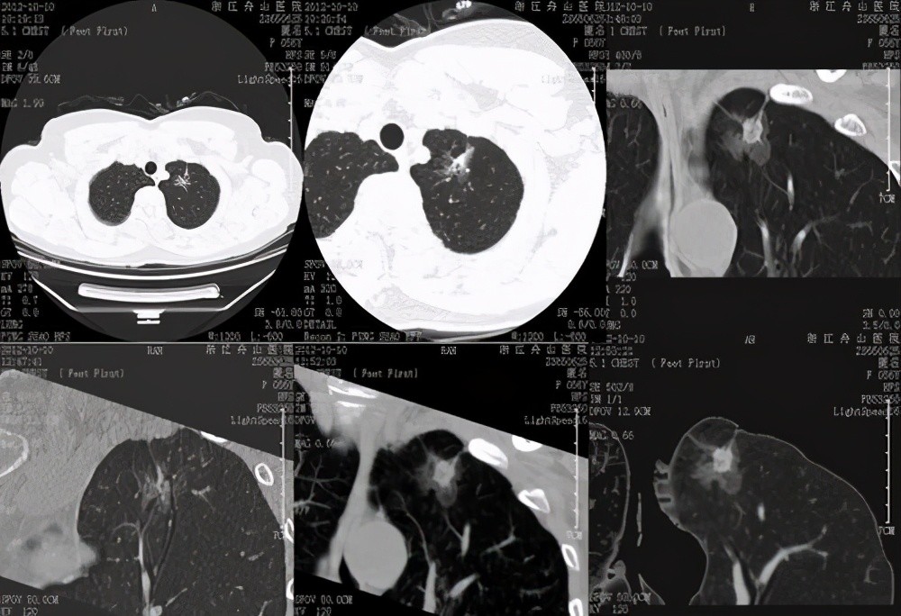
为了更好地鉴别诊断肺结节 , 医生需要根据CT扫描肺结节所在部位、大小、密度、形状、有无钙化、分叶、毛刺、胸膜凹陷等来判断其良恶性 。 然而对于太小的结节 , 常规CT上的形态特征并不明显 , 给诊断也带来一定难度 。 这里不得不提一个针对肺结节的更重要的检查—靶扫描 。
文章插图
什么是肺部靶扫描?
常规胸部CT扫描由于视野大、层厚较厚 , 不能全面观察肺结节影像特征 。 靶扫描又称放大扫描、感兴趣区扫描 , 是针对肺部
靶扫描可以更全面、多方位、更直观地观察病灶的形态、特征 , 观察病灶边缘、中心结构 , 然后通过计算机处理和医生的经验去发现有价值的诊断线索 , 从而得出更为准确的结论 。 靶扫描通过提高空间分辨率 , 更好地显示肺结节病变特征 , 为肺内结节的定性诊断提供更多的依据 。
文章插图
肺部充满气体 , 属于具有良好自然对比的脏器 , 但肺脏不停地呼吸运动 , 做CT时容易受到呼吸运动的影响 , 靶扫描使用小范围、薄层技术采集到的小体积像素对呼吸运动伪影具有几何放大的作用 , 也就是说极大减少了呼吸运动伪影 。
文章插图
【结节|肺结节为何要做靶扫描?可更加具体地提供结节的细节,诊断更准确】不少病人问 , 我查出肺结节 , 需不需要做增强CT , 增强CT就是往血管里打造影剂然后扫描 。 增强扫描有两个意义:一是如果病灶血供丰富 , 注射造影剂后病灶有强化 , 从而判断其富血供 , 考虑恶性可能大;另一个是纵隔内增强可区分出血管与淋巴结 , 从而判断有无肿大淋巴结 , 特别是是不是存在淋巴结转移的可能性 。 然而对于1~2公分的肺结节 , 尤其是有许多磨玻璃成份时 , 增强CT强化程度可能比较有限 , 提供的信息相较于CT平扫多不了多少 。 而此时如果进行靶扫描 , 则能够更有利于对细小病灶进行观察和判断 。
推荐阅读
- 肺部|长期抽烟的人,点烟前牢记几点,或许不用戒烟,肺部也会舒服点!
- 钱学森|钱学森侄子,拿下诺奖后为何说:我不是中国人,我在美国长大
- 肺部|肺不好,会出现“1粗、2痛、3多”,占一个,也最好去查肺CT
- 卡瑞利珠单抗|2021 ELCC|春风得意马蹄疾:肺鳞癌一线治疗两大研究数据出炉
- 新冠肺炎疫苗|科普▎您关心的新冠肺炎疫苗问题,全在这里~
- 新冠肺炎|实验室暴露感染,西安一检验师确诊新冠肺炎
- 神农架|“神农架”深处为何不让前往?其中的古怪现象,科学家至今没搞懂
- 热带地区|世界强国为何垂青中高纬度地区,很少出现在低纬热带?
- 脐带间充质干细胞|干细胞前沿丨脐带间充质干细胞能显著改善新冠重症患者肺损伤!
- 超光速|最脑洞科幻:1秒1光年,时间不倒流,极超光速飞船为何这么牛?
