畸形|胃重复畸形CT诊断与鉴别诊断
课件由东莞市中西医结合医院 放射科 杨万就老师提供!

文章图片

文章图片

文章图片

文章图片

文章图片

文章图片

文章图片

文章图片

文章图片

文章图片

文章图片

文章图片

文章图片
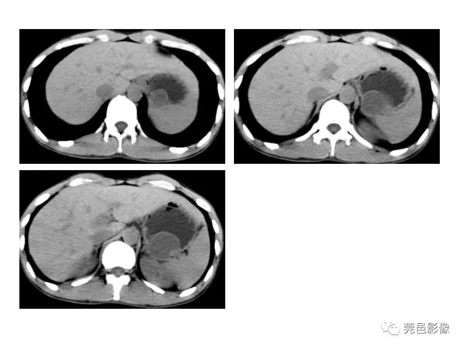
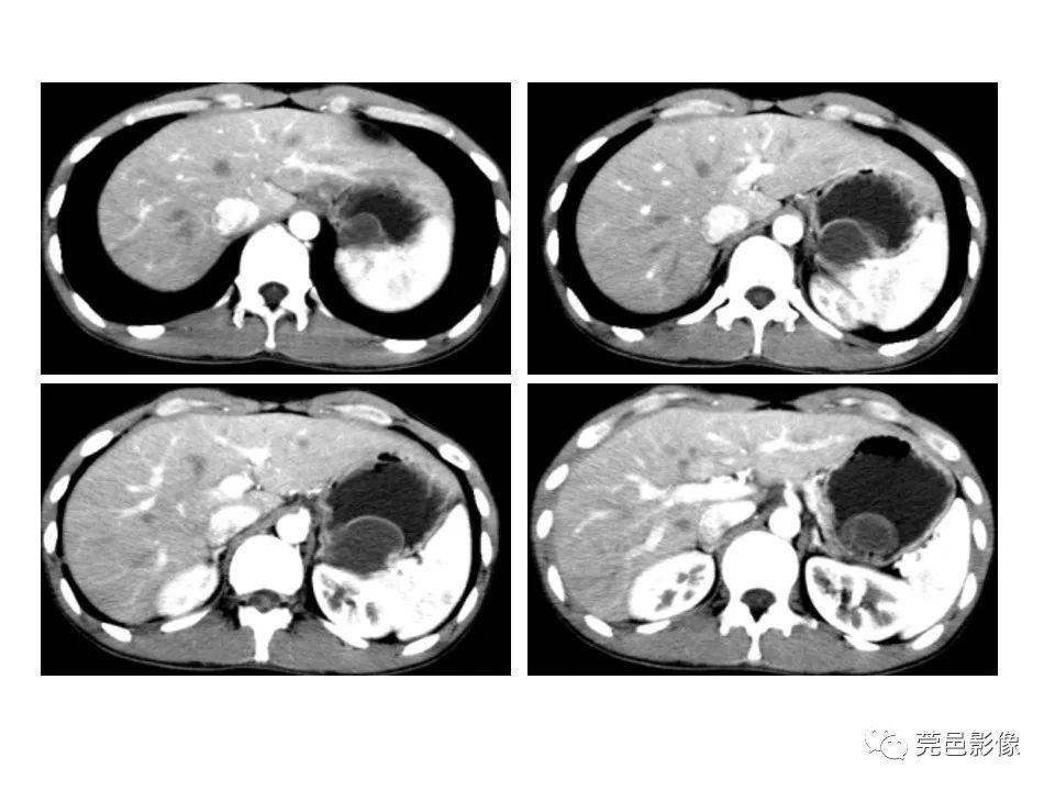
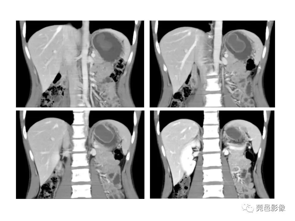
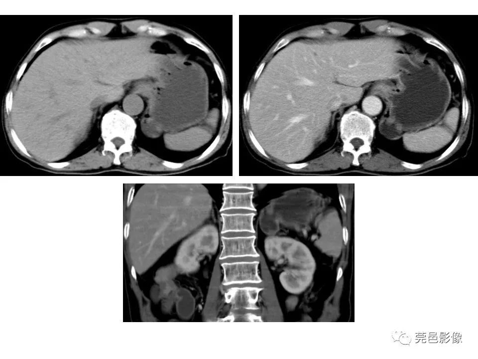
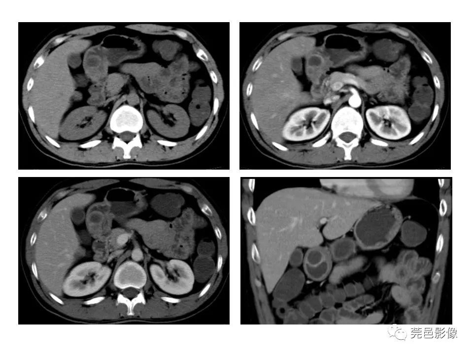
典型表现:“内衬黏膜,外绕平滑肌”;胃壁五层结构内的低回声或无回声病
灶,多位于粘膜下层,与正常胃壁共有平滑肌层或浆膜层;内衬黏膜产生特征性的高回声,相邻的外绕平滑肌层则为低回声,从而构成胃重复囊壁的“双层征” (50%);有时超声下可见重复畸形囊壁的蠕动收缩改变(良好的平滑肌),该征象有助于同肠系膜囊肿、卵巢囊肿等腹腔囊性肿块鉴别;少数与胃腔相通的管状重复畸形,EUS下可见其收缩蠕动,是胃重复畸形的佐证

文章图片

文章图片

文章图片

文章图片

文章图片

文章图片

文章图片

文章图片

文章图片
又称迷走胰腺或副胰。拥有独立的血液供应和神经支配;一种先天性畸形,机制尚不十分清楚。可能是胚胎时期胰腺始基与原肠粘连或穿透原肠壁,并随原肠纵向生长及旋转而被异常移植。或者由异常部位的内胚层细胞异向分化和化生而来;异位胰腺最常发生部位是十二指肠,其次是胃和空肠;症状的产生主要与异位胰腺的解剖位置和并发症有关,与病灶的功能状况和病变发展程度也有一定的关系;正常部位胰腺的任何疾病均可发生于异位胰腺,如胰腺炎、囊肿、腺瘤或腺癌等;消化道内镜为诊断的首选方法。

文章图片

文章图片
【 畸形|胃重复畸形CT诊断与鉴别诊断】
文章图片

文章图片

文章图片

文章图片

文章图片

文章图片

文章图片

文章图片

文章图片

文章图片

文章图片

文章图片

文章图片

文章图片

文章图片

文章图片

文章图片

文章图片

文章图片
【来源:健康界】
声明:转载此文是出于传递更多信息之目的。若有来源标注错误或侵犯了您的合法权益,请作者持权属证明与本网联系,我们将及时更正、删除,谢谢。 邮箱地址:newmedia@xxcb.cn
推荐阅读
- 长江清漂员:半天装近5吨垃圾 动作每天重复上千次
- 清漂|长江清漂员:半天装近5吨垃圾 动作每天重复上千次
- 肝火旺和胃火旺应该如何区分?
- 穿搭分享指南|伊能静穿“露胃装”录综艺,谁注意秦昊手放的位置?这也太腻歪了
- 酷酷的过去|立秋后,用它包饺子,鲜美养胃又多汁,要抓紧吃,过了秋天就少了
- 娱乐的快递小哥|天太热,就馋这道菜,蒸一蒸上桌,软糯鲜美,开胃又下饭
- 展眉一笑|当长大之后,发现不止应该伺候好自己的胃,更应该伺候好家里的祖宗!
- 关子君的美食世界|立秋后,别老吃鸡蛋,试试新做法,滑嫩醇香又开胃,多吃两碗饭
- 中新经纬|买食用油要小心!这5批次塑化剂过量,长期摄入或致胎儿畸形
- 美柚|美柚:婴幼儿肠胃问题7月相关搜索量环比增长45%
