近日 , 世卫新冠病毒溯源发布会报告:无证据表明 19 年 12 月前病毒在武汉传播 , 新冠病毒由武汉实验室泄露而导致疫情爆发的假说不成立 。 其实这次的调查结论基本上是之前已经反复论证过的 , 由此看来世界卫生组织还是相当的尊重科学 , 没有被国际舆论裹挟 。
1 , 无证据表明19 年 12月前病毒在武汉传播
这一点就很有意思了 , 因为之前国外发现更早的流行 , 那么事实上是我国负责任的医护人员首先发现并上报了病例 , 其他国家直接无视了 。
一篇发表在Tumori 杂志上的研究 , 单位是米兰癌症研究所和意大利锡耶纳大学的科学家 。
文章插图
他们调查了在2019年9月至2020年3月之间的959名无症状个体的血液样本 。
这本来是用来做癌症筛查用的 , 自然保留了血液 。 现在新冠爆发了 , 于是意大利人就想 , 我们要不要测一下这批保存的血液里的新冠抗体?
于是他们选择了新冠病毒SARS-CoV-2受体结合域(RBD)特异性抗体的情况 , 结果意外的发现 , 在这959名个体中 , 111名个体血液中有SARS-CoV-2 RBD特异性抗体 , 比例高达11.6% 。
而且 , 这些样本中 , 出现新冠的情况可不是2020年后才有的 , 事实上 , 从2019年9月份就开始出现了
文章插图
可以看上表 , 绿色的柱子表示的是保留的血液数量(也就是本次用于检测的样本数量) , 蓝色表示的是抗体IgG的阳性 , 红色表示的是抗体IgM的阳性 , 这两者相信大家都比较熟悉了 , 就是和新冠病毒感染有关 。
我们可以清晰地看到 , 9月第一周就有抗体IgM的阳性 , 9月第二周更是抗体IgG、IgM阳性都出现了 。
这意味着 , 在2019年9月份的时候 , 意大利就已经出现了无症状的感染者 , 而且产生了抗体 。
而且 , 这种分布可不是一个地方 , 而是全意大利都有 , 如下图 , 可以看到不同地区均出现了抗体阳性 。
文章插图
这么来看 , 新冠病毒 , 至少不晚于2019年9月已经出现在广泛人群中了 , 然后极大的扩散并形成了全世界范围的感染 。
这会极大的重塑新冠病毒的流行图 , 让全世界重新审视新冠的传播路线 。
而世界卫生组织的调查也佐证了我国12月前没有新冠 , so , 得好好去美国调查下了 。
2 , 新冠病毒几乎不可能是实验室泄露的 。
这一点也是去年备受质疑的地方 , 武汉作为我国的P4实验室所在地 , 受到了许多指责 , 而这次调查组专程来到武汉进行调查 , 进一步的调查也帮武汉洗脱了这个污名 。 新冠是一场天灾 , 不应该以此来指责受害者 。 新冠爆发后 , 虽然有一些不大友好的舆论 , 但是随着时间的推进 , 越来越多的证据会为我们证明 。
3 , 新冠病毒的可能中间宿主包括水貂和猫 。
其实在去年上半年 , 就有相关研究指出水貂和猫是潜在的宿主 , 而此后相关的发现和证据也进一步指向了这些物种 。
这次新冠病毒最早的序列和蝙蝠身上的病毒最为类似 , 但是也仅仅是进化关系接近 , 事实上 , 其中还是存在不少差异 , 比如前期研究发现 , 从蝙蝠的病毒变异到可以感染人的新冠 , 至少需要几十年的时间 。
再加上人们并非直接和蝙蝠接触 , 这意味着必然有中间宿主连接了蝙蝠 , 从蝙蝠身上感染了病毒 , 然后病毒在中间宿主身上不断进化 , 最后接触到了人 , 传染到了人身上 。 甚至 , 中间宿主可能并不是一种 , 而是多种 。
其中水貂和猫本身可以感染新冠病毒 , 同时又和人类密切接触 , 因此也是疑似的中间宿主之一 。
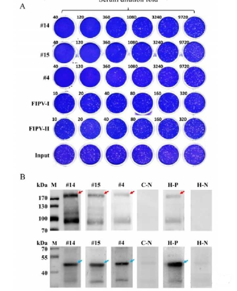
这里引用一篇“华中农业大学一研究对武汉 102 只猫进行检测 , 其中 15 只猫新冠病毒血清呈阳性 , 能说明什么?”的文章 , 是关于猫感染新冠的研究解读 , 部分内容如下:
文章全名是:
【世界卫生组织|世卫新冠溯源,科学与舆论的战役?】SARS-CoV-2 neutralizing serum antibodies in cats:a serological investigation
非常明确的说了 , 猫感染的就是新冠 , 是SARS-CoV-2, 不是其他的病毒
文章插图
文中使用调查了武汉地区新冠疫情爆发后采集的102只猫 , 对其进行血清检测发现 , 有15只猫的血清对新冠病毒的受体结合域(RBD)呈阳性 。 其中 , 有11份有新冠病毒中和抗体 , 尤其是3只主人患有新冠病毒的猫 , 中和滴度是最高的 , 提示这很有可能是被人传染了 。
当然 , 这里我们并不赞同扑杀这些动物 , 尽管之前丹麦扑杀了1700万水貂 , 但是此举也引发了较大的争议 。
如果家里养猫的话 , 最好让猫留在室内 , 这样可以最大程度避免风险 。
推荐阅读
- 地球|古代地球是一个水世界吗?
- 接种疫苗|专家:接种疫苗使世界变得更加美好
- 量子医学|量子医学诞生了!人类或迎来没有疾病的世界
- 热带地区|世界强国为何垂青中高纬度地区,很少出现在低纬热带?
- 叶片|又创世界纪录,世界最长风电叶片在江苏盐城下线
- 量子|量子世界充满了种种神秘,但最大的神秘已经被我们解开?
- 海沟|海洋新霸主诞生?软体机器鱼游入世界最深海沟
- 新冠病毒|“很快,世界就会知道是什么引发了新冠病毒大流行”
- 火箭_军事武器|世界巨型火箭盘点,土星五号原来是最小的,能源号终极版堪称第一
- 太钢精带公司|0.015毫米!中国打破世界纪录,800次实验没白费
