识别|肺部 CT 秒杀:快速识别各类影像
掌握 CT 影像之间的差别 , 就能快速鉴别不同的病原菌感染 , 对疾病的诊疗有很大的帮助 。 但是影像鉴别 , 也是难点 。
小测试:以下肺部 CT 的影像 , 你能识别出几个?
(答案在文末)
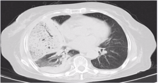
第一题:如下图所示 , 病变表现为肺实质炎症 , 贴近脏层胸膜或者叶间裂 , 有支气管充气征 。

文章图片
第二题:如下图所示 , 病变表现为肺实质病变 , 伴有蜂窝状改变 。

文章图片
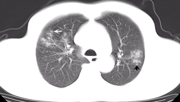
第三题:如下图所示 , 病变表现为双肺多发斑片、磨玻璃影 。 可见小叶中心结节、树芽征 。

文章图片
第四题:如下图所示 , 病变表现为右下肺云雾样浸润影 。

文章图片
第五题:如下图所示 , 病变表现为大小不等的肺结节 , 结节周围有晕征 , 结节内有空洞 。

文章图片
答案来啦!
第一题答案: 肺炎链球菌肺炎 , 通常也被称为大叶性肺炎 。
第二题答案: 肺炎克雷伯菌肺炎 , 痰液粘稠 , 有蜂窝状改变 。
【识别|肺部 CT 秒杀:快速识别各类影像】第三题答案: 金黄色葡萄球菌肺炎 , 常表现为小叶性肺炎 。
第四题答案: 支原体肺炎 , 天气温暖时易发病 , 通常支气管受累 。
第五题答案: 侵袭性肺曲霉病 , 曲霉侵犯血管后出血会造成晕征 。
以上 5 张影像 , 每张 20 分 , 共 100 分 。 你能得几分?
小编才得了 40 分!掩面哭泣中 , 准备立志学习了!
丁香公开课 肺部 CT 免费直播来啦!人气讲师张嵩 , 在线逐一讲解各类感染影像特征!学完轻松秒杀典型征象!
肺炎链球菌、肺炎克雷伯菌、金黄色葡萄球菌、曲霉、支原体、衣原体、病毒感染等常见感染征象讲解 , 大量病例片带你快速分辨肺部感染!
山东省立医院呼吸科副主任医师张嵩 ,45 分钟精彩讲解 , 20 分钟在线答疑 , 手把手教你看肺部 CT!直播间还能抽奖送张嵩老师实体书《肺部细菌感染临床影像解析》!
9 月 10 日(周四)晚上 19:30 , 丁香公开课张嵩老师直播间 , 不见不散!
扫码免费报名!
内容策划:小懒不笨
题图来源:丁香公开课设计
推荐阅读
- 肺部|长期抽烟的人,点烟前牢记几点,或许不用戒烟,肺部也会舒服点!
- 肺部|肺不好,会出现“1粗、2痛、3多”,占一个,也最好去查肺CT
- 布法罗大学|新工具可以通过眼睛里的微小反射来识别出深度伪造照片
- 糖尿病|糖尿病早期如何识别?从这3个细节出发,可发现糖尿病的蛛丝马迹
- 心绞痛|王吉云大夫:一个故事说清如何识别心绞痛!
- 茄子最好吃的做法,这样炒省油不油腻,秒杀红烧茄子,做法还简单
- 肺部|哪些肺部影像报告不必太在意?看门诊医生看一眼就会打发你
- 它外酥内软,一上桌就一抢而空,秒杀一切甜品,做法简单易学!
- 面部识别技术|无处不在的面部识别技术,究竟“恐怖”在哪里?
- 肺部|体内有癌,皮肤告知?出现“2痒2黑”,多半是肺部出“问题”了
