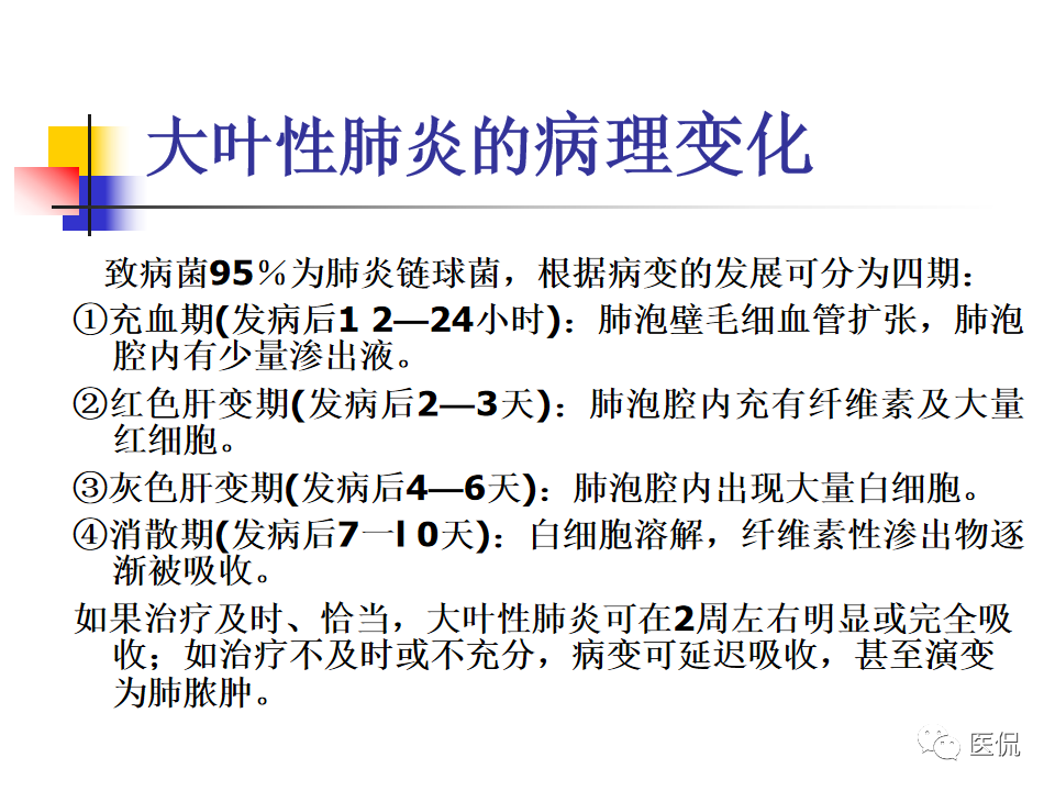
大叶性肺炎|大叶性肺炎的影像诊断
大叶性肺炎影像诊断
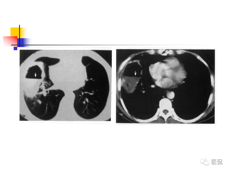
本文图片
本文图片
本文图片
本文图片
本文图片
本文图片
本文图片
本文图片
本文图片
本文图片
本文图片
【大叶性肺炎|大叶性肺炎的影像诊断】
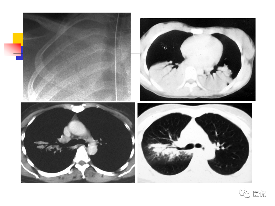
本文图片
本文图片
本文图片
本文图片
本文图片
本文图片
推荐阅读
- 量化|量化大师麦教授:美好的不确定性
- 春分前后,多吃1道碱性蔬菜,低脂不长胖,清脆爽口又下饭
- 恐龙|恐龙也怕患癌症?新发现,科学家在恐龙化石中检测出恶性肿瘤痕迹
- 系统性红斑狼疮|盘点:系统性红斑狼疮治疗药物研发进展
- 系统性红斑狼疮|荣昌生物泰它西普获批,60年来第二款系统性红斑狼疮新药
- 寒热|寒热并用,辛开苦降法是治疗慢性萎缩性胃炎的重要法则
- 果园|果园植被多样性对虫害的控制
- 新冠肺炎疫苗|科普▎您关心的新冠肺炎疫苗问题,全在这里~
- 新冠肺炎|实验室暴露感染,西安一检验师确诊新冠肺炎
- 溃疡性大肠炎|JMT日本疑难病治疗-溃疡性大肠炎通过适当治疗可以恢复到健康人状态
