#光明网#女子吵架后突然心碎!医生:中年女性更易“心碎”
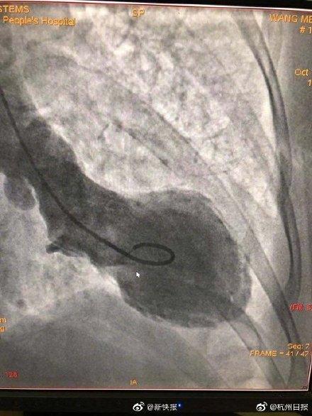
#光明网#女子吵架后突然心碎!医生:中年女性更易“心碎”。【女子吵架后突然心碎!医生:中年女性更易“心碎”】近日 , 杭州一名40多岁的女子因琐事与邻居大吵一架 , 双方势均力敌 , 但要强的女子认为没占上风就是吃亏 , 为此愤愤不平 , 气得发抖 。 不久后她突发持续胸痛胸闷 , 几个小时都不能缓解 , 家人忙将其送往医院急诊 , 最后被诊断为“心碎综合征” 。 医生表示 , 中年女性更容易“心碎” , 而年轻女性“心碎”或多因感情因素引起 。 (杭州日报)
#光明网#女子吵架后突然心碎!医生:中年女性更易“心碎”//联盟头条 http://toutiao.caoding.cn/
#光明网#女子吵架后突然心碎!医生:中年女性更易“心碎”。声明:转载此文是出于传递更多信息之目的 。 若有来源标注错误或侵犯了您的合法权益 , 请作者持权属证明与本网联系 , 我们将及时更正、删除 , 谢谢 。
推荐阅读
- 看看新闻Knews综合情侣马路上吵架结果双双被碾压 她还怀有身孕!
- 固原女子家中凌晨闯入不速之客,钱包里几十块钱竟看不上偷
- 早上发现窗台停了一只鸟,女子没在意直接去上班,下班一瞧泪目了
- 她是女子排球队的前队长,今穿粉紫色卫衣健身裤,圆润双腿很抢镜
- 刘娥的人生华丽逆转:从孤苦无依的弱女子到临朝称制的一代女主
- 女子在火车上吃包子,遭旁边男子嫌弃,随后女子的做法让人佩服
- 直播真的有那么赚钱吗:一女子主播几个月,提了一辆奥迪
- 扬子晚报女子网购玩弄"狸猫换太子" 买真退假诈骗近10万元
- 女子中710万大奖竟放弃285万,称自己不关心物质承诺要帮他人
- 科目三成功通过,签字时却说挂科,教练的解释令女子无法接受
