强直性脊柱炎|NSAIDs在强直性脊柱炎治疗中的应用
本文指导专家
本文图片
谭淳予教授
医学博士
四川大学华西医院风湿免疫科副主任医师
四川省医师协会风湿病分会常委、秘书长
中华医师协会免疫分会肺间质病学组成员
四川省医学会风湿免疫青年分会委员
德国Erlangen-Nurnberg大学访问学者
【强直性脊柱炎|NSAIDs在强直性脊柱炎治疗中的应用】强直性脊柱炎(AS)是一种与人类白细胞抗原(human leukocyteantigen , HLA-B27)密切相关、病因不明的慢性炎症性疾病1 。 AS患病率在各国报道不一 , 美国报道的患病率在0.9-1.4% , 我国报道在0.29% , 且持续上升2 。 AS是遗传和环境因素共同作用引发的多基因病 , 其中主要易感基因是人体白细胞抗原(HLA)-B27 。 另外 , AS可能还与泌尿生殖道沙眼衣原体、志贺菌、沙门菌和结肠耶尔森菌等某些肠道病原菌感染有关 。 病原体感染激发机体炎症和免疫应答 , 造成组织损伤而参与疾病的发生和发展3 。
最新的国际疾病分类(ICD)-11未再列出AS分类 , 而是将其作为“炎性脊柱关节炎”分目录“中轴型脊柱关节炎”中的一个组成部分使用4 。 “强直性脊柱炎”名称或将逐步退出历史舞台 。 然而 , WHO指出ICD-11标准需要一定的适应过程 , 将于2022年正式生效5 。
AS的表现与危害
AS患者的疾病负担沉重 , 除了中轴和外周关节症状 , 关节外表现以及合并症均可加重患者的负担 。 此外 , 大部分AS患者存在脊柱骨质疏松症 , 导致椎骨骨折和驼背 , 严重影响患者的生活质量 。 疾病造成的负担随病程的延长而增加 , 早期诊断和早期治疗对防止或减少AS功能下降以及改善患者预后十分必要6 。
本文图片
AS患者出现脊柱后凸、颈部前倾、双髋关节屈曲畸形7
本文图片
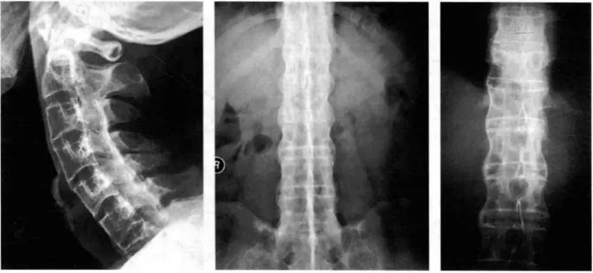
X线:颈椎侧位(左)——椎体呈方锥改变 , 前纵韧带骨化;腰椎正位(中、右)——腰椎呈竹节样改变8
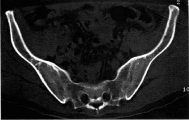
本文图片
CT平扫:双骶髂关节间隙变窄 , 关节面毛糙或骨性融合8
AS的治疗策略与药物
基于临床经验和研究证据 , 国际强直性脊柱炎评估工作组(ASAS)和欧洲风湿病联盟(EULAR)制定了AS治疗策略推荐(如图) , 强调在整个疾病过程中非药物治疗的重要性 , 以及早期应用非甾体类抗炎药(NSAIDs)治疗9 。
本文图片
从图的顶部到底部 , 疾病随着时间的推移不断进展
NSAIDs在国内外AS指南的地位及研究
NSAIDs被国内外多个AS指南推荐作为症状治疗一线用药 。 中华医学会风湿病学会推荐NSAIDs为AS患者症状治疗的首选1 。 美国风湿病学会2016年更新的ASAS-EULAR中轴型AS管理推荐指出 , 存在疼痛和晨僵症状的中轴型AS患者应将NSAIDs作为一线治疗;2019年更新的AS和非放射学中轴型AS治疗推荐中指出 , 针对成人活动性AS患者 , 强烈推荐应用NSAIDs治疗优于不采用NSAIDs治疗 , 条件性推荐持续应用NSAIDs治疗优于按需应用NSAIDs治疗10 。 对于进入稳定期的患者 , 如果停药或减少用量后症状复发 , 应该持续服用NSAIDs11 。 亚太风湿病学联盟协会(APLAR)也强烈推荐将NSAIDs作为活动性中轴型脊柱关节炎患者控制症状的一线治疗药物12 。
多项研究证实了NSAIDs在AS患者中可靠的疗效与安全性 。 两项随机对照研究的数据显示 , NSAIDs(萘普生/酮洛芬)/coxibs(塞来昔布)治疗可显著降低AS患者的CRP水平、改善患者的疼痛强度和功能障碍13 。 另一项随机双盲研究则证实了持续使用NSAIDs(2年)可延缓AS患者的影像学进展14 。 关于NSAIDs的安全性 , 一项网络荟萃分析研究了6种NSAIDs药物 , 结果发现NSAIDs治疗AS患者的总体不良事件发生率与安慰剂无显著差异15 。 另一项随机对照研究发现 , 活动性AS患者对非选择性NSAIDs双氯芬酸与特异性COX-2抑制剂塞来昔布均耐受良好 , 其中塞来昔布的胃肠道不良事件发生率更低16 。
综上 , AS治疗策略强调早期应用NSAIDs治疗 , 后者被国内外多个AS指南推荐作为症状治疗一线用药 。 多项研究证实了NSAIDs在AS患者中可靠的疗效与安全性 , 其中选择性COX-2抑制剂(塞来昔布)的胃肠道不良事件发生率低于非选择性NSAIDs 。
参考文献
1.中华医学会风湿病学分会. 强直性脊柱炎诊断及治疗指南. 中华风湿病学杂志. 2010;14 (8):557-559.
2.Zhao JL, et al. Rheumatol Int 2020;40(6):859-872.
3.葛均波, 等. 内科学(第9版). 北京: 人民卫生出版社. 2018:825-828.
4.ICD-11 for Mortality and Morbidity Statistics (Version : 04 / 2019). Accessed on June 23th, 2020. https://icd.who.int/browse11/l-m/en
5.WHO. Accessed on June 23th, 2020. https://www.who.int/classifications/icd/en/
6.Sjef van der Linden, Matthew Brown, Tony Kennas, et al: Ankylosing Spondylitis. In Gary S. Firestein, et al, editors: Kelley and Firestein's Textbook of Rheumatology, ed 10, Philadelphia, 2017, Elsevier, p1256-1279.
7.Ranjith MP, Divya R. A case of ankylosing spondylitis and discussion of the literature. J Clin Diagn Res. 2013;7(6):1180-1182.
8.贾宁阳, 陈雄生. 脊柱外科影像诊断学. 北京: 人民卫生出版社. 2013;171-172.
9.Zochling J, van der Heijde D, Burgos-Vargas R, et al. ASAS/EULAR recommendations for the management of ankylosing spondylitis. Ann Rheum Dis. 2006;65(4):442-452.
10.Ward MM, Deodhar A, Gensler LS, et al. 2019 Update of the American College of Rheumatology/Spondylitis Association of America/Spondyloarthritis Research and Treatment Network Recommendations for the Treatment of Ankylosing Spondylitis and Nonradiographic Axial Spondyloarthritis. Arthritis Rheumatol. 2019;71(10):1599-1613.
11.van der Heijde D, Ramiro S, Landewé R, et al. 2016 update of the ASAS-EULAR management recommendations for axial spondyloarthritis. Ann Rheum Dis. 2017;76(6):978-991.
12.Tam LS, Wei JC, Aggarwal A, et al. 2018 APLAR axial spondyloarthritis treatment recommendations. Int J Rheum Dis. 2019;22(3):340-356.
13.Benhamou M, Gossec L, Dougados M. Clinical relevance of C-reactive protein in ankylosing spondylitis and evaluation of the NSAIDs/coxibs' treatment effect on C-reactive protein. Rheumatology (Oxford). 2010;49(3):536-541.
14.Wanders A, van der Heijde D, Landewé R, et al. Nonsteroidal antiinflammatory drugs reduce radiographic progression in patients with ankylosing spondylitis: A randomized clinical trial. Arthritis Rheum 2005;52:1756-65.
15.Fan, M., Liu, J., Zhao, B., et al. Indirect comparison of NSAIDs for ankylosing spondylitis: Network meta analysis of randomized, double blinded, controlled trials. 2020;19(4):3031-3041.
16.Sieper J, Klopsch T, Richter M, et alComparison of two different dosages of celecoxib with diclofenac for the treatment of active ankylosing spondylitis: results of a 12-week randomised, double-blind, controlled studyAnnals of the Rheumatic Diseases 2008;67:323-329.
推荐阅读
- 强直性脊柱炎|强直性脊柱炎关节疼痛不想动,躺着好不好?
- 强直性脊柱炎|春天是万物复苏的季节,强直性脊柱炎患者如何避免复发呢?
- 强直性脊柱炎|强直性脊柱炎有什么特点,如何自我判断?
- 强直性脊柱炎疗效评估指标解读(二):疾病活动度如何有效评估?知识点你get了吗~
- 男子有强直性脊柱炎,想要宝宝又怕被遗传,应该怎么做?
- 强直性脊柱炎|“强直性脊柱炎到40岁以后就不发展了” 是真的吗?
- 强直性脊柱炎|抗体新药让自体免疫不再“慌乱”
