脑出血核磁信号演变非常复杂 , 信号高高低低变化多端 , 记起来让人头大 。 这种背景下 , 很多记忆口诀应运而生 , 然而知其然不知其所以然 , 临床实践起来常才发现 , 当初似乎只是背了个寂寞 。 实际上 , 如果弄清楚血肿的病理生理变化 , 再结合核磁成像的基本原理 , 真正将知识吃透内化为己用 , 记起来一点不难 。
作者:张庆奎(解放军总医院第一医学中心神经内科医学部 )
【脑出血|理解是最好的记忆——细说脑出血核磁信号演变】本文为作者授权医脉通发布 , 未经授权请勿转载 。
核磁成像的基础
核磁中的“核”指的是氢质子 , 氢质子是核磁成像的基础 , 没有氢质子就不能产生核磁信号 , 比如空气或骨皮质 , 在核磁的T1或T2像上均呈低信号 。 不同密度的氢质子产生不同强度的信号 , 除了质子密度之外 , 氢质子的T1和T2弛豫时间同样影响核磁信号 , 即长T1核磁图像呈低信号 , 短T1呈高信号;长T2呈高信号 , 短T2呈低信号 。 常说的某某加权成像 , 其中“加权”就是“重点突出”的意思 , T1加权成像突出T1长短的差别;T2加权成像突出T2长短的差别;质子密度加权成像突出氢质子含量的差别 。
质子密度对核磁信号的影响很好理解 , 那么有哪些因素影响T1和T2呢?
(1)T1长短的影响因素
物质自身因素(如图1)
简单说 , T1弛豫是氢质子的能量向周围物质释放的过程 , 物质的运动频率与氢质子“共振”频率(准确说叫拉莫频率)越接近 , 能量传递得就越快 , T1时间就越短 , T1像上信号就越亮(我们可以这样理解 , 一群人聚在一起 , 那种性格相近的人 , 才更容易交流) 。 例如脂肪 , 其运动频率与氢质子“共振”频率接近 , 能量传递就快 , 缩短T1 , 所以脂肪在T1像上为高信号 。 而自由水运动频率很高 , 明显高于氢质子的“共振”频率 , 能量传递慢 , T1弛豫就慢 , 也就是延长T1 , 所以自由水在T1像上是低信号 。
顺磁性物质的“造影剂增强”效应
所谓顺磁性物质就是含有未配对电子的物质 , 例如临床常用的核磁造影剂——钆喷替酸葡甲胺(Gd-DTPA) , 高度水溶性 , 水分子能够接近其顺磁性中心 , 于是水分子中的氢质子就与Gd-DTPA的未配对电子发生有效能量交换 , 从而缩短T1 , T1像呈高信号 。 同理 , 顺磁性的高铁血红蛋白可如造影剂一般缩短T1 , 使血肿在T1像上表现为高信号 。
不过并非所有顺磁性物质都可如此 , 当水分子不足以近距离接近顺磁性物质中心时 , 即该距离d>0.3纳米 , 氢质子与未配对电子无法进行有效能量传递 , T1弛豫不受影响 , 所以即使脱氧血红蛋白、含铁血黄素为顺磁性 , 血肿T1像上也不表现为高信号 。
(2)T2长短的影响因素
自身因素(如图1)
这里就记住 , 物质分子越小、运动越快 , T2弛豫越慢 , T2也就越长 , T2像上信号越亮 , 所以自由水在T2像上是高信号 。
磁场的不均一性
T2弛豫是氢质子去相位的过程 , 是由“相同”走向“不同”的过程 , 磁场越不均一 , 去相位越快 , T2时间越短 , T2像信号就越低 , 在SWI像低信号区比T2像表现更明显 , 这也称为局部磁敏感效应 。 打个比方 , 在12点时 , 钟表的时针、分针和秒针重叠在一起 , 此时为同相位 , 接下来因为三个指针速度不同 , 很快指针分散开来 , 这种指针慢慢散开的过程就叫去相位 , 可见三个指针之间速度差异越大 , 去相位越快 。 因为氢质子旋转的速度由磁场场强决定 , 所以场强差异越大 , 代表速度差异越大 , 于是去相位也就越快 , T2也越短 。 该机制对于理解亚急性晚期红细胞膜破裂后T2像信号演变至关重要!
文章插图
图1 影响T1和T2的内部因素
颅内血肿分期及其病理生理
不同参考资料血肿分期可能有所不同 , 不必在这里过分纠结 , 本文采用2008年Lancet Neurology一篇综述的分期标准(如表1) 。 临床上有的病例核磁信号变化与此不符 , 可能有以下原因:个体差异 , 出血确切时间很难认定 ,病灶有反复出血 , 病灶的大小差别 。
表1 颅内血肿分期及特征总结
文章插图
不像脑梗死的核磁信号变化主要随自由水含量及分布变化而改变 , 影响因素相对单一 , 脑出血要复杂很多 。 血液包含血浆和细胞成分 , 血浆主要是自由水 , 细胞成分主要为红细胞 , 其内富含血红蛋白 。 血肿核磁信号的特殊之处就在于血红蛋白中的有关铁成分 , 血红蛋白虽然不直接产生核磁信号 , 却是影响核磁信号的“捣蛋鬼” , 血红蛋白氧化状态的改变和其红细胞内外的分布不同 , 均可通过影响氢质子产生对应核磁信号 。 如果剔除血红蛋白 , 基本上就可以把血肿看做普通的水肿 , 呈长T1长T2信号 。 所以血肿信号的演变 , 主要是基于血红蛋白的变化 。
由上文基本原理可知 , 血红蛋白发挥“造影剂增强”效应 , 即缩短T1 , 需要满足2个前提:顺磁性 , d<0.3纳米;血红蛋白发挥局部磁敏感效应 , 即缩短T2 , 也需满足2个前提:顺磁性 , 磁场不均一 。 下面我们将逐一阐述脑出血各个阶段的核磁信号 , 其实了解了以上机制后 , 结合脑出血各期病理生化改变 , 已经能够推导出各时期的相应信号 。
超急性期
从动脉漏出的新鲜红细胞富含充分氧合的血红蛋白 , 没有未配对电子 , 所以氧合血红蛋白是抗磁性的 。 此时血液中没有顺磁性物质 , 不影响T1;同时抗磁性物质对磁场的影响可忽略不计 , 无法产生磁场的不均一 , T2也不受影响 。 所以此时“捣蛋鬼”血红蛋白对核磁信号全无影响 , 血肿表现为其自身液体信号 , T1像表现为略低信号 , T2像呈略高信号 。
随后血凝块收缩 , 血浆析出 , 血肿在T1像信号逐渐升高至等信号 , 而血肿周边析出的血浆在T1像呈低信号环(图2:红箭) 。 在血肿与组织交界面的血液早期即迅速去氧化 , 成为去氧血红蛋白 , 在T2像呈低信号环(图2:黄箭) , 这是识别脑出血的一个首要征象 , 在SWI像上表现更为明显(信号范围明显大于实际体积 , 即磁敏感成像的开花效应)(图2:白箭) 。 另外血肿周围形成水肿 , 在T2像上呈高信号(图2:蓝箭) 。
文章插图
图2 60岁男性 , 左侧肢体偏瘫2小时(T1和T2双低信号环)(Radiopaedia , by Yves Leonard Voss)
急性期
这一时间红细胞的细胞膜保持完整 , 细胞内的氧合血红蛋白失去氧气变成脱氧血红蛋白 , 这一变化由血肿外周向中心逐渐发展 。 脱氧血红蛋白为顺磁性 , 但其疏水 , d>0.3纳米 , 故不影响T1弛豫 , 无“造影剂增强”效应 , T1像较前变化不明显;红细胞完整 , 脱氧血红蛋白在血肿内被分隔在一个个细胞内 , 构成磁场不均一 , 于是产生局部磁敏感效应 , 缩短T2 。
所以急性期血肿T1像呈等或稍低信号 , 外周环绕低信号水肿带(图3:黄箭) , T2像呈低信号 , 其外周环绕高信号水肿带(图3:白箭) 。
文章插图
图3 急性期脑出血核磁(Rima S. Rindler, Neurosurgery)
亚急性早期
这一时间红细胞的细胞膜仍保持完整 , 随着能量状态的衰减 , 细胞内开始出现高铁血红蛋白 , 这也是从血肿周边向中心逐渐发展 。 与急性期相同的是 , 高铁血红蛋白也是顺磁性 , 红细胞膜也存在 , 因此也存在磁场不均一 , 所以仍缩短T2 , T2像呈低信号 。 不同点在于 , 高铁血红蛋白分子构型发生了变化 , 其顺磁性中心开始暴露于水分子 , d<0.3纳米 , 于是产生“造影剂增强”效应 , 缩短T1 , 所以T1像呈高信号 。
亚急性晚期
该期红细胞从血肿周边向中心逐渐开始溶解破裂 , 高铁血红蛋白分布于血肿液中 。 此时高铁血红蛋白仍然是那个和水亲密接触的顺磁性分子 , 没有一丝丝改变 , 所以对T1的影响不变 , 在T1像仍呈高信号 。 但是高铁血红蛋白从红细胞释放出来后 , 分布变得相对均匀 , 失去了磁场不均一性 , 因此局部磁敏感效应消失 , T2缩短效应消失 , 在T2像呈现原本水肿液的信号 , 即高信号 。
文章插图
图4 亚急性晚期血肿内局部磁敏感效应消失机制示意图(mriquestions.com)
同时 , 在血肿周边巨噬细胞和胶质细胞的溶酶体也开始发挥作用 , 逐步吞噬血肿液的高铁血红蛋白 , 形成含铁血黄素 , 核磁信号表现为血肿周边的低信号环 , T2像最为明显 。 含铁血黄素具有明显的顺磁性 , 且位于巨噬细胞或胶质细胞内 , 构成磁场不均一 ,T2像呈低信号;另含铁血黄素为疏水性 , d>0.3纳米 , 不影响T1 , 无“造影剂增强”效应 。
文章插图
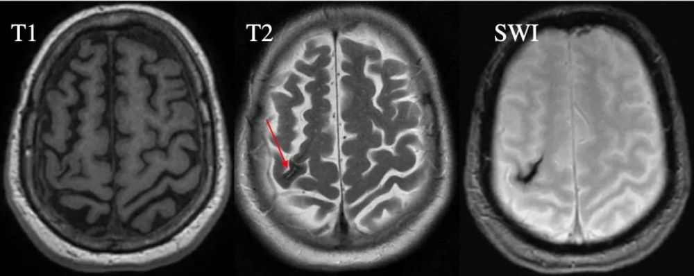
图5 65岁男性 , 表现为头痛、命名障碍、失用、轻度感觉性失语 。 (Radiopaedia , by Yves Leonard Voss)
亚急性早期(起病7天):T1像高信号环(白箭)代表血肿周边首先被氧化的高铁血红蛋白 , 中心的去氧血红蛋白仍呈低或等信号 , 外周的低信号代表血肿周围水肿带 。 T2像无论高铁血红蛋白和去氧血红蛋白均呈低信号 , 周围环绕高信号水肿带 。 SWI像示低信号 。
亚急性晚期(起病30天):细胞外高铁血红蛋白使血肿中心T1像、T2像、SWI像均呈高信号;T2像和SWI低信号环(红箭)代表血肿周边巨噬细胞和胶质细胞内的的含铁血黄素 。
慢性期
文章插图
图6 慢性期血肿病理切片(mriquestions.com)
血肿逐渐吸收或液化 , 中心形成腔隙 , 由液体充填 , 呈长T1长T2信号;含铁血黄素则沉积于腔壁 , 在T2像上出现低信号环(图7,红箭) , 为慢性血肿的特征性影像表现 。
文章插图
图7 80岁女性 , 右侧顶叶出血4年 。 (Radiopaedia , by Dr Roberto Schubert)
各期特点总结
文章插图
图8 脑出血各期生化成分及信号特点总结
值得注意的是 , 虽然依据上述特点将血肿划分为5个时期 , 但血肿成分演变并非跳跃式 , 它是一个连续过程 , 血红蛋白在单个血肿的中心和外周以不同的速率降解 , 出血的不同成分通常并存在同一血肿之内 , 我们只是习惯上以当前血肿内最主要的血红蛋白成分来决定血肿分期 。
文章插图
图9 脑出血核磁信号演变记忆简图(radiologykey.com)
小结
MRI属于多参数成像 , 影响其信号的因素众多 , 导致脑出血核磁信号非常复杂 , 不像CT简单明了 。 反过来说 , 多参数成像也意味着核磁能为我们带来很多CT所没有的信息 , 如果理解了出血的核磁信号演变机制 , 掌握脑出血信号演变并不难 , 而且我们还可以举一反三 , 借此原则理解许多其他种类病变的信号特征 , 因此尽管有些复杂但却值得我们花费时间和精力去学习 。
参考文献:
1.阿特拉斯. 中枢神经系统磁共振成像[M]. 河南科学技术出版社, 2008.
2. Bradley WG Jr. MR appearance of hemorrhage in the brain. Radiology 1993;189:15e26.
3. Kidwell Chelsea S,Wintermark Max,Imaging of intracranial haemorrhage.[J] .Lancet Neurol, 2008, 7: 256-67.
推荐阅读
- 香菜的学名叫什么?很多农村人的叫法才是最正确的!
- 火箭_军事武器|世界巨型火箭盘点,土星五号原来是最小的,能源号终极版堪称第一
- 8道最普通,但也是最美味的家常菜,总是吃不腻
- 吃了几十年的萝卜,这才是最好吃的做法,营养美味,上桌抢着吃
- 几道菜是最爱,天天吃也不腻,简单一炒很美味,下酒下饭很解馋!
- 天王星|科学家称天王星是最奇怪的行星:绕着自己的轴反向自转
- 思维的本质|《思维的本质》理解观念与意义和理解概念与定义·(下)
- 做鱼时,去腥加酒加醋是不正确的!这才是最好吃做法,上桌就扫光
- 前列腺癌|前列腺癌“过山车”疗法:BAT序贯新型抗雄或是最佳模式
- 脑出血|脑出血的症状是怎么样?家属该怎么做?40岁以上都应积极预防
