手术|再创生命奇迹!一天三台高难度肺移植手术,刷新浙江肺移植纪录
难以呼吸
常用来形容一个人难受到绝望
有那么一群人
常年遭受着这种煎熬
正常人习以为常的一呼一吸
在他们看来却是不可获得的奢望
21岁的小唐(化名)
60岁的陈大伯(化名)
72岁的季爷爷(化名)
因肺功能严重受损且不可逆
他们正日夜煎熬 , 承受着常人无法理解的痛
稍微一动 , 甚至一个翻身就会剧烈喘息
只能靠吸氧来维持生命
不仅生活毫无质量
穷尽所有办法 , 肺功能还在持续恶化
每分每秒都笼罩在死亡的阴影下
要拯救这些终末期肺病患者
唯有选择肺移植
本文图片
10月14日
两名因意外事故身亡的患者捐献大爱
浙江大学医学院附属第一医院肺移植团队立刻展开生命营救
一天内密集进行、独立完成三台高难度的肺移植手术
再次刷新浙江省的肺移植记录
本文图片
为三位在艰难呼吸中苦苦挣扎的患者
打开希望之门
有人爬不动一节台阶
有人24小时都需要吸氧
21岁的小唐是宁波人 , 他怎么也没想到 , 一场2年前的病 , 居然会给今天的他带来这么严重的影响 。
2017年 , 小唐患上了肺结核病 , 但年轻力壮的他 , 很快就从当地医院康复出院 。 去年7月初 , 小唐发现自己呼吸“有点不畅快” , 特别是稍微动一下 , 就有非常严重的胸闷气促症状 。 到上海一家医院检查就诊后 , 小唐被诊断为“肺结核毁损肺、呼吸衰竭” , 经过气管插管、抗感染等治疗后情况好转 , 此时 , 受到病情折磨 , 身高174厘米的小唐 , 体重只剩下了40公斤 。
由于小唐的肺功能已经严重受损 , 该医院建议小唐尽快接受肺移植手术 。 随后 , 家人带着小唐辗转跑了国内好几家可进行肺移植手术的著名医院 , 最终 , 考虑到医院的综合实力 , 并看到浙大一院肺移植科主任韩威力专家成功为高龄新冠肺炎患者换肺的新闻 , 他们来到了浙大一院 。
根据检查结果 , 小唐两肺严重感染性病变 , 引发二型呼吸衰竭 , 如果不及时进行肺移植 , 仅存的肺功能只能支撑他几个月时间的生命了 。 但才20岁的小唐 , 压根不愿意接受这个事实 。 为了解除小唐内心的恐惧 , 韩威力主任停下手中忙碌的工作 , 花了近1个小时的时间 , 耐心详细地向小唐和家人介绍了肺移植的全流程 , 以及拖延病情的严重后果 。
“韩主任经常对我们说 , 我们不仅要治病 , 更要关注患者的心理 , 要关心他们 , 帮助他们树立起战胜疾病的信心 。 ” 肺移植科朱曼华医师说 , 在大家的关心下 , 小唐渐渐接受了这个现实 。
像小唐一样 , 60岁的陈大伯和70岁的季爷爷也因终末期肺病需要接受肺移植手术 , 在多家医院就诊后 , 考虑到浙大一院是浙江省最早进行肺移植手术、也是唯一可以依托全院综合实力独立进行肺移植手术的医院 , 他们都找到了韩威力主任 。
陈大伯 , 季爷爷均患有“慢性阻塞性肺病伴发肺间质纤维化” , 十余年的病史让他们受尽煎熬 。
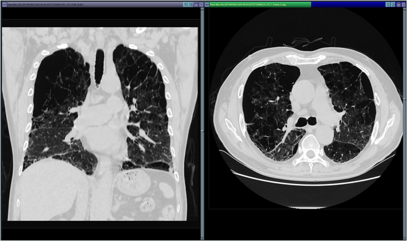
本文图片
季爷爷的肺部影像
季爷爷没办法走一级台阶 , 哪怕稍微运动一下就会呼吸急促 , 乐观的他喜欢看电影、旅游 , 但只能拖着制氧机出门 。 “家里一共有5台制氧机 , 有台式的 , 有便携式的 , 出门旅游时需要带着3个不同型号的制氧机 , 国庆前 , 他还带着制氧机去看了电影《夺冠》 , 但是电影没看完 , 制氧机电量却告急了 。 ”季爷爷的女儿说 。
本文图片
季爷爷出门旅游都要带着3个呼吸机
陈大伯的情况则更加危重 , 他需要70%以上的高浓度吸氧才能勉强维持呼吸 , 即使如此 , 他的氧饱和度指数还是时不时会掉到70%以下(正常人的氧饱和度在95%以上) 。
三场生命接力
在庆春—之江展开
前几天 , 浙大一院人体器官捐献与协调办公室陆续接到了两个来自兄弟医院的电话 。 “他们说院内有患者因意外事故脑死亡 , 患者家属有意愿进行器官捐献 , 所以跟我们进行联系 。 ” 器官捐献与协调办公室主任吴晓梁说 , 经过协调 , 两名患者被转运至浙大一院之江院区 。
“他生前就是个热心肠的人 , 很喜欢帮助别人 , 以前一起看电视时 , 看到有人离去后捐献器官 , 他念叨过自己也愿意这么做 。 ”“他还这么年轻就离开了 , 我们也很希望他的一部分能继续留在这个世界上 , 我们觉得这也是生命的一种延续 。 ”两位捐献大爱的患者家属说 。
经配型成功 , 10月14日 , 三场生命接力在浙大一院庆春——之江院区展开 , 陈大伯和季爷爷接受单肺移植手术 , 小唐接受双肺移植手术 。
7点 , 庆春院区的肺移植科病房、手术室、麻醉科、体外循环相关医护人员开始进行术前准备;
8点 , 陈大伯和季爷爷被推入庆春院区的手术室 , 由肺移植科主任韩威力主任医师主刀 , 两台单肺移植手术接连开始;
9点 , 肺移植科方程医师和郑楚天医师走进之江院区手术室 , 进行取肺相关术前准备;
10点 , 其中一位捐献大爱的患者被推入手术室 , 无影灯下 , 所有医护人员向患者鞠躬默哀;
本文图片
10点40分 , 取肺手术完成 , 生命接力进入最紧张的倒计时阶段 。 方程医师和郑楚天医师小心翼翼地将灌注液注入肺脏 。 在接下来的数小时内 , 这种特制的液体将尽可能保证人体器官的完好 , 几分钟后 , 肺脏被装进恒温转运箱;
11点15分 , 转运车载着宝贵的肺脏 , 一路疾驰至庆春院区;
本文图片
12点 , 供肺到达庆春院区手术室 , 手术医师随即开始进行双肺分离、血管修整、匹配等;
14点 , 陈大伯肺移植手术完成;
15点 , 季爷爷肺移植手术完成;
本文图片
16点 , 小唐被推进庆春院区的手术室;
19点 , 第二位患者捐献的肺脏被火速从之江院区手术室运送至庆春院区手术室;
10月15日凌晨3点 , 小唐的双肺移植手术完成 。
从早上8点到第二天凌晨3点 , 三场马不停蹄的生命接力 , 总耗时近20个小时 , 浙大一院肺移植科专家团队全力以赴 , 与死神赛跑 , 再次创造了生命的奇迹 。
强大的综合实力
一次次为这样的生命接力护航
“随着大家对肺移植的认识越来越深 , 我们每年进行的肺移植手术不断增加 , 但是像这样一天内独立进行三台肺移植手术 , 其中有一台还是高难度的双肺移植手术 , 这还是第一次 。 ”结束了大强度的手术后 , 韩威力主任脸上有掩盖不去的疲惫 , 但更多的顺利为患者成功换肺的喜悦 , “手术虽然非常艰难 , 像小唐 , 他胸腔非常小 , 而陈大伯 , 还有多种并发病 , 但总体很顺利 , 能为终末期肺病患者带去生的希望 , 提高他们的生活质量 , 我们义不容辞 。 ”
韩威力主任介绍 , 肺移植都是急诊手术 , 一旦有捐献 , 就必须马上争分夺秒地启动 , 因为供肺的缺血时间越短、越快被植入患者体内 , 手术的成功率就越高 。 这次一天内密集进行三场肺移植手术 , 刷新了浙江省的肺移植记录 , 浙大一院的肺移植团队再次经受住了考验 。
成立于2016年6月1日的浙大一院肺移植科 , 是浙江省内唯一的终末期肺病专业诊治中心 , 也是目前浙江省唯一能独立开展肺移植的专科 , 肺移植年手术量保持全国前例 。
2019年 , 浙大一院全年移植手术成功率100% , 患者围术期3个月存活率100% , 其中一例双肺移植术后15天即康复出院 , 创全国肺移植后最快康复出院记录 。
“我们能取得这样的成绩 , 得益于浙大一院强大的综合实力 。 ”韩威力主任说 , “肺移植手术成功只是其中的一步 , 更需要术前、术后的多学科密切协作 , 需要科室间的无缝衔接 , 需要医护间的同心戮力来共同努力 , 浙大一院有近30年的器官移植历史 , 已形成了一套完善的流程、积累了丰富的经验 , 从而为每一位移植患者保驾护航 。 ”
这次接受肺移植手术的陈大伯 , 除患有肺脏疾病之外 , 还有严重的冠状动脉狭窄症状 , 同时还出现了消化道出血情况 , 需要在术前对这些病症进行全面排查 。 但此时陈大伯肺功能已严重受损 , 在检查时可能会随时出现呼吸衰竭、心脏骤停的情况 , 风险极大 。 浙大一院强大的综合实力在此时发挥了巨大的作用 , 心内科团队为陈大伯进行了冠脉造影术、消化内科团队为陈大伯进行了床边胃镜检查 , 每一步检查都是险象环生 , 在高超的各专科技术保障下 , 陈大伯才能顺利进行手术 。
目前 , 三位患者均在ICU里接受密切观察 , 生命体征平稳 。
【手术|再创生命奇迹!一天三台高难度肺移植手术,刷新浙江肺移植纪录】本文为浙大一院原创
推荐阅读
- 猜成语|看图猜成语:稍微转一转,生命更精彩!
- 黄峥|炸裂!拼多多董事长黄峥辞任,携 4500 亿身家转行生命科学研究!
- 生命起源|电闪雷击在生命起源中发挥重要作用
- 微创手术|女大学生双手“挥汗如雨” 微创手术20分钟搞定顽疾
- 比尔·奈伊|死后的生命或许并不存在?专家声称他有压倒性的证据证明没有来世
- 近视手术|近视800度如何选择近视手术方式?其实不难!
- 医生|治疗过程很痛苦,父亲甚至咒骂我们给他做手术
- 脊髓损伤|脊髓电刺激手术治疗脊髓损伤瘫痪
- 肛瘘|肛瘘患者:“不想治了,我真的太痛了!”肛瘘手术,到底有多痛?
- 血管|陆清声教授:血管腔内介入手术机器人的特点和未来发展方向
