间质性肺疾病|珠海男子肺部“罢工”才治疗,这些症状要警惕
文、图/羊城晚报全媒体采访人员 郑达
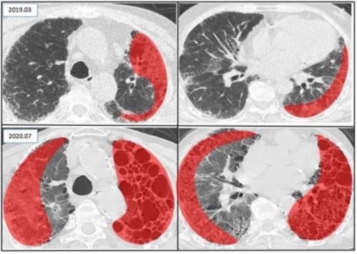
咳嗽、活动后气促 , 检查发现间质性肺疾病 , 这些并没有引起市民赖先生的注意 。 不过 , 近日赖先生的肺“罢工”了:左肺失去换气功能 , 24小时离不开氧气 , 一个月前 , 他的胸部CT提示“右肺散在胸膜下及左肺弥漫性蜂窝肺改变” , 这意味着他部分右肺和几乎全部左肺都失去了换气功能 , 24小时离不开氧气 。
本文图片
患者的肺部病变明显进展(红色区域为病变位置)
中大五院呼吸与危重症学科主任刘晶介绍 , 该患者入院时血氧饱和度低至75%(正常值为98%以上) , 呼吸频率高达40余次/分(正常值为12至20次/分) , 不能正常说话 , 右肺出现了大面积的磨玻璃渗出影 , 考虑为间质性肺疾病急性加重 。 同时 , 他还患有高血压病、糖尿病、银屑病等多种合并症 。 病情危重 , 这为治疗和护理带来了很大挑战 。
经高流量氧疗、抗感染、糖皮质激素抗炎、抗氧化及针对合并症的治疗 , 赖某病情迅速好转 , 现已转入普通病房进行康复治疗 。
据悉 , 肺纤维化在医学上称为间质性肺疾病 , 它不是一种独立的疾病 , 而是多种疾病的统称 。 据统计 , 有上百种疾病会引发间质性肺疾病 。 它的早期表现并不明显 , 可出现不同程度的咳嗽、胸闷、呼吸困难等症状 。
有些患者会拖到喘不上气时才到医院就诊 , 这时病情可能已比较严重 。 刘晶提醒市民 , 如出现呼吸困难、干咳、气短、体重突然减轻、嘴唇发紫等症状 , 要及时到正规医院专科检查 , 积极的干预治疗能有效阻断病情进展 , 减轻临床症状 , 延长患者生命 。
来源|羊城派
责编|黄铁安
审签|吴瑕
【间质性肺疾病|珠海男子肺部“罢工”才治疗,这些症状要警惕】实习生|陈恺祺
推荐阅读
- 动脉硬化吃什么好?动脉硬化的易患人群有哪些?警惕疾病找上门
- 女性腰腹肥胖需查卵巢疾病
- 保安|初一学生与校园保安争执后患精神疾病?校方回应
- 还在说耳鸣不是病?这种突发性疾病必须引起重视
- 澎湃新闻|沭阳初一学生与保安争执后患精神疾病?校方回应
- 管理班级|初一学生与保安争执后患精神疾病?校方回应
- 朱明毅|初一学生与保安争执后患精神疾病?校方回应
- 壹點读书|心理学:有这3种异常的心理癖好,其实是属于精神疾病
- 学生与保安争执后患精神疾病|初一学生与保安争执后患精神疾病?校方回应
- 恶性肿瘤|五十岁以后,想要长寿,什么“疾病坎”要注意?看医学专家怎么说
