52岁的孙先生 , 突发胸闷憋气 , 大汗淋漓 , 眼前发黑 , 家人赶紧拨打了120!
120赶到后 , 测量血压80/40mmHg , 做完心电图考虑心肌梗死 , 左主干闭塞;120医护人员一边输液升压抢救 , 一边联系胸痛中心 , 开启绿色通道 , 启动导管室 。
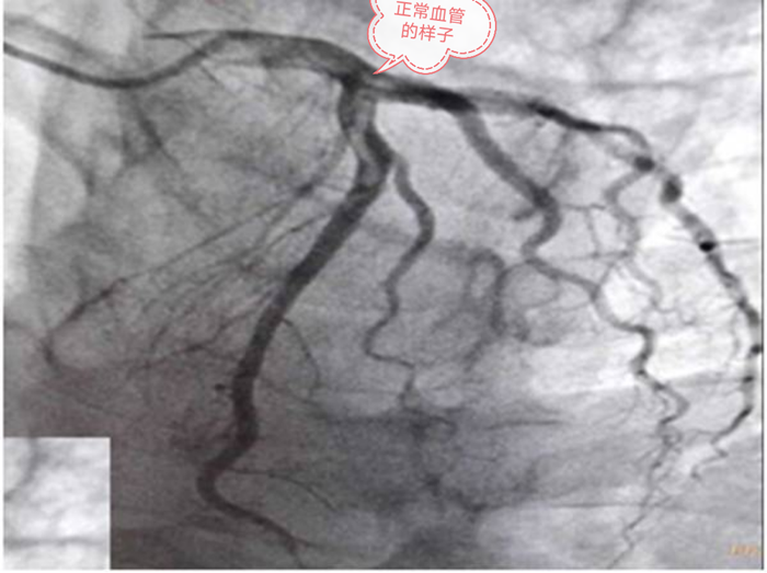
孙先生很顺利地被送入导管室 , 不到10分钟就做完了心脏造影 , 左主干根部完全堵塞 , 还没来得及做右侧血管造影 , 准备先植入IABP , 辅助心脏循环 。 这时候患者的心脏停止了跳动 , 导管室医护人员立即胸外按压心肺复苏 。 可是这种左主干闭塞的心肌梗死 , 一旦心脏停跳 , 可以说神仙也很难救活!
文章插图
心脏两根血管完全堵塞
最终 , 孙先生的心脏永远停止了跳动 。
一、心脏有三个大血管
文章插图
左侧两根血管
我们的心脏动脉血管 , 叫冠状动脉 , 因为心脏动脉血管的解剖图形像一个倒立的皇冠 , 所以最初人们称之为冠状动脉 。
冠状动脉也就是心脏动脉有三个大血管 , 右侧有一根的叫右冠 , 左侧有两根 , 左前方叫前降支 , 左后方叫回旋支;在左前方和左后方这两个血管其实还有一个根 , 那就是左主干 。 也就是左主干这个最大的心脏血管 , 发出两个大血管 , 分别是前降支和回旋支 。
文章插图
右侧大血管
在心脏三个大血管中 , 最大的一般是前降支 , 所以当前降支堵塞引起的心肌梗死相对更严重 , 死亡率更高 。
【心脏|心脏三个大血管,52岁男子两个血管都丢失,手术台上心脏停跳!】但如果是左主干堵塞 , 也就是心脏同时有两个大血管前降支和回旋支同时堵死 , 那么死亡率更高 , 甚至可以说无法获救 , 接近100%死亡 。
二、最重的心肌梗死就是左主干堵塞
文章插图
我们平时通过心电图能简单判断心肌梗死的面积 , 比如可分为急性下壁心肌梗死、急性前间壁心肌梗死、急性前壁心肌梗死、急性侧壁心肌梗死、急性右室心肌梗死等等 。
一般急性前壁心肌梗死相对最为严重 , 因为一般前壁心肌梗死就是前降支堵塞 , 前降支这个大血管给心脏的供血面积最大 , 所以一旦前降支心肌梗死 , 坏死面积最大 , 心衰风险最高 , 死亡率最高 。
而相对来说右冠或回旋支堵塞后发生心肌梗死 , 相对于前降支来说风险低一些;但这并不是说右冠和回旋支堵塞没有危险 , 右冠和回旋支堵塞同样会导致猝死或引起心衰 。
也就是三根大血管任何一根堵塞 , 都会导致猝死或心衰 , 而孙先生这次是前降支和回旋支的根部也就是左侧血管的根部完全堵塞 , 那么自然死亡率接近100% 。
左主干一旦堵塞 , 第一时间就可能会引起心脏骤停或心脏室颤 , 从而引起猝死;就算没有突然死亡 , 左主干堵塞后 , 也会在短时间内发生心源性休克 , 最终导致心脏停跳 。
三、孙先生心肌梗死的原因
文章插图
心肌梗死的本质其实就是血栓 , 血栓堵塞了血管 , 血管失去了血流 , 心肌就会坏死 , 心脏会发生室颤或心脏停跳 。
血栓的前身就是斑块 , 也就是动脉粥样硬化 , 心脏的动脉粥样硬化 , 叫冠状动脉粥样硬化 , 当冠状动脉粥样硬化引起的斑块狭窄超过50% , 我们就叫冠心病 。
斑块形成主要因素包括:遗传、高龄、吸烟、酗酒、肥胖、不健康饮食、不运动、熬夜、压力大、高血压、糖尿病、高脂血症等等等等 。 这些因素越多 , 越容易发生冠心病 , 其实我们说的预防就是把上述这些可以改变的因素降到最少 。 比如远离烟酒 , 戒烟戒酒 , 控制体重 , 健康饮食 , 坚持运动 , 不熬夜 , 好心态;同时早发现早治疗高血压、糖尿病、高脂血症 。
孙先生 , 平时抽烟喝酒 , 不运动 , 肥胖 , 也有高血压 , 过年这一阵更是大量抽烟喝酒 , 最终导致斑块破裂 , 形成血栓 , 运气不好的是血栓堵塞在左主干 , 直接要了性命 。
我们无法左右血栓发生在右冠还是前降支或回旋支 , 我们无法左右心肌梗死面积的大小;如果我们能左右 , 我们宁愿大家都不要发生心肌梗死 。
文章插图
我们更无法判断谁的心肌梗死会发生在左冠干这么危险的位置 , 所以 , 我们能做的只有预防 , 只有健康生活 , 重视和控制三高才是预防的基础和关键 。
(经常有人说 , 一下死了也不受罪 , 或许对于逝者来说也是一种解脱 , 可是对于中青年人 , 我们并不是离开了一了百了 , 我们还有父母、还有孩子 , 他们怎么办?)
推荐阅读
- 小龙虾|三农探析:池塘养殖小龙虾如何高产?高产养殖技术全解析
- 这早餐我从3岁开始吃,三十多年了,从没吃腻过,晶莹剔透很好吃
- 南瓜新吃法,不放面粉,柔软香甜,咬一口满嘴香,隔三差五做一次
- 糖尿病|这根血管堵了,离死亡最近!三个预警信号,糖尿病患者尤其要注意!
- 三星堆遗址|三星堆“迁都”猜想|自然灾害说:洪水、地震等致三星堆古城毁亡
- 医生|65岁老汉突然昏迷,三小时后离世,医生遗憾:这玩物害了不少老年人
- 三星堆遗址|直击三星堆发布会|雷雨:四号坑灰烬中发现纺织品痕迹
- 水煮鱼到底怎么做即简单还好吃呢?下面三款家常做法你觉得怎样?
- 春天用这三种食材做饺子馅,鲜美汁多味道超赞,蒸饺煎饺都很好吃
- 自从学会做这个,我家隔三差五吃,拌一拌上锅一蒸,蘸着料吃,老香了
