前几天 , 一个朋友给我打电话 , 说他老家侄子小王才20多岁 , 就得了肾病综合征 , 来到医院复诊时 , 却突然一头栽倒在地了 。
医生接诊后 , 诊断是肺栓塞 , 幸亏发生在医院 , 而且抢救及时 , 总算挽回了一条性命 。
想起那天惊险一幕 , 我这位朋友至今仍感到后怕 。
是啊 , 一个肾脏病 , 祸害肾脏还嫌不够 , 怎么又跑到肺里边去折腾呢?
一、走路突然倒地不起 , 20多岁小伙遭遇“沉默杀手”肺栓塞
可能许多人和我朋友一样想不通 , 为何一个20多岁健壮的大小伙 , 突然就因为肺栓塞倒在了地上 。
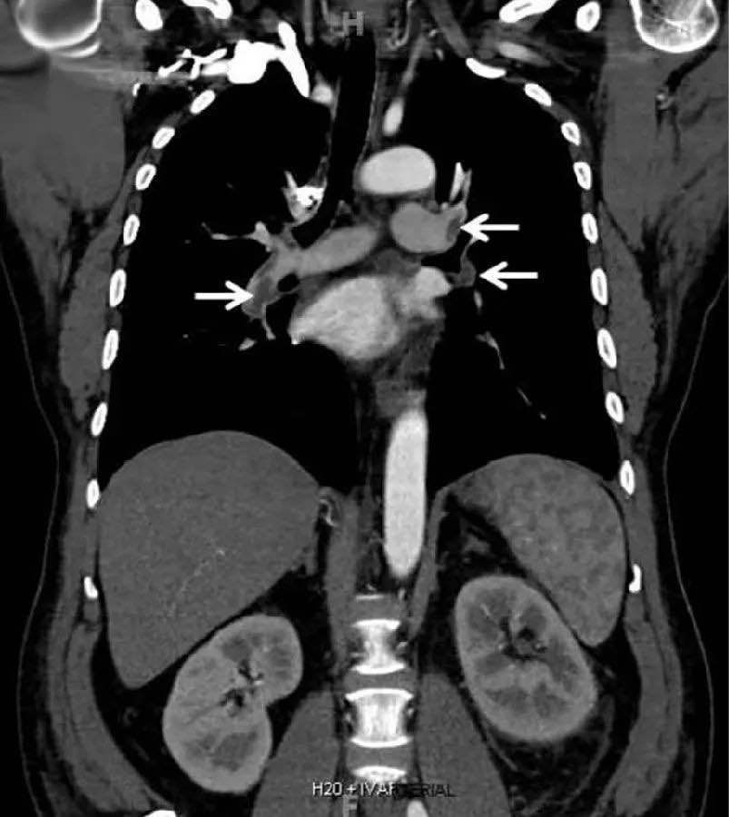
文章插图
来源:患者胸部造影剂增强CT , 显示肺动脉栓塞
更令人好奇的是 , 肾脏病为什么会发生肺栓塞呢?
其实 , 这在肾内科一点不稀奇 , 有时经常会遇到 , 比如去年 , 我们收治了3例肺栓塞 , 其中2例都是30多岁的年轻小伙子 。
每次遇到 , 都是一番紧急的抢救 。
前几天也有报道 , 一个20多岁的退伍军人 , 原来身体特别棒 , 也是因为得了肾病综合征 , 发生肺栓塞抢救 。
聊到这 , 我还是先说说什么是肺栓塞吧 。
肺栓塞 , 也叫肺动脉栓塞 , 是血液中的“杂质”(最常见的是血栓)堵塞肺动脉引起的肺循环梗阻 。
【医院|20岁小伙医院看病,突然一头栽倒!这个病背后的真相,让医生都惊出冷汗!】肺动脉堵塞的结局不是肺缺血 , 而是全身缺氧 。
人体的循环系统由体循环(大循环)系统和肺循环(小循环)系统组成 , 外周的血通过静脉回流到右心 , 右心血射入到肺动脉 , 在肺脏 , 血液释放出二氧化碳 , 并与氧气充分结合 , 然后氧合的血液经过肺静脉回流到左心 , 左心再射入到大动脉供应全身组织 , 这样完成一次循环 。
但如果发生了肺栓塞 , 右心向肺射血受阻 , 血液就无法释放二氧化碳 , 也无法和氧气结合 , 全身缺氧 , 病人常因缺氧而死亡 。
所以说 , 肺循环虽小 , 但很关键;肺栓塞虽不大 , 但常致命 。
二、肺栓塞发作起来 , 比急性心梗还要凶险
肺栓塞 , 主要表现为呼吸困难、剧烈胸痛、咯血、发热等症状 , 特别像急性心梗 。
据统计 , 不经治疗的肺栓塞死亡率为20%~30% , 诊断明确并经过治疗者死亡率降至2%~8% 。 在美国 , 肺栓塞的死亡率仅次于肿瘤和心肌梗死[1] 。
文章插图
来源:网络
另据统计 , 75%~90%肺栓塞栓子来自于下肢深静脉血栓 , 血栓随静脉血回流到右心 , 然后被射入到肺动脉 , 从而阻塞肺动脉形成肺栓塞 。
我们从人体的血液系统说起 。
人的血液有一套凝血系统和一套抗凝系统 。 正常情况下 , 血液处于不凝固状态 , 这是因为抗凝因子发挥作用 。
而在皮肤破口或者血管破裂的情况下 , 血液就会自动凝固 , 这是凝血因子在发挥作用 。
所以 , 正常情况下 , 凝血和抗凝一直处于动态平衡中 , 但一旦发生疾病 , 这个平衡就被打破了 , 比如肾病综合征 , 引起了肺栓塞 。
三、为什么肾病综合征会发生肺栓塞呢?
朋友告诉我 , 小王虽然才20多岁 , 但得了肾病综合征之后 , 双腿浮肿得厉害 , 整天也没精打采 。
肾病综合征 , 其实就是各种原因导致肾脏的滤过膜受损 , 血液中大量的蛋白质经过受损的滤过膜漏到尿中从尿中丢失 , 导致大量蛋白尿、低蛋白血症、水肿和高脂血症等 。
大量蛋白尿 , 除了丢失血浆白蛋白之外 , 也丢失其他的蛋白质 , 比如胰岛素、甲状腺素等各种激素 , 其中也包括凝血因子和抗凝因子(二者也是蛋白质) 。
但是 , 抗凝因子的分子量小 , 更容易经过受损的滤过膜丢失 , 而凝血因子的分子量大 , 丢失的较少 , 所以血液中的凝血因子占上风 , 血液处于高凝状态 。
此外 , 肾病综合征会出现低蛋白水肿 , 水从血管内“漏”到血管外 , 虽然体内的水分很多 , 但血液循环不足 , 血液是浓缩的;肾病综合征还会发生严重的高脂血症 , 血液更加粘稠 。
血液高凝、血液浓缩、血液粘稠 , 加上下肢血流缓慢……
所以 , 肾病综合征特别容易形成下肢静脉血栓 。 一旦血栓脱落 , 就容易导致肺栓塞 。
肾病综合征有两大严重的致死性并发症 , 一个是感染 , 另一个就是血液高凝状态 。
文章插图
四、他得的膜性肾病 , 是静脉血栓最危险因素之一
据报道 , 35%的肾病综合征会出现血栓栓塞并发症 , 最易发生血栓的类型是膜性肾病 , 而最常见的血栓部位是肾静脉血栓 , 当然 , 下肢静脉血栓也很常见[2] 。
肾病综合征不是一个病 , 而是许多肾脏病的共同表现 。
导致肾病综合征的疾病 , 有原发于肾脏等疾病比如原发性肾小球肾炎 , 也有其他疾病引起的肾损害(继发性肾脏病)比如糖尿病肾病、狼疮性肾炎、紫癜性肾炎、病毒相关性肾炎、肿瘤相关性肾炎等 。
其中 , 原发性肾小球肾炎中的一种特殊类型膜性肾病更容易发生血栓和栓塞 。
至于原因 , 目前还不是特别清楚 , 主流观点认为与环境污染有关 , 比如 , 南方医科大学侯凡凡院士认为 , 可能就与PM2.5有关 。
最后 , 这位患者诊断是膜性肾病 。
膜性肾病性肾病综合征 , 引起的严重低蛋白血症是静脉血栓形成的最危险因素 , 当血浆白蛋白
所以 , 肾内科医生遇到了肾病综合征 , 都要紧绷抗凝这根弦 , 时刻警惕血栓、栓塞的发生 , 并作出相应的处理 。
五、预防肺栓塞 , 记住这4个小贴士
关于预防血栓 , 一般来说 , 当血浆白蛋白<30g/L时 , 就要常规使用阿司匹林或者氯吡格雷抗凝;当血浆白蛋白<20g/L时 , 就要常规使用效果更强的抗凝药物肝素等 , 目的就是预防血栓的形成 。
文章插图
来源:网络
当然 , 对大部分肾病综合征来说 , 激素抑制免疫损伤 , 修复损伤的肾小球滤过膜 , 减少蛋白的漏出 , 才是最有效的、最根本的治疗药物 。
肺栓塞这个病 , 发生突然 , 病情凶险 , 进展较快 , 让人防不胜防 , 或者来不及抢救 。
比如一个刚做完大手术的患者 , 感觉好了、康复了下床活动 , 突发肺栓塞死亡;
一个产妇 , 生完孩子本是个高兴事 , 却因为羊水栓塞(也是肺栓塞)突然死亡 。
这些结局 , 有时候真让患者及其家人很难接受 , 甚至发生医患纠纷 。
所以 , 不管是不是得了肾病综合征 , 肺栓塞预防都非常重要 。
比如 , 肺栓塞的高危人群有:
1.长期卧床或者久坐不动者:下肢血流缓慢 , 容易发生凝血;
2.静脉炎、静脉曲张者:也容易发生凝血;
3.各种原因导致血液处于高凝状态 , 比如长期口服避孕药物、8小时等;
4.分娩:羊水中的杂质被挤压进入静脉血管形成栓子 , 一些产妇的猝死就是羊水栓塞肺动脉;
5.严重创伤、长骨骨折:骨折后脂肪等物质被吸收入静脉 , 以及骨折后长期卧床等;
6.恶性肿瘤:脱落的瘤体形成栓子;
对上述高危人群 , 一定提高警惕 , 预先做出处理 。
对因治疗 , 防止复发 。
最后 , 为你提供4个日常识别肾病和肺栓塞的实用小贴士:
健康提示——
1.尿中泡沫增多有可能是蛋白尿 , 发现这种情况最好做尿常规检测;
2.尿蛋白3+有可能是肾病综合征 , 一定做尿蛋白定量确诊;
3.肾病综合征易发生血栓栓塞性疾病 , 有时非常严重 , 应及时治疗;
4.对年轻人莫名其妙的下肢静脉血栓 , 除及时处理外 , 一定要追查原因 。
参考文献:
[1] LIGHT RW. Pleural effusions.[J]. The Medical Clinics of North America,2011,6(6):1055-1070.
[2] 张文 , 肾病综合征血栓栓塞并发症的诊治 , 第三届中国肾脏内科医师年会论文集 , 2011年3月8日.
*本文配图除特别标注外 , 皆来自腾讯医典医学插画 。
*本文内容为健康知识科普 , 不能作为具体的诊疗建议使用 , 亦不能替代执业医师面诊 , 仅供参考 。
*本文版权归腾讯医典所有 , 未经授权禁止媒体转载 , 违规转载将依法追究法律责任 。 欢迎个人转发至朋友圈 。
推荐阅读
- 李勇年|全国爱肝日 西安大兴医院李勇年详解护肝那些事儿
- 武汉协和医院|武汉协和医院完成第100例儿童心脏移植,例数持续居全国首位
- 医院|肾好不好,低头看眼尿就知道!
- 西安市第八医院|西安市第八医院封闭隔离区一检验师确诊新冠,该病例未与外界接触
- 医保|为什么都有医保,很多人有病能拖一天算一天,不去医院看病?
- 医院|为什么周边殡葬用品越发达的医院,医疗水平越高?
- 蔬菜大棚|北大小伙的加拿大菜农生涯:中国蔬菜大棚让我成了“网红”
- 西安市第一医院|陕西男子发现孩子眼睛有问题 送医检查竟发现
- 伊丽莎白·布莱克本|诺奖科学家“冥想实验”,静修打坐90天,身体回到20岁
- 医美|江城医院的医美门诊排起长队,网红鼻锥子脸不再受热捧
