1895年 , 德国物理学教授威廉·伦琴(WilhelmR?ntgen)在研究雷纳德管的过程中产生并发现了X射线 , 并开始对其进行研究 。 R?ntgen在他的第一份关于X射线的第一份报告中将辐射称为“ X” , 以表明它是未知类型的辐射 。
文章插图
室友是放射专业的学生 , 今天他们用X射线照了花 。 以为你们可能会喜欢
尽管他的许多同事建议称呼伦琴射线(出于他的强烈反对) 。 1901年 , 伦琴因其发现获得了第一届诺贝尔物理学奖 。 如今 , X射线在医疗保健和运输安全等各个领域必不可少 。 人们甚至使用它们来检测艺术品伪造!
文章插图
埃及石棺的X射线显示里面的小猫
为了向您展示它们如何深入我们的生活 , 我们可以在互联网上找到的最有趣的X射线图像列表 。 从埃及的石棺到金属臂 , 让我们仔细看看吧?
文章插图
锤头鲨的X射线
X射线是电磁辐射的一种形式 , 类似于可见光 。 但是X射线的能量比光高 , 并且可以穿过包括人体在内的大多数物体 。 医学X射线用于生成人体内部组织和结构的图像 。 如果穿过人体的X射线也通过患者另一侧的X射线检测器 , 将形成代表人体内部物体形成的“阴影”的图像 。
文章插图
covid肺炎的5天病情发展
文章插图
怀孕的狗的X射线
尽管X射线挽救了无数生命 , 并在一系列重要发现中提供了帮助 , 但科学家对获得X射线对健康的影响表示关注 。 戈芬克尔解释说:“没有一种辐射被认为是特别健康的 , 因为电离辐射会干扰细胞分裂并导致正常细胞变成癌细胞的方式 。 ” “但是各种研究的实际辐射量实际上是非常低的 , 除非不断重复 , 否则不会这样做 。 ”
文章插图
奇异鸟的X射线
文章插图
黄貂鱼的X射线
据专家估计 , 在美国 , 有0.4%的癌症是由CT扫描引起的 , 而平均CT扫描可能会使致命癌症的几率增加2,000分之一 。 但是 , 与美国五分之一的致命癌症自然发病率相比 , 这个数字显得苍白 。
文章插图
查理二世的绘画的X射线扫描显示 , 画家在一幅较早的绘画上作画
戈芬克尔说:“在大多数情况下 , 对于绝大多数获得X射线的人来说 , 这不是问题 。 ” 换句话说 , 与医学成像相比 , 风险很小 。
文章插图
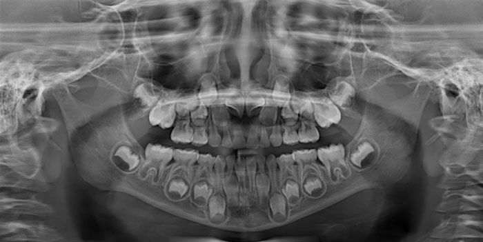
儿童口X射线检查对6-12岁之间的孩子仍然令我感到惊奇
戈芬克尔说 , 胸部X光仅相当于自然背景辐射的几天 , 几乎可以忽略不计 , 但是 , 人们必须认识到CAT扫描的辐射通常比X射线高得多 。 可能是上百倍 。
文章插图
晚期类风湿关节炎
文章插图
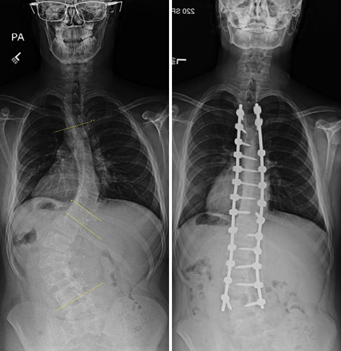
脊柱侧弯手术 , 之前和之后
文章插图
怀孕的猫X射线
文章插图
海马的X射线
文章插图
X射线的脚在细高跟鞋
文章插图
蛇有肾脏肿瘤 。 想要分享他的X射线 。 祝他手术顺利
文章插图
看着都痛
文章插图
识别卡车中违禁品的反向散射X射线 。
文章插图
1956年 。 在芝加哥的整脊大会上 , 竞赛优胜者因其X射线和站立姿势的美而被选出
文章插图
我的金属手臂的X射线
文章插图
吞下一个勺子的x射线
文章插图
老虎爪子的X射线
文章插图
我下颌脱臼了
【x光|25张X光下的照片,埃及石像里居然有猫,下巴脱臼这样,隔着屏幕都痛】
文章插图
这个家伙用钉子枪打了两个钉子砸了他的腿 , 他们都错过了他的股骨和膝盖骨
文章插图
尼尔·阿姆斯特朗(Neil Armstrong)1969年7月7日拍摄的月球靴的飞行前X射线图像美国宇航局(NASA)对宇航员所穿的衣服进行了X射线检查 , 以确认衣服上没有嵌入尖锐的物体 , 这些物体可能会刺穿压力服 。
文章插图
幽灵蝙蝠的X射线
推荐阅读
- 甲状腺癌|夜间灯光会使甲状腺癌风险增加55%?
- 夜光杯 春馔
- 猪身上一个部位,无筋无骨不塞牙,比排骨受欢迎,上桌立马被抢光
- 银河系|不用一万光年,银河系就是一座黑暗森林|近期科技趣评
- 凉拌青椒皮蛋最简单的家常做法,皮蛋入味滑嫩爽口,一上桌就吃光
- 减肥|较真丨减肥产品含违禁药再被曝光,为什么说滥用这些产品是在玩命?
- 一把花生,一碗面粉,做家人爱吃的小零食,酥脆香甜,上桌吃光
- 香味四溢的几道家常菜,荤素搭配好吃不腻,每次上桌准光盘
- 我家茄子从不炒着吃,淋入3个鸡蛋,比吃肉还香,上桌瞬间被扫光
- 血管|25张不寻常的照片,带你领略不一样的大自然
