国外老年人抗阻训练之所以能在过去几十年间迅速走进医学殿堂 , 除了采用最严谨的科学研究方法 , 急实践所急 , 扎扎实实为临床所面临的老年病提供了有效的解决方案也是重要的原因之一 。
以下是几个很有意义的用抗阻训练来解决老年病的“案例”:
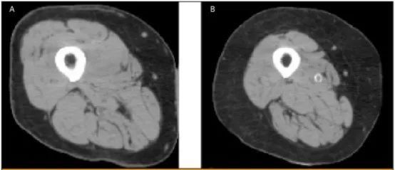
1、肌少症
与年龄有关的肌肉体积减少被称为肌肉减少症(“Sarcopenia” , Rosenberg , 1989) 。 肌少症会因为某些疾病(例如糖尿病 , Park et al., 2007)而加重 , 但是无论老年人是否患有慢性疾病 , 肌少症都是是老龄人群应该关注的问题 。 大量研究表明 , 抗阻训练可以有效帮助老年人增加肌肉体积和质量 , 同时增加他们的力量 。
文章插图
同为72岁、BMI(身高-体重指数)= 25女性大腿肌肉的横断扫描 , 左图为正常 , 右图是肌少症患者 。
2、老年体弱与跌倒
因老年体弱而跌倒对老年人往往是危险甚至致命的 。 Fiatarone 等(1990)用抗阻训练对90岁体弱老人进行了干预研究以了解抗阻训练是否可以改变这个人群的功能限制和减低因为肌肉无力和行动不便带来的跌倒风险 。 通过仅仅8周的抗阻训练 , 除了平均获得174%的力量增长和9%的大腿中部肌肉面积增长外 , 这些老人步速提高了48% 。 肌肉力量 , 质量和步行速度的综合增加 , 对提高9岁以上老人技能、降低他们跌倒和骨折风险有着极其重要的意义 。 Campbell团队对体弱老年女性(> 80岁)进行了简单易学(仅有四次的家访指导)的家庭力量和平衡训练(包括鼓励增加步行)干预 , 跟踪两年后发现 , 运动组中的妇女跌倒次数减少了31%(因为跌落而导致中度或重度受伤的次数减少了37%) 。 这些都表明抗阻训练可以减少或延迟功能限制以及减少身体损伤和跌倒 。
文章插图
防止摔倒是保证老年人健康的头等大事 。 家里的厨房和厕所是两处最危险的地方!
3、骨健康
众多的研究表明 , 抗阻训练可以改善老年人的骨密度 。 Nelson 等(1994)等的研究是对50-70岁的女性进行了一项较长期的抗阻训练研究旨在观察一年以上的抗阻训练是否可以增加雌激素缺乏女性的骨密度来降低骨质疏松性骨折的风险 。 结果发现 , 经过一年的力量训练 , 每周有两天的中老年妇女变得更强壮 , 增加了肌肉质量 , 改善了动态平衡 , 并且骨密度比对照组更高 。 另外一项Cussler等人(2003))的一项研究发现 , 一年的抗阻训练(在干预中包括其他运动方式)所带来的骨密度变化与总的举重量之间存在着线性关系 , 表明了抗阻训练对改善骨骼健康的重要性(Cussler等 , 2003) 。
文章插图
抗阻训练 + 跳跃 + 科学营养 + 晒太阳 = 骨健康!
4、关节炎
Baker等(2001)对关节炎患者进行了抗阻训练干预研究 。 他们把55名55岁及以上的膝关节骨关节炎(knee osteoarthritis)患者随机分为家庭抗阻训练干预和营养教育对照 。 结果发现抗阻训练组患者的疼痛明显减轻 , 肌肉力量 , 功能表现 , 身体能力 , 生活质量和自我效能也都得到改善 。 Thomas等(2002)等的研究也得到类似的发现 。 他们把786名膝痛患者随机分为家庭抗阻训练和对照组 , 结果发现 , 与对照组相比 , 抗阻训练组在6、12和24个月的时间点的疼痛和僵硬都明显减轻 , 身体功能得到改善 。 这些研究再次表明 , 基于家庭的抗阻训练简单、切实可行 , 即使因关节炎而在功能上受限的老年人中也是如此 。 以下是几个简单实用的针对膝关节炎患者的抗阻练习 。
文章插图
文章插图
文章插图
文章插图
【临床实践|抗阻训练研究:急临床实践所急】
文章插图
文章插图
文章插图
文章插图
文章插图
文章插图
5、心血管
研究表明 , 抗阻训练还可以改善许多心血管健康因素 , 包括降低收缩压和舒张压 , 提高好胆固醇即高密度脂蛋白(HDL)8%到21%, 降低坏胆固醇即低密度脂蛋白(LDL)13%到23% , 降低甘油三酸酯水平11%到18% 。 另外研究还发现 , 抗阻训练可以有效降低体内好几种代表未来潜在心血管事件炎症分子的水平 。
文章插图
6、记忆力和认知功能
研究表明 , 抗阻训练可以帮助先前有记忆力受损或轻度认知障碍的人的记忆力和整体认知功能得到改善 。 即使是认知健康的老年人也可以通过抗阻训练改善记忆力 。 还有报道 , 和有氧运动干预一样 , 抗阻训练也能帮助人的情绪调节 。更有甚者 , 从整体改善认知功能上看 , 中高强度的抗阻训练比有氧运动的训练效果更好 , 更显著!
文章插图
“动”脑!“动”脑!越来越多的研究已经证明了运动对人认知能力的积极作用 。 实际上 , 运动是迄今为止治疗忧郁症和老年痴呆唯一有效而又没有副作用的“药” 。
既然力量和肌肉这么重要 , 大家赶快练起来哦!
推荐阅读
- 股骨头|股骨头坏死的临床表现
- 临床试验|案例实战|手把手教大家做“TITE-BOIN”设计
- ai算法|62个AI算法被指存在重大问题,都不具有新冠临床诊断价值
- 抑郁症|抑郁症:捆绑心理,残害身体!临床推荐1药,助你走出抑郁漩涡
- 心室|心脏杂音不会听?从理论到临床,一篇搞定!
- 类风湿关节炎|风湿周刊·类风湿关节炎丨临床持续缓解患者仍常见亚临床炎症
- 临床试验|俄罗斯对国内首款细胞治疗产品发放临床试验许可
- 临床试验|“虚拟”临床研究,有哪些好处和不足?
- 乳腺癌|预防数百万女性患病!跨越30年,这项临床研究不断为女性开创健康未来
- 沙班|不同剂量的依度沙班预防房颤患者卒中的净临床结局
