|男子十年来频频“被伤害”,竟是顽固性癫痫惹祸
楚天都市报7月30日讯(采访人员廖仕祺 通讯员周珊)“前一秒好好的,突然抓起一打点燃的烟就往口里塞,拦都拦不住!烫得满嘴泡……”回忆最近一次癫痫发作的情景,郑先生一家印象深刻,而类似意外已经重复上演了十年 。好在医生追根溯源,将频频“作恶”的癫痫灶“一窝端”,才让郑先生生活得以回归正轨 。
文章图片
术前术后
48岁的郑先生家住孝感农村,十年前曾因四肢抽搐、口吐白沫、两眼上翻确诊为癫痫,因初期发作间隔长,且每次1、2分钟便能迅速缓解,他并没有坚持服药和复查 。直到最近两年,外出务农时突然倒在农田被雨淋,与人闲话家常时突然倒地抽搐等种种未知的意外频发,被街坊邻里事后提醒,郑先生和家人才警觉 。然而辗转求医,抗癫痫药物换了七、八种却丝毫不见起色 。
“都说癫痫治不好,怕他外出受伤,就在家歇着,可一样不得安生!一发病就抽,弄湿被单,锅碗瓢盆、家具砸碎毁坏不少,水烧干,还差点引发过火灾……”听家人谈起自己的病症,发作时全然无知觉的郑先生无辜又无奈 。特别最近一个月,每天要发作3、4次,最长持续十几分钟,甚至还会出现“自残”行为,搞得遍体鳞伤,一家人这才来到武汉脑科医院·长江航运总医院功能神经外科求诊 。
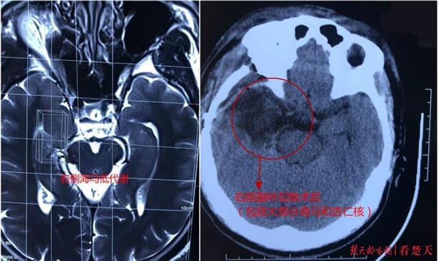
检查排除了脑肿瘤、脑血管病、脑外伤等继发性病因后,患者右侧大脑海马代谢减低的结果引起了接诊专家王焕明教授的注意,凭借丰富的顽固性癫痫诊疗经验,进一步完善检查,郑先生被确诊为右侧伴海马硬化颞叶内侧癫痫 。王焕明解释,因患者右侧海马组织先天发育不良,随着年龄增长逐渐产生海马硬化及缩小,引发代谢异常,便产生了波及右侧颞叶内侧及颞极区脑部的异常放电,出现四肢抽搐、发作时失忆等典型颞叶癫痫症状 。
文章图片
考虑郑先生病程较长,症状较重,多种抗癫痫药物已无法控制,王焕明及时为他进行了右前颞叶切除手术 。全麻后,在手术显微镜的辅助及皮层脑电图的监测下,王焕明带领陈俊、陈阳和王杰等手术医师,经右额颞扩大冀点入路,小心精准定位右侧颞叶异常放电区域,顺利全切了右侧前颞叶和大部分海马及杏仁核等病灶 。术后经半月恢复至今,郑先生的癫痫再未发作,即将痊愈出院 。
【|男子十年来频频“被伤害”,竟是顽固性癫痫惹祸】王焕明提醒,日常若反复出现肢体抽搐、口吐白沫、两眼上翻等症状,同时出现近期及远期记忆力明显下降,应及时就医排除先天性海马发育异常致癫病的可能 。他指出,因海马硬化、脑皮层发育不良等先天性因素造成的顽固性癫痫,一般在发病早期,发作间隔较长、频次较低时,可严格遵医嘱进行药物保守治疗 。但像患者这样每天均有发作且时限较长,已经严重影响正常生活、身心时,则应积极配合神经外科医生进行术前评估及手术治疗 。
推荐阅读
- 警告!|美国死亡谷气温飙升至54.4℃或打破百年来世界最高温纪录
- 印度_社会|母亲拒绝给4.6元买毒品,男子竟塞住她嘴巴用铁棍将其活活打死
- |河南省联合拼多多启动十八地市直播:首站郑州,副市长直播荐好货
- 终于|十四年后,那句“不是你撞的为什么要扶”, 终于酿成了恶果
- 加拿大|男子中525万元,彩票公司却拒绝兑奖
- 补水眼霜哪个牌子好用 十大口碑好的补水保湿眼霜推荐
- 氨基酸洗面奶哪个牌子好 真正好用的十大氨基酸洗面奶排行
- 男子|男子醉驾撞路灯杆死亡 家属起诉:“没路灯就不会死”
- 今年环太军演缩水超过一半|今年环太军演缩水超过一半,仅有十国参加,极其惨淡!
- 三十功名土与尘|最让人难过的词汇
