缩窄性心包炎
(一)缩窄性心包炎的病因和病理生理
?定义:心脏被致密增厚的纤维化或钙化心包所包围 , 使心室舒张期充盈受限而产生一系列循环障碍的疾病 。
?病因
2 大多数心包疾病可引起缩窄性心包炎
2 我国缩窄性心包炎的病因以结核性为最常见 , 其次为非特异性、化脓性或创伤性 , 近年来放射性心包炎和心脏直视手术后引起者逐渐增多
2 其他少见病因包括自身免疫性疾病、恶性肿瘤、尿毒症、药物等
病理生理
心包缩窄使心室舒张期扩张受限、充盈减少 , 每搏输出量下降 , 心率代偿性增快以维持心输出量 。 体循环回流受阻 , 可出现一系列静脉系统压力增高的相关表现 , 如颈静脉怒张、肝大、腹腔积液、下肢水肿等
【缩窄性心包炎|心包疾病-缩窄性心包炎】(二)缩窄性心包炎的临床表现和辅助检查
?症状:
2 部分病人起病隐匿 , 早期无明显临床症状
2 主要症状与心输出量下降和体循环淤血有关
2 心悸、劳力性呼吸困难、活动耐量下降、疲乏以及肝大、腹腔积液、胸腔积液、下肢水肿等
?体征:
2 颈静脉压升高常见
2 多数患者收缩期心尖呈负性搏动
2 部分患者有心包叩击音
2 可有Kussmaul征
2 晚期出现肌肉萎缩、恶病质和严重水肿等
(二)缩窄性心包炎的临床表现和辅助检查
1.心电图:常见心动过速 , QRS低电压、T波低平或倒置
2.X线检查:多数心影轻度普遍性增大呈三角形或球形
3.超声心动图:临床最常用的无创检测手段
典型表现为心包增厚、黏连心脏变形 , 室壁活动减弱 , 室间隔舒张期矛盾运动 , 即室间隔
抖动征) , 下腔静脉增宽且不随呼吸变化
4.心脏CT和磁共振成像(MRI)诊断价值优于超声心动图
均可用于评价心包受累的范围和程度、心包厚度和心包钙化等;CT检测心包钙化敏感性更高 , MRI
可识别少量心包渗出、粘连及心包炎症
5.右心导管检查:当非侵入性检查手段不能明确诊断时或拟行心包切除术前可考虑
6.活组织检查:有助于了解病因
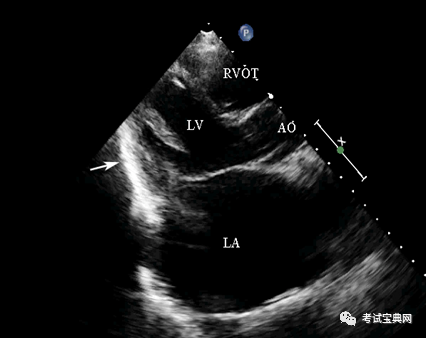
文章插图
缩窄性心包炎心包明显增厚
文章插图
缩窄性心包炎室间隔异常运动
(三)缩窄性心包炎的诊断和鉴别诊断
?鉴别诊断:
2 限制型心肌病具体见限制型心肌病一节
2 其他原因引起的心力衰竭参考血清BNP水平和超声心动图与心脏CT、MRI
2 其他原因引起的腹腔积液肝硬化、结核性腹膜炎等
(四)缩窄性心包炎的治疗
2 多数病人会发展为慢性缩窄性心包炎 , 此时唯一有效的治疗方法即早期心包切除术 , 但围术期风险很高
2 少部分病人心包缩窄是短期的或可逆的 , 故对于近期诊断且病情稳定的患者 , 除非出现心源性恶病质、心源性肝硬化、心肌萎缩等并发症 , 可尝试抗炎治疗2~3月
2 对于结核性心包炎推荐抗结核治疗延缓心包缩窄进展 , 术后应继续抗结核治疗1年
---------------------------------------------------------
以下是可爱的原创凑字数内容
1、为何要加原创:加原创只为可以添加话题标签 。
2、为何要添加标签:添加话题标签后可以按照内容分类 , 方便大家阅读 。
3、声明:该内容以九版内科学内容为基础编制 , 为方便大家学习考试使用 。 如有侵权 , 请联系小编删除为谢!!!
本文章并非作为疾病诊治依据 , 如有不适 , 请到医院就医 。
内科学
内科学在临床医学中占有极其重要的位置 , 它是临床医学各科的基础学科 , 所阐述的内容在临床医学的理论和实践中有其普遍意义 , 是学习和掌握其他临床学科的重要基础 。 它涉及面广 , 包括呼吸、循环、消化、泌尿、造血系统、内分泌及代谢、风湿等常见疾病以及理化因素所致的疾病 。 与外科学一起并称为临床医学的两大支柱学科 , 为临床各科从医者必须精读的专业 。
推荐阅读
- 量化|量化大师麦教授:美好的不确定性
- 春分前后,多吃1道碱性蔬菜,低脂不长胖,清脆爽口又下饭
- 恐龙|恐龙也怕患癌症?新发现,科学家在恐龙化石中检测出恶性肿瘤痕迹
- 系统性红斑狼疮|盘点:系统性红斑狼疮治疗药物研发进展
- 系统性红斑狼疮|荣昌生物泰它西普获批,60年来第二款系统性红斑狼疮新药
- 寒热|寒热并用,辛开苦降法是治疗慢性萎缩性胃炎的重要法则
- 果园|果园植被多样性对虫害的控制
- 溃疡性大肠炎|JMT日本疑难病治疗-溃疡性大肠炎通过适当治疗可以恢复到健康人状态
- 急性卡他性结膜炎|【健康提醒】阳春三月惠州万紫千红,赏花同时也要注意这5种眼病!
- 发作性睡病|30岁女子患发作性睡病 开车等红灯,眼皮自动合上了……
