3月3日 , 《Complete Video-assisted Thoracoscopic Surgery for Rib Fractures:A Series of 35 Cases》“完全胸腔镜肋骨骨折内固定术”以原创文章形式在线发表于美国胸外科医师学会官方期刊《胸外科年鉴》(The Annals of Thoracic Surgery) 。 该杂志系世界三大胸心血管外科杂志之一 。
近年来 , 深圳市龙岗中心医院胸心外科主任洪琼川主任团队在完全胸腔镜肋骨骨折内固定术发明人张继军教授的指导下 , 在广东省内率先开展了完全胸腔镜下肋骨骨折内固定术 , 并开展了全国首例单孔胸腔镜下肋骨骨折内固定术 。 并于2020年11月在深圳市龙岗中心医院成立了全国首家“全国完全胸腔镜肋骨骨折内固定培训基地” 。 通过培训在全国范围内大力推广了腔镜肋骨骨折内固定术这一创新型的术式 。 作为第一作者及通信作者 , 发明人张继军与洪琼川主任团队合作 , 通过7年的努力 , 积累了丰富的临床经验 , 并不断改进和完善手术方式 。 终于使这项世界领先的创新术式获得美国《胸外科年鉴》的认可 , 这一术式将载入世界胸外科史册 。
【胸心血管外科|赞!深圳龙岗这项创新术式 登上胸心血管外科国际专业杂志】
文章插图
▲洪琼川主任团队为患者实施手术 。
来自龙岗的李先生(化名)就是这一创新术式的受益者之一 , 今年1月 , 40岁李先生因为车祸受伤住进了龙岗中心医院胸外科 , 入院时伤情较重 , 相关检查提示双侧多发肋骨骨折 , 胸骨骨折 , 双肺挫伤 , 右侧血气胸 。 洪琼川主任团队迅速制定救治方案 , 经术前讨论后决定为李先生施行“胸腔镜下右侧肋骨骨折内固定、胸骨骨折内固定术” 。 由于患者右侧第3-6肋骨错位明显 , 术中给予记忆合金肋骨接骨板固定了错位肋骨 , 胸骨爪固定胸骨骨折处 。 手术过程顺利 , 术后经过抗感染活血促骨折愈合雾化排痰等治疗 , 复查胸部X线提示肋骨爪及胸骨爪固定良好 , 李先生住院一周后顺利康复出院 。
文章插图
▲影像资料:术前肋骨三维重建 。
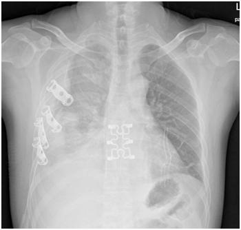
文章插图
▲术后复查胸片 。
据了解 , 肋骨骨折是常见的胸部创伤之一 , 大多数是由肋骨受到直接或者间接的撞击所致 , 多由车祸、外伤引起 。 2根以上的肋骨骨折称为多发性肋骨骨折 , 容易合并血气胸 , 严重者可致患者呼吸、循环衰竭 , 危及生命 。 因此及时进行有效的治疗尤为关键 。
肋骨骨折的治疗方法很多 , 可以采取外固定方法 , 机械通气内固定等非手术方法以及外科手术内固定的方法 。 手术治疗的方法可以快速恢复胸廓稳定性 , 缓解或消除疼痛 , 减少并发症 , 减少住院日和医疗费 , 近期和远期生活质量好 , 胸廓畸形致残率下降 , 最大限度的保全肺功能 , 同时还能及时发现并处理胸内其他损伤 。
但常规的肋骨固定手术需要进行较大范围的开放式手术 。 这种手术不但造成的创面较大 , 周期长 , 胸腔积液积血不易清除干净 , 容易造成肺部感染、肺不张等并发症 。 患者需要长期卧床休养 , 极容易造成褥疮 , 加之为了减少疼痛而主动性抑咳 , 还有可能引发坠积性肺炎 。
洪琼川主任团队为患者李先生所做的“胸腔镜下记忆合金肋骨接骨板内固定术” , 有着术后恢复快、并发症少等优点 。 弥补了传统开胸手术的缺陷 , 缓解了患者的疼痛 , 提高了患者的生活质量 , 具有快捷、安全、效果明显、创面小等特点 。 术中所使用的内固定材料能够与周围组织相容 , 后期也无需取出 , 避免了周围组织的二次破坏 , 该材料无磁性 , 对人体安全 , 不影响后期CT或核磁共振检查 , 体表触摸不到 , 无异物感 , 胸壁不适感降低 。
近年来 , 龙岗中心医院胸心外科洪琼川主任团队与张继军教授合作 , 不断推动腔镜肋骨骨折内固定术的发展 , 于2019年成功开展了全国首例单孔胸腔镜下肋骨骨折内固定术 , 该手术只要一个不到4cm的切口便进行了复杂的多发性肋骨骨折的固定 , 进一步减少了手术创伤 。 这一新的术式正在越来越多的应用于临床 , 今后将会有更多的李先生这样的患者成为这一先进术式的受益者 。
来源 | 晶报APP
采访人员:李海若
通讯员:许露 李思如
推荐阅读
- 用减脂健康鸡胸肉沙拉 可以勾住家人的胃
- 不和面,不揉面,轻松做出外酥里软的鸡肉饼,1块鸡胸肉就能做好
- 喝酒|喝酒脸红的人心血管风险更高!近50%中国人都中枪!
- 乳糜胸|出生自带“干粮”?小宝宝的胸腔里居然藏着“牛奶”!
- 鸡胸最好的吃法,三两下拌一盘,绝好的下酒菜,比红烧肉还馋人
- 美食推荐:麻辣抄手,蒜蓉辣酱烤鸡胸,白菜渍物,西芹炒肉丝做法
- 心血管|JAMA:母亲孕期的心血管健康与子女心血管健康息息相关
- 心血管疾病|心血管疾病图文详解!太珍贵了!看完全明白!
- 糖尿病|糖尿病明明是代谢类疾病,为什么会跟心血管疾病有关?医生告诉你
- 血管|血管不好的人,睡觉时可能出现失眠、胸痛,忠告:3种食物少碰
