腰椎间盘突出|干货:椎间盘突出的程度及具体辨析
椎间盘突出是如今大家很常听说的一类疾病 , 比如腰椎间盘突出 , 颈椎间盘突出等等 , 椎间盘突出会时刻用疼痛来提醒你它的存在 , 腰酸背痛 , 下肢放射痛 , 麻木无力等等 , 严重甚至会丧失运动能力 。
本文图片
其中椎间盘突出又分为椎间盘膨出、椎间盘突出、椎间盘脱出、椎间盘游离四个阶段 , 不同的阶段对应的疼痛程度 , 治疗难度 , 康复方法各不相同 。
根据椎间盘突出的位置又分为中央型、侧方型、旁中央型 , 所对应的症状也是不一样的 。
简单介绍椎间盘突出
椎间盘
首先还是要简单介绍下椎间盘 , 我们的脊椎椎体之间有一部分用于活动脊柱的软组织结构 , 就是椎间盘 。
本文图片
椎间盘增加了我们脊柱的灵活度 , 可以让我们完成曲度较大的动作例如弯腰 , 仰背等 , 可也带来了难题——椎间盘突出 。
本文图片
椎间盘由外围的纤维环和中心的髓核组成 。 髓核是是富有弹性的乳白色半透明胶状体 , 位于两软骨板与纤维环之间 。 由纵横交错的纤维网状结构即软骨细胞和蛋白多糖黏液样基质构成的弹性胶冻物质 。
本文图片
当髓核受到外力时 , 会将力量分散到纤维环 , 减少力量对髓核的破坏 , 平均每年椎间盘受力大约400到500万次 。
本文图片
然而 , 椎间盘的寿命并不长 , 椎间盘突出的多发年龄在30到40岁 。 由于外力或退行性病变的原因 , 椎间盘逐渐突出 。
椎间盘突出
当脊椎中的软组织结构在外力或者退行性病变的作用下(尤其是髓核)椎间盘的纤维环破裂 , 髓核组织从破裂之处突出于椎管内 。 造成了椎间盘的突出 。
本文图片
单纯的椎间盘突出并不对我们的生活造成影响 , 椎间盘突出会使得脊柱的灵活性变差 , 椎间盘突出的手术治疗也是将髓核取出 , 固定椎体使其不能活动 。 人体的椎体节数较多 , 单一的椎间盘无法活动 , 并不能很大程度的影响脊柱的灵活性 。
本文图片
椎间盘手术钉
椎间盘突出最严重的问题的是露出的髓核压迫脊髓和脊神经 。
本文图片
根据椎间盘突出的程度 , 又分为椎间盘膨出、突出、脱出、游离四个状态 。
椎间盘突出的四种状态
椎间盘膨出(Disc bulge)
纤维环松弛但完整 , 髓核皱缩 , 表现为纤维环均匀超出椎体终板边缘 。
本文图片
本文图片
椎间盘膨出的影像学定义为突出部分>椎间盘边缘的25% , 或者突出的两边与髓核的中心的夹角>90°
临床表现
一般无临床症状 , 有时可因椎间隙狭窄 , 椎节不稳 , 关节突继发性改变 , 出现反覆腰痛 , 很少出现根性症状 。 如同时合并发育性椎管狭窄 , 则表现为椎管狭窄症 , 应行椎管减压 。
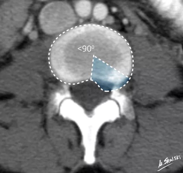
椎间盘突出(Disc protrusion)
为髓核突入纤维环内但后纵韧带未破裂 , 表现为椎间盘局限性向椎管内突出 。
本文图片
本文图片
椎间盘突出的影像学定义为突出部分小于椎间盘边缘的25% , 并且基底部>突出部分的直径;突出椎间盘的两边与髓核的中心的夹角<90°
临床表现
可无症状 , 部分患者出现典型神经根性症状、体征 。 此型通过牵引、卧床、病灶注射等保守方法可缓解 , 但由于破裂的纤维环癒合能力较差 , 复发率较高 。
椎间盘脱出(Disc extrusion)
纤维环、后纵韧带完全破裂 , 髓核突入椎管内 。
本文图片
本文图片
椎间盘突出的影像学定义为突出椎间盘的基底部(A)<突出组织的直径(B)
临床表现
腰椎间盘突出的病理分型多有明显症状和体征 , 脱出多难自愈 , 保守治疗效果相对较差 , 大多需要微创介入或手术治疗 。
椎间盘游离(Disc Sequestration)
突出髓核与相应椎间盘不连接 , 可游离到椎管内病变间盘的上或下节段、椎间孔等 。
本文图片
椎间盘游离 , 是指髓核完全脱出与椎间盘不连接 , 游离于椎管内
临床表现
持续性神经根症状或椎管狭窄症状 , 少数可出现马尾神经综合征(会阴失去控制) , 此型常需手术治疗 。 这是腰椎间盘突出的病理分型之一 。
本文图片
椎间盘突出的三种形态
(1)中央型
以颈髓受压为主要表现 。 以前认为此型突出较少见 , 随着诊断技术的发展 , 特别是MRI技术问世之后 , 中央型椎间盘突出症已不再少见 。
因脊髓受压 , 可出现四肢不完全性或完全性瘫痪以及大小便异常;与此同时 , 四肢腱反射呈现亢进 。 病理反射征可显示阳性 , 并按突出平面不同而出现感觉减退或消失 。
本文图片
(2)侧方型
以根性痛为主 。 主要症状为疼痛、活动受限、一侧上肢有疼痛和麻木感 。 在发作间歇期 , 患者可以毫无症状 。 查体时发现患处常处于僵直位 , 活动受限 。
可有压痛 , 疼痛向四肢放射 。 牵拉患侧上肢可引起疼痛 。 感觉障碍因椎间盘突出平面不同而表现各异 。
本文图片
(3)旁中央型
除有侧方型症状和体征外 , 尚有不同程度单侧脊髓受压症状 , 即Brown-Sequard综合征 。 常因发生剧烈的根性疼痛而掩盖了脊髓压迫症 。
本文图片
椎间盘突出的临床治疗
休息
根据病情轻重可选择绝对卧床休息、一般休息或限制活动量等 。 前者主要用于急性期患者 , 或是病情突然加剧者 。
药物治疗
包括口服镇静药、外敷镇痛消炎药膏、硫酸氨基葡萄糖和硫酸软骨素等软骨保护剂、理疗、活血化淤类药物及其他有效的治疗措施等 , 主要用于消除炎症 , 减轻疼痛 。
推拿按摩
可缓解肌肉痉挛 , 减轻椎间盘内压力 。 但注意暴力推拿按摩可以导致病情加重 。
牵引治疗
可以增加椎间隙宽度 , 减少椎间盘内压 , 椎间盘突出部分回纳 , 减轻对神经根的刺激和压迫 , 需要在专业医生指导下进行 。
手术治疗
对反复发作 , 经非手术治疗无效 , 或是出现脊髓压迫症状者 , 应及早行手术治疗 。 目前以路突出髓核摘除、人工椎间盘置换为主 。
来源:脊椎健康联盟
【腰椎间盘突出|干货:椎间盘突出的程度及具体辨析】【版权声明】本平台属公益学习平台 , 转载系出于传递更多学习信息之目的 , 且已标明作者和出处 , 如不希望被传播的老师可与我们联系删除
推荐阅读
- 初中生物|干货|初中生物:不得不记的50个核心概念,初一初二赶紧收藏!
- 腰椎间盘突出症|经常腰痛,可能与哪些疾病有关?别再拖下去了
- 腰椎|灵素馆干货分享,如何准确定位腰椎?
- 肾脏|肾功能障碍,3种异常表现尤为突出,别拖,小心尿毒症找上门
- 腰椎间盘突出|腰椎间盘突出、膨出、脱出傻傻分不清?一次给你解答清楚!
- 这种”干货“建议多存一些,味道好,营养足,烹饪还简单!
- 几种常见海鲜的吃法,满满的都是干货,海鲜好吃的窍门都在这里
- 怎么判断油温几成热?教你正确的方法和技巧,全是干货
- 腰椎间盘突出症|当腰椎间盘突出症患者出现腿麻症状时,就麻烦了
- 满满的干货,焦溜肥肠如何做好吃?
