化合物|PNAS:腰果壳化合物具有修复受损神经的潜力!
本文转载自“中国生物技术网”微信公众号 。
髓鞘是包裹在神经细胞轴突外面的一层膜 , 它的生理功能是保护神经 , 帮助快速传播神经冲动并具有绝缘作用 。 许多神经系统疾病都是源于髓鞘的破坏 , 如多发硬化症(MS) 。 在MS早期 , 大脑还有一定的再生新髓鞘的能力 , 但随着疾病发展 , 这种天然的修复过程就被阻断 , 发生髓鞘脱失(脱髓鞘) , 然后会导致一系列的神经系统功能障碍 。 脱髓鞘是多发性硬化症和中枢神经系统相关疾病的标志 。
北京时间8月18日 , 发表在《美国国家科学院院刊(PNAS)》上的一项新研究中 , 来自美国范德比尔特大学医学中心的一个研究团队报告称 , 腰果壳(我们买的腰果通常不带壳)中发现的一种化合物可以促进髓鞘的修复 。
本文图片
https://doi.org/10.1073/pnas.2006566117
研究通讯作者、 范特比尔特大学神经学教授和神经免疫学系主任Subramaniam Sriram说:“我们认为这是一项令人兴奋的发现 , 它为寻找治疗多发性硬化症和其他脱髓鞘疾病的方法提供了新的途径 。 ”
此前由Sriram领导的研究表明 , 白介素33(IL-33)在中枢神经系统损伤的实验模型中具有已知的神经修复作用 。 研究人员认为诱导IL-33的化合物可能会促进再髓鞘化 。
在这项新研究中 , 该团队发现腰果壳中的化合物腰果酸可以作为一种候选分子 , 用作促进髓鞘再生的治疗剂 。
在实验中 , 研究人员发现腰果酸能够抑制一种参与基因表达的酶 , 即组蛋白乙酰转移酶(HAT) , 而且他们发现 , 任何抑制HAT的物质都可以诱导IL-33的产生 。
研究人员还发现 , 向培养的少突胶质细胞前体细胞(OPC)中添加腰果酸能够迅速增加髓鞘基因和髓鞘蛋白的表达 , 表明腰果酸可以直接诱导参与髓鞘形成的基因 。
本文图片
图片来源:PNAS
该研究还报告了一系列新的发现 , 指出了腰果酸对脱髓鞘疾病的潜在治疗用途:
在体外 , 将该化合物添加到负责髓鞘再生的OPC的小鼠细胞中 , 刺激了IL-33的诱导 , 并迅速提高了髓鞘基因和蛋白的表达 , 包括髓鞘碱性蛋白(MBP)的剂量依赖性增加(见下图) 。
本文图片
图片来源:PNAS
在两种脱髓鞘动物模型中 , 该化合物治疗增加了IL-33和OPC的水平 , 并导致动物麻痹减少;
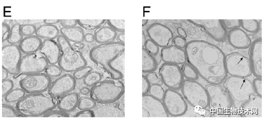
在用该化合物治疗的脱髓鞘动物模型中 , 解剖和电镜显示髓鞘形成呈剂量依赖性增加(见下图) 。
本文图片
图片来源:PNAS
Sriram说:“这些惊人的实验结果显然可以推动我们对腰果酸治疗脱髓鞘疾病的进一步研究 。 ”
End
医药
免疫疗法 | 生物仿制药 | 疫苗 | 耐药性 | 药物靶点 | 健康生活 | 药企新闻 | 药物盘点 | 制药技术 | 药物副作用
基础研究/转化医学
白血病 | 肺癌 | 胃癌 | 结直肠癌 | 肝癌 | 乳腺癌 | 胰腺癌 | 心血管疾病 | 神经退行性疾病 | 肠道微生物
医疗器械/生物技术
体外诊断 | 医疗器械 | 生物纳米 | 3D打印 | 基因检测 | 单细胞测序 | 基因编辑 | 辅助生殖 | 人工智能 | 精准医学
政策
抗癌药 | 4+7带量采购 | 耗材 | 备案制 | 注册人制度 | 健康中国 | 新版基药目录 | AI医疗器械 | 远程医疗 | 同股不同权
市场/资本
【化合物|PNAS:腰果壳化合物具有修复受损神经的潜力!】IPO | 融资 | 合作 | 基金 | 港交所 | 科创板 | 创业板 | 研发投入 | 收购 | 市场&消费
推荐阅读
- 美食推荐:番茄鸡,糖醋排骨,青椒酿肉,皮蛋腰花的做法
- 美食推荐:土豆炒芹菜,菠菜拌猪肝,西红柿豆腐,老干妈炒腰花
- 腰椎间盘突出症|经常腰痛,可能与哪些疾病有关?别再拖下去了
- 美食推荐酸辣白菜、蘑菇杂炒、老干妈炒腰花、香菇笋干茶碗蒸!
- 腰椎|灵素馆干货分享,如何准确定位腰椎?
- 美食推荐:西红柿烧茄子,清炒牛肉,爆炒肉皮,肝腰合炒的做法
- 家味美食:香辣花蛤,茄子豆角,木耳炒腰花,蒜台回锅肉的做法
- 腰椎间盘突出|腰椎间盘突出、膨出、脱出傻傻分不清?一次给你解答清楚!
- 减肥的理论基础之四:碳水化合物和脂肪是哪里来的?
- 比节食瘦身,便秘消失,腹部不鼓,腰细腿细,皮肤变得娇嫩
