文章插图
中国实用内科杂志
实至名归用者为尚
来源:武汉大学人民医院
文章插图
这是发生在2019年11月26日武汉大学人民医院的一个案例:咸宁的林先生吃鱼时 , 不小心鱼刺卡在喉咙 , 他听从家人按照土办法吞下两口饭 , 强行咽下了鱼刺……由此而引发的开胸大抢救!
对于爱吃鱼的人来说 ,
理由千千万!
或红烧
文章插图
或剁椒
文章插图
或葱油
文章插图
或清蒸
文章插图
或烧烤
文章插图
或糖醋
文章插图
或煎炸
文章插图
或炖汤
文章插图
但对不咋吃鱼的人来说
理由恐怕只有一个
怕
鱼
刺
卡
喉
啊
!
关于这一点
咸宁林先生绝对有发言权
因为下面这根鱼刺
差点付出生命代价
【武汉大学人民医院|10个科室30位专家齐上阵,死里逃生大抢救,急诊科主任提醒千万小心!】
文章插图
(圆月弯刀 刀刀致命)
近日
武汉大学人民医院
10个科室 , 30多位专家
齐齐上阵
从鬼门关把他拉了回来
强吞一根鱼刺 , 刺穿主动脉
上个月底 , 林先生吃鱼时 , 感觉有鱼刺卡在喉咙 , 他当即按照土办法 , 强吞了两口饭 , 强行咽下了鱼刺 。
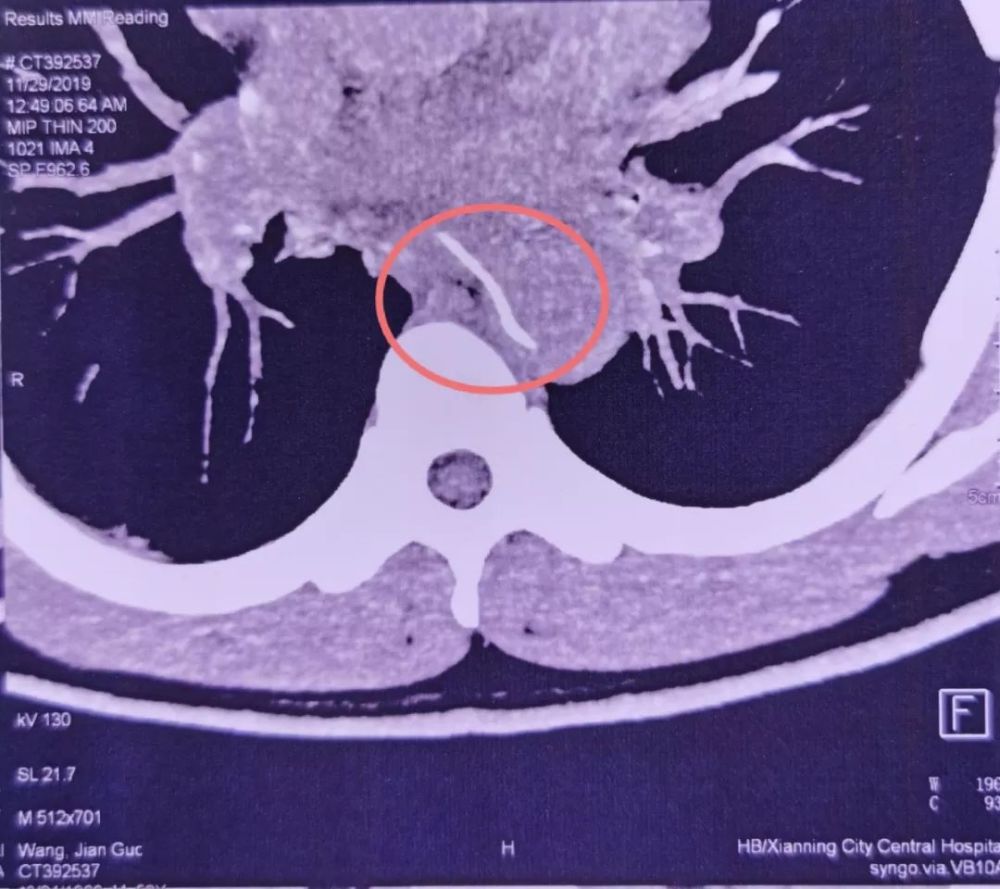
没想到过了两天 , 他突然感到剧烈胸痛 。 CTA检查发现 , 一根鱼刺样的异物卡在了食管内 , 且已刺穿食管壁 , 一头扎进了胸主动脉 。
文章插图
图源:武汉大学人民医院
胸主动脉是人体最粗大的动脉血管
血管压力很高
一旦形成破口
出血将呈喷射状
犹如“大坝决堤”一般
根本没有抢救的机会
文章插图
由于林先生的病情十分棘手 , 当地医院建议他尽快转往武汉治疗 。 因病情极度凶险 , 林先生被武汉数家医院婉拒 。
11月29日 , 林先生来到了武汉大学人民医院急诊科就诊 。 魏捷教授检查发现 , 鱼刺像一把圆月弯刀 , 横插在食管和胸主动脉附近 。 如果盲目拔出 , 必定会形成主动脉破口 , 发生大出血 。
魏捷当即决定将患者转入重症医学科密切监护 , 稳定其生命体征 , 同时第一时间呼叫全院大会诊 。
10个科室专家 , 联手闯关取鱼刺
在医疗部组织下 , 医院胸外科、心血管外科、耳鼻喉-头颈外科、消化内科、介入科、放射科、麻醉科等紧急大会诊 。
专家团讨论认为 , 必须马上将鱼刺取出 。 如果鱼刺留在体内继续感染恶化的话 , 林先生将失去最后的救治机会 。
经过详细讨论 , 专家团确定了微创取刺手术方案:先由心血管外科专家为林先生植入主动脉支架堵住血管缺口 , 再由消化内科专家尝试进行消化内镜下微创取刺 。
11月29日下午 , 在麻醉医师保驾护航下 , 心血管外科吴智勇副教授首先上台 , 顺利将主动脉支架植入林先生体内 , 将已经开始糜烂的血管缺口堵牢 。 随后 , 消化内科黄旭医生开始尝试进行消化内镜下取刺 。
文章插图
图源:武汉大学人民医院
但让人没想到的是
内镜反复探查
术前本已定位精确的鱼刺
却找不到了!
手术台上 , 专家团队立即紧急探讨 , 判断很有可能是术前随着食道的蠕动 , 或是主动脉内血流的强劲冲击 , 这根鱼刺已经穿出食管进入胸腔甚至主动脉了 。
此时已经没有微创取刺的可能了 , 必须尽快开胸探查将鱼刺取出 。
手术方案立即调整 。 胸外科主任黄杰教授团队接力上台 , 从右侧开胸探查胸腔 , 小心翼翼松解胸腔粘连、清理干净分泌物后 , 发现鱼刺果然是穿出了食管 , 几乎整个扎进了主动脉内 , 仅在外露出3毫米的刺尖 。
文章插图
图源:武汉大学人民医院
黄杰教授用血管钳小心翼翼拔出这根4厘米长的鱼刺后 , 纵然见多识广的手术团队也惊呼罕见 , 甚至误以为是塑料牙签 。 这么长、这么尖的鱼刺 , 人怎么能吞下去?
顺利拔除鱼刺、清除不定时炸弹后 , 黄杰教授立即对食管和主动脉进行了修补 。 术后 , 林先生病情稳定 , 转入重症医学科接受进一步的治疗 。
鱼刺卡喉 , 切勿强吞
黄杰教授表示 , 鱼刺卡住后盲目处理、导致刺穿食道乃至主动脉后极端凶险 。 就在林先生手术当天 , 该院胸外科谢颂平副教授又成功救治了一例鱼刺卡喉处理不当 , 导致食管穿孔、纵隔脓肿的患者 。
急重症医学中心主任魏捷教授提醒
鱼刺卡喉后
咽米饭、喝醋等土办法
都是极端错误的!
你以为卡在喉咙里的鱼刺会这样
文章插图
但事实很有可能是这样
文章插图
甚至是这样
文章插图
所以谨记
饿不吃鱼
(三文鱼等无刺鱼除外)
一旦不幸被鱼刺卡住
千万不要随意自行处理
(×吞咽米饭、喝醋等等×)
最科学的方法就是
第一时间上医院
前期卡住的话
耳鼻喉科医生、消化内镜医生
基本上分分钟能搞定
否则
可能就是
几十块和几十万的区别
或者是
在与不在的区别
鱼刺卡喉
并非小事
转发提醒你关心的人
中国实用内科杂志
实至名归
用者为尚
喜欢就点个“”和“在看”呗~
推荐阅读
- 量化|量化大师麦教授:美好的不确定性
- 从小就馋此口,比肉香多了,几块钱做一大盘,咋吃都不腻
- 意大利肉酱面做法分享
- 红豆和玉米面是绝配,一个做皮一个做馅,包好入锅一蒸,特香
- 大脑|你的大脑和心理究竟是什么关系?
- 意大利生牛肉沙拉做法
- 将燕麦换一种新吃法,做成小熊造型的饼干,大人孩子都喜欢
- 家庭版的鱼香肉丝,鲜香可口,在家也能做出大厨的味道
- 非常下饭的家常菜,比大鱼大肉好吃,做法简单
- 特爱吃的几道家常菜,轻松拿下,让你秒变大厨!好吃又下饭营养
