肺部感染|海宁大伯突然发热、咳嗽、高烧40℃不退,肺部感染…竟是因亲密接触…
来源:海宁日报-爱海宁
前不久
海宁年过五旬的老刘
突然发热、咳嗽
体温飙到40℃左右
有肺炎表现
用退烧药、激素等都无法降温
治疗持续72小时后
老刘的症状仍然在加重
肺部病灶也有进展……
令人意想不到的是
老刘惊心动魄的经历背后
竟然是与它“亲密接触”有关
持续高热 , 退烧药都不管用
老刘今年56岁 , 平时身体很好 , 用他的原话说是打半只老虎都不成问题 。 然而上个月 , 他却因为发热咳嗽一星期入了院 。
在海宁市人民医院住院的第三天 , 老刘持续高热 , 体温飙到40℃左右 , 用退烧药、激素等都无法降温 , 而且精神萎靡 , 咳嗽剧烈 , 还有胸闷气促的症状 。
本文图片
△资料图
根据CT和血常规结果 , 海宁市人民医院呼吸内科主任孙亚红判断 , 老刘患上了肺炎 , 同时有特殊病原菌感染的可能 。 医生对他做了抗感染治疗 , 但治疗持续72小时 , 老刘的症状仍然在加重 , 肺部病灶也有进展 。
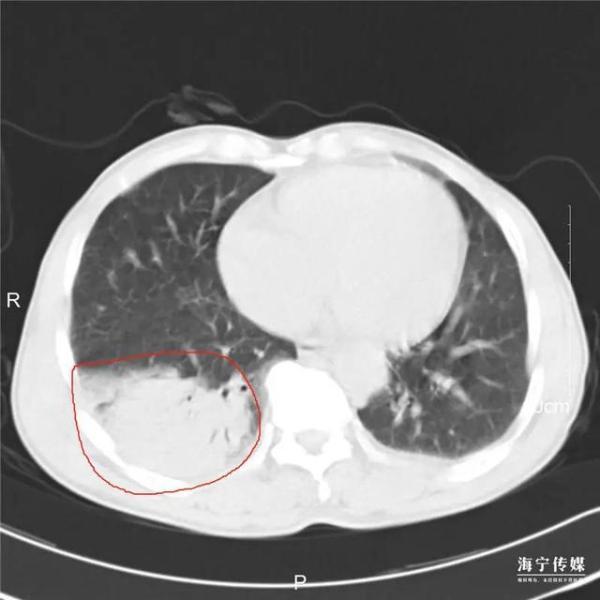
本文图片
△红圈圈出位置为病灶
家里人心急如焚 , 这到底是怎么一回事 , 为什么治疗一点效果也没有呢?
这是一种什么病?
孙亚红医生再次梳理老刘的病情并追问了病史发现:老刘是一个贩鸡经营户 , 发病前每天接触活鸡 。
本文图片
△孙亚红医生
“会不会是因为接触鸡后引起的鹦鹉热衣原体肺炎?”经验丰富的孙医生脑海里已经有了猜测 。 之后医生给老刘做了进一步的肺泡灌洗检查 , 结果证实了这个想法 。
对症治疗10天后 , 老刘病情得到控制出院了 。
鹦鹉热衣原体肺炎?老刘告诉医生 , 他贩鸡十几年 , 接触的同行无数 , 最多只听见过哪个人得了个禽流感 , 鹦鹉热衣原体肺炎闻所未闻 。 另外天天接触鸡的人那么多 , 为什么别人不得病 , 偏偏他生病了?
别说老刘没听说过了 , 相信很多小伙伴听到这个疾病时也是一头雾水 。 鹦鹉热衣原体肺炎是一种什么样的疾病?究竟是如何传染给人类的?患病后有什么症状?
△网络图
这到底是一种什么样的疾病?
“鹦鹉热”又称鸟热 , 是一种被称为“衣原体”的微生物引起的疾病 , 主要在鸟类动物中流行 , 但可以感染人类和其他哺乳动物 。 ”因最初发现该病多见于玩赏鹦鹉者 , 故命名为“鹦鹉热” 。
“鹦鹉热”的传染源除了鹦鹉 , 还有鸽子、金丝雀等鸟类 , 甚至鸡、鸭等家禽 。
如何传染给人类?
当人体自身免疫力低下时 , 接触带有病原体或生病的鹦鹉和其他鸟类或家禽的分泌物 , 或排泄物污染的环境、羽毛及尘埃、宰杀病禽等就可能被感染 。
患病后有什么症状?
患病后 , 人体表现为流感样症状 , 如头痛、肌肉酸痛、高热、呼吸困难等 。 此外 , 感染可能导致贫血、肝脏功能障碍和胃肠道疾病等并发症 , 出现呕吐、便秘、腹泻 , 中枢神经系统也会受累 。 严重的会出现多脏器功能衰竭 , 危及生命 。
这病不常见但是这些方面都要注意了
海宁市人民医院呼吸内科主任孙亚红告诉 , 生活中“鹦鹉热”较为少见 。 但是鹦鹉热衣原体肺炎因临床症状表现变异较大且缺乏特异性 , 患者感染症状从轻度到重度均有可能 。
如果临床医生不熟悉“鹦鹉热” , 极有可能将该病误诊为病毒性疾病、脑膜炎或肠胃炎 , 尤其是在没有怀疑或缺乏鸟接触史时 。
孙医生还告诉大潮君 , 去年她们科室共确诊4例 , 其中两例为重症 , 经全力抢救治疗好转出院 。 全部有接触活鸡或者死鸡后发病 , 因此家禽的接触是一个诱因 。
所以如果在工作中需要密切接触鸡和鸭这些禽类 , 一定要注意自我保护 , 比如戴口罩 , 注意手部卫生 , 包括环境保持通风等 。
此外 , 喜欢养鸟的朋友们 , 也要特别注意了 , 比如说要去正规的宠物店购买宠物鸟 , 接触鸟类或粪便后 , 要用流动的清水和肥皂彻底洗手 。
万一遇到一些不明原因
发热、咳嗽
【肺部感染|海宁大伯突然发热、咳嗽、高烧40℃不退,肺部感染…竟是因亲密接触…】一定要到正规呼吸科就诊
快把这份提醒扩散出去!
通讯员:祖蔚绮、孙亚红
采访人员:柳晴、袁婕莹
声明:转载此文是出于传递更多信息之目的 。 若有来源标注错误或侵犯了您的合法权益 , 请作者持权属证明与本网联系 , 我们将及时更正、删除 , 谢谢 。
来源:人民日报中央厨房
推荐阅读
- 国际社会|英国一甜品加工厂出现聚集性感染 72名工人新冠病毒检测结果呈阳性
- 确诊病例|浙江新增无症状感染者1例 系从西班牙输入
- 确诊病例|陕西新增2例境外输入确诊病例和3例无症状感染者
- 确诊病例|山东济南市报告哈萨克斯坦输入无症状感染者2例
- 无症状|新疆(含兵团)无新增确诊病例 新增无症状感染者1例
- 8月|广东新增境外输入确诊病例1例、无症状感染者6例
- 中国新闻网|重庆市报告新增无症状感染者2例 均为新加坡输入
- 确诊病例|重庆市报告新增无症状感染者2例 均为新加坡输入
- |俄罗斯累计确诊新冠感染病例接近97万
- 健康|大连累计89个新冠病毒感染患者出院 尚有26例住院病例
