山谷热|美国山谷热频发已致中国公民3病2死,中驻美使馆发紧急提醒!
本文图片
美国最近恐怕是要在全球流行病排行榜上“毒领风骚”了 。
这不 , 新冠没走 , 别的病又来……
近日 , 中国驻洛杉矶总领馆连续接到3起中国公民患上“山谷热”疾病的报告 。
患病的三人均为凤凰城地区的年轻人 , 其中2人已经病故 , 1人仍在接受治疗 。
中国驻洛杉矶总领馆提醒领区内 , 特别是亚利桑那州、南加州、新墨西哥州地区中国公民主动了解、积极预防、及时治疗山谷热 。
本文图片
图源:中国驻洛杉矶总领事馆
许多人可能很纳闷:这又是种什么新型病毒?
美国疾病控制与预防中心(CDC)官网上关于“山谷热”的专题中写到:
山谷热学名球孢子菌病 , 英文:Coccidioidomycosis , 俗称Valley Fever , 是由一种真菌:球孢子菌引起的疾病 。
它并不是一种病毒或者细菌性感染疾病 。
由于人畜活动或天气原因等 , 当弥漫在空气中的球孢子菌被人吸入肺部后 , 就可能发展为山谷热 。
本文图片
呼吸道吸入球孢子菌是最常见的感染渠道 , 在极个别情况下 , 也有通过器官移植、伤口感染、从带菌的物体上感染的情况 。
哪些地区的居民更容易被感染?
引起山谷热的这种球孢子菌 , 目前已知在美国西南部(亚利桑那州、内华达州、新墨西哥州、得克萨斯和犹他州)、墨西哥部分地区、中南美洲部分地区的土壤中存活 。
球孢子菌在雨后的土壤中最易繁殖 , 并在炎热、干燥的气候条件下会扩散到空气中 。
本文图片
加州有时尘土飞扬的环境给球孢子菌提供了传播的机会 。
图源:Shutterstock
全美每年约有1万起山谷热病例 , 其中的大部分在亚利桑那州和加州 。
最主要的原因是这两个州常年炎热且干燥 , 这样的气象条件和山谷热患者数量密切相关 。
这种或可致命的疾病病例在过去十年里增加了三倍 , 以至于美国CDC把它称为“无声的流行病” 。
本文图片
图源:CDC
2001年 , 加州报告的病例还不到1500例 , 到2017年 , 这一数字已超过14364例 , 2011年更曾一度飙升至2万多例 。
本文图片
科学家预计到21世纪末的山谷热病例地图
图源:UCI
怎么判断自己是否感染?
虽然感染山谷热的多数人没有症状 , 但这种真菌会在其他人身上引起广泛的问题 , 尤其是那些免疫系统较弱的人 。
一些人会在吸入球孢子菌后1-3周出现与感冒相似的山谷热症状 , 而大多会在几周或数月内恢复 。
最常见的症状是类似流感的症状 , 如发烧、咳嗽、头痛、皮疹、肌肉疼痛或关节疼痛 。
在较严重的病例中 , 山谷热可导致皮肤病变、慢性肺炎、脑膜炎和骨或关节感染 , 其中任何一种都可能致命 。
本文图片
个别情况下 , 山谷热的症状可能表现为轻微、周期性发作的乏力、干咳和低烧 , 这种情况很容易被误认为是因为生活压力大而导致的抵抗力下降 ,
但是实际上是致病球孢子菌不断深入入侵体内器官的表现 。
当这种入侵持续几个月之后 , 最终会在短时间内 , 引发剧烈的感染性休克和多器官快速衰竭 , 最终导致患者死亡 。
本文图片
图源:Verywell
什么样的人是高危人群?
任何人 , 无论长幼 , 都可能罹患山谷热 。
但60岁以上人员、免疫力下降者、孕妇、糖尿病患者、非洲裔和菲律宾裔等更易感染山谷热 。
山谷热如何预防?
很难预防 , 但CDC建议人们 , 特别是易感染人群 , 在上述高发地区应尽量避免长时间暴露在尘土环境中 , 并可采取以下常规措施防范:
避开建筑现场或挖掘现场等灰尘多的地点;如果无法避开 , 则要配戴N95口罩;
本文图片
在扬尘天气 , 应关闭门窗并留在室内;避免从事园艺、挖土等与尘土接触的活动;在室内使用空气过滤设备;用肥皂和水彻底清洁皮肤伤口;遵医嘱服用预防性抗真菌药物 。
现在有治疗方法吗?有没有疫苗?
山谷热目前没有疫苗 。
对许多人来说 , 山谷热的症状会在几个月内消失 , 不需要任何治疗 。
但这种病和新冠病毒肺炎的严重程度一样 , 可轻可重 。
对少数人来说 , 可以服用医院开具的抗真菌药物 , 以减轻症状或防止感染恶化 。 但这些抗真菌药物通常用于高风险发展为严重山谷热的患者 。
本文图片
目前没有治疗山谷热的非处方药 。 如果你患有山谷热 , 应该立即和医生联系 , 看自己是否需要治疗 。
患有严重肺部感染或感染已经扩散到身体其他部位的患者可能需要住院 , 治疗过程通常超过6个月 。
千万不要讳疾忌医 。 如果不加以治疗 , 山谷热发展成脑膜炎是致命的 , 因此这些病例需要终生的抗真菌治疗 。
幸运的是 , 山谷热只能通过直接接触真菌孢子传播 。
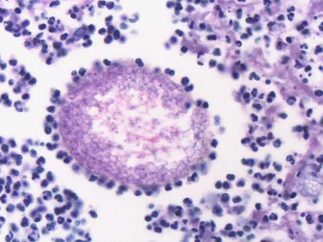
本文图片
显微镜下的山谷热球孢子菌
图源:维基百科
它不会人传人 , 所以出现症状的人不必担心会传染给朋友和家人 。
不幸的是 , 短时间吸入球孢子菌就有可能使人感染 。
正如美国CDC所说 , 这种真菌“只需呼吸一次”就会被感染 。
那么 , 为什么这种疾病历年来一直在增加?
美国CDC表示 , 一些科学家正在研究天气模式的变化和温度的升高 , 这可能是导致真菌孢子传播超出正常范围的原因 。
本文图片
降雨模式的改变也可能产生影响 , 长时间的干旱期使得更多的球孢子菌随着灰尘和风飘荡在空气中 。
但病例的增加也有可能仅仅是因为该地区人口增加了 。
另外 , 人类并不是唯一有患病风险的哺乳动物 。
猫和狗等宠物也会感染山谷热 , 所以在环境危险的情况下要密切关注你的宠物 。
新闻|故事|留学生
编辑|八旦目
【山谷热|美国山谷热频发已致中国公民3病2死,中驻美使馆发紧急提醒!】排版|八旦目
校对|八旦目
推荐阅读
- SUV|美国再拉黑38家华为子公司!升级打压华为获取商用芯片
- the|新冠肺炎成美国第三大致死原因 仅次于心脏病和癌症
- 警告!|美国死亡谷气温飙升至54.4℃或打破百年来世界最高温纪录
- 拜登|嘲笑拜登将在地下室接受民主党提名,特朗普本周要在全美国巡回表演抢镜头
- 梅拉尼娅·特朗普|想拉个小手怎么这么难?美国总统特朗普又被第一夫人拒绝了
- 热点|因小孩玩火引燃,407岁梨树被烧空心仍能结果,靠树皮吸收养分
- 热点|突发!特朗普所乘专机险与无人机相撞
- 热血汽车资讯|被埋没的轿跑,前置后驱,进口2.0T起步256马力,奔驰C追不上
- 青岛自驾游车友会|热死了,车子的空调怎么用?老司机:空调用不对,油耗高一倍
- 中超第5轮最差11人:国安上港让人失望,热内西奥毫无作为
