国际癌症研究机构|食不厌精,脍不厌细:伙食真的越精细越好吗?
这是【蝌谚More】栏目的第25期
在《论语》里 , 有一句流传甚广的话:“食不厌精 , 脍不厌细 。 ”这句话的字面意思是说 , 粮食不嫌舂得太精、鱼和肉不嫌切得太细 , 换句话 , 就是说粮食、鱼肉 , 制作得越精细越好 。
古代物质条件匮乏 , 古人有这样的想法 , 视精米精面为上乘、粗米糙面为下品并不为奇 。 然而 , 从现代营养学的角度上看 , 这种观念是对的吗?
本文图片
孔子几千年前的话 , 还适用吗?图片来源 ameblo
虽然不好吃 , 但粗粮糙米才健康
舂粮食 , 其实就是将糙米粗面经过数次的碾压加工 , 去掉外层的糠皮和糊粉层 , 只保留最里层的胚乳 。
胚乳的主要成分是淀粉和蛋白质 , 我们在超市里看到的白米 , 就是处理得十分干净的胚乳 。
它口感软糯 , 十分适口 , 受到人们的欢迎 , 但以此为代价的是损失了许多的膳食纤维、维生素和矿物质 。
糙米则是仅仅脱了壳的稻谷 , 外观上是棕色的 , 保留了全部的糠皮和糊粉层 , 含有很多营养 。
可惜的是 , 糊粉层的膳食纤维含量太过、结构太致密 , 所以蒸煮的时候吸水困难 , 吃起来口感很硬 , 不易被人接受 。
在日常生活中 , 不应该过于追求精细的饮食 , 每周吃2-3次粗粮 , 或者粗细搭配地吃 , 才是最健康的 。
本文图片
糙米 , 图片来源 Wikipedia
饮食太精细 , 还会影响牙齿发育
小孩子一般在2岁左右长出全部乳牙 , 6-7岁开始换牙 , 这本是一个正常的现象 。
但随着生活条件的提高 , 孩子们的饮食越发精细软烂 , 不仅要吃最精细的大米 , 就连水果也要榨成汁饮用 , 乳牙得不到应有的锻炼 , 就可能影响牙齿的发育 。
到了换牙年龄 , 使用率很低的乳牙还没掉落、迟迟不肯让位 , 而恒牙正常萌出 , 结果长成双排牙 , 需要到医院拔掉乳牙 , 还可能会影响牙列的整齐度、甚至影响颌骨的发育 。
另外 , 假如孩子贪吃精致的甜食 , 更会造成龋齿 , 令乳牙过早烂掉 。
有些病例中 , 孩子的乳牙过早烂掉 , 只能用暴露在外的牙龈摩擦、咀嚼食物 , 久而久之牙龈增生肥厚 , 形成了“老茧” , 还会阻碍恒牙的正常萌出 , 此时甚至需要去口腔医院动手术 , 在牙龈上开口 。
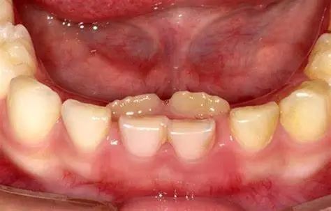
本文图片
孩子中常见的换牙问题:双排牙 , 图片来源 nicomama
吃精米 , 每年浪费粮食130亿斤
大家太过追求精细的主食 , 不仅导致健康问题 , 还造成了严重的浪费 。
国家粮食局的数据显示 , 由于成品粮过于追求亮、白、精 , 全国每年在加工环节损失口粮130亿斤 。
我国的稻谷产量约为2亿吨 , 加工后的三级米的产量大约是1.4亿吨 , 而如果再进一步加工成特级精米 , 出米率要减少15% 。
也就是说 , 如果1.4亿吨三级米都加工成特级米 , 只剩1.2亿吨 , 而减少的2000万吨 , 相当于1.3亿人一年的口粮 。
加工程度越深、产业链条越长 , 原料的损失及能源的消耗就越多 。 加工过程中还可能产生废水、废料 , 污染环境 。
吃肉确实应该精细
说到这里 , 我们可以发现 , “食不厌精”有不少营养学误区 , 但“脍不厌细” , 却是真的值得推广 。
肉类吃得过多 , 必然会摄入更多的饱和脂肪酸和胆固醇 , 对心血管不利;缺乏膳食纤维 , 又容易引起肠道健康问题 , 甚至连各种癌症都容易找上门来 。
2017年 , 世界卫生组织国际癌症研究机构宣布 , 将红肉加入2A类致癌物的清单 。
所谓的红肉 , 就是哺乳动物的肌肉 , 猪肉牛肉羊肉兔肉狗肉都算 。 而比红肉更危险的 , 还有加工肉制品 , 比如香肠、热狗、培根等 。
大口大口吃肘子肯定是容易吃太多的 , 如果按照《论语》说的那样 , 把鱼和肉切得细细地吃 , 不仅容易控制食量 , 也便于咀嚼、容易消化 , 很有好处 。
本文图片
把肉切得薄薄细细地吃 , 有利于消化 , 图片来源 Pexels
参考资料:
[1] 刘金荣. “食不厌精 , 脍不厌细”新解. 沙洋师范高等专科学校学报. 2002年第3期.
[2] 白杨. 食不厌精导致换牙反常. 卫生与生活报. 2003年12月15日第8版.
[3] 王立彬. 食不厌精导致浪费严重疾病大增. 新华每日电讯. 2013年5月21日第1版.
[4] 国际癌症研究机构. 2类致癌物分类. 2019年.
end
审核专家:阮光锋 , 食品与营养信息交流中心科学技术部主任 。
蝌蚪五线谱原创文章/转载注明来源
责编/Sirens
【国际癌症研究机构|食不厌精,脍不厌细:伙食真的越精细越好吗?】向左滑动 , 查看北京市科学技术协会新媒体传播体系
推荐阅读
- 恐龙|恐龙也怕患癌症?新发现,科学家在恐龙化石中检测出恶性肿瘤痕迹
- 国际空间站|重达2.9吨!国际空间站竟扔了一块巨大的太空垃圾
- 做饭|做饭时忽略了这个细节,可能成为癌症的“入门口”!劝你长点心
- 癌症|不是皮肤病,而是癌症信号?无论男女,当心皮肤这3种异常表现
- 癌症|癌症的“祸根”找到了!忠告:远离癌细胞,四种食物最好撤下餐桌
- iter|国际热核聚变实验堆(ITER)产氚实验包层项目在成都启动
- nasa|NASA展示国际空间站“小型花园”和植物实验
- 国际空间站|宇航员对国际空间站进行维护 太空行走近7小时
- 辐射|徒手接触高浓度辐射物,会患上癌症吗?在一种情况下可以自救
- 胸心血管外科|赞!深圳龙岗这项创新术式 登上胸心血管外科国际专业杂志
