文章插图
2020年2月 , 南极“血雪”曾经吓坏不少网友 , 2021年 , 南极“血雪”再一次成为新闻焦点 , CCTV也对此作了报道 , 原来白雪皑皑的南极地区看上去竟然像是流淌过果子露和波尔多干红葡萄酒 , 满地粉红色 , 当然 , 也像是恐怖的大型凶杀现场 , 让人怀疑是不是大型鲸鱼正在被成批杀害 。
文章插图
2021年初 , CCTV报告南极出现“西瓜雪”
文章插图
2020年2月 , 南极半岛最北边加林德兹岛(Galindez)上乌克兰的韦尔纳斯基(Vernadsky)研究基地周围 。
当然 , 这不是大型凶杀现场 , 也不是留着红酒与蜜浆之地 , 更不是土地和冰雪在流血 。 看起来像是红色的“血雪” , 其实更出名的名称叫做“西瓜雪”(watermelon snow) , 公元前3世纪 , 基督教时代还远没有到来 , 亚里士多德的著作中就提到了彩雪 。 雪之所以呈现出红色 , 是因为雪中有一种叫做雪衣藻(Chlamydomonas nivalis)的单细胞植物 , 也有人把它叫做极地雪藻 , 这种细胞呈球形 , 直径约为30微米 , 大概为头发直径的1/3~1/2 。 这种单细胞生物虽然看起来是红色的 , 但是其实是属于绿藻科的成员 , 除叶绿素外 , 体内有鲜红色的类胡萝卜素 , 所以使得其呈现出血红色 。
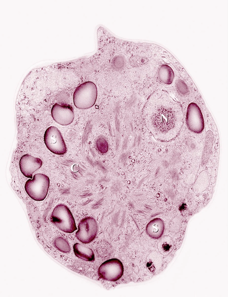
文章插图
雪衣藻细胞
【冰川|南极“血雪”已成常态】雪衣藻在冬季积雪下处于休眠状态 , 当夏天到来温度合适时 , 在融水和养分的滋润下 , 开始萌发 , 迅速生长开花 , 温度越高生长越快 , 释放出大量的细小的红色细胞 , 这些细胞带有两个鞭状鞭毛 , 具有一定的游动能力 , 在积雪里大量存在 。 这些藻类体内有类胡萝卜素 , 像水果和蔬菜中的类胡萝卜素一样 , 这些化学物质在显微镜下呈橙色 , 红色或生锈的色调 , 从而整体呈现出红色 。 这些颜色鲜艳的类胡萝卜素 , 可以吸收紫外线 , 从而保护藻类免受积雪环境中强烈的紫外线辐射 。 我们人体吸收β-胡萝卜素并传输到眼睛时 , 会帮助我们吸收紫外线 , 从而保护视网膜 , 免受黄斑变性等眼科疾病 。
因为他们非常小 , 得用高放大倍率的显微镜才能看的清楚 , 一茶匙融化的雪可能包含超过一百万个雪藻细胞 。 南极夏季雪面上阳光充足 , 干燥的地区的雪地最容易暴露这些雪藻 , 积雪融化、被侵蚀或蒸发 , 就使藻类集中在表面 , 积雪变成红 。
关于西瓜雪的形成 , 尽管亚里士多德时期就发现 , 但是神秘的粉红色雪一直困扰着登山者 , 探险家和博物学家 , 有人认为这是由岩石中的矿物质沉积物或氧化产物所致 。 1818年约翰·罗斯(John Ross)船长带领四艘探险船 , 在对西北航道(北美大陆和北极群岛之间)进行探险 , 希望能够到达地球另外一边去 , 期间也发现了粉红色的雪 , 并认为是铁镍陨石碎屑 , 他的发现甚至上了《伦敦时报》 。
直到19世纪末 , 这种异常现象才最终归因于高浓度的微生物藻类的“开花” 。 这种雪藻在世界范围内都被发现 , 包括落基山脉 , 喜马拉雅山脉 , 北极和南极洲 , 2018年2月初 , 在蒙大拿州的冰川国家公园也被报道过 , 2020年7月 , 意大利的阿尔卑斯山也有发现 。 2013年 , 笔者访问瑞士达沃斯 , 在达沃斯附近的阿尔卑斯山雪山上 , 第一次见到这种红色雪藻 , 站在山顶 , 本来期望见到亮闪闪的皑皑雪山 , 结果雪上覆盖这么一层锈红的物质 , 看起来脏兮兮 , 还是有点失望 。
文章插图
2013年7月17日 , 瑞士达沃斯附近的阿尔卑斯山脉雪山上呈现出红色 , 这即是雪衣藻 。
文章插图
2020年7月4日 , 意大利科学家在佩里扎诺附近的普雷塞纳冰川顶部采集“西瓜雪“的样本 。 Picture: Miguel Medina / AFP
文章插图
美国犹他州尤因塔山滑雪道上的“西瓜雪”
文章插图
企鹅活动周围 , 营养物质(便便)丰富 , “西瓜雪”浓度更高 。
气候影响不可忽略
在雪藻呈现绿色和红色两个阶段中 , 都会吸收太阳辐射 , 这降低了雪的反射率 , 有助于积雪融化 , 从而有助于藻类获取了更多的液态水 。 尽管“西瓜雪”在全球广泛分布 , 但是其分布范围不断扩大 , 尤其是在南极频繁出现值得警惕 。
2016年 , 杂志《Nature Communications》上一项研究表明 , 在北极夏季的融雪季节 , 积雪上的藻类将有效减少积雪反照率 , 减少幅度达到13% 。 2017年 , 《Nature Geoscience》上对阿拉斯加的分析表明 , 包括藻类在内的微生物群落在其所在地融雪中的贡献比例(17%)超过了六分之一 。 虽然以上研究都是针对北极地区 , 针对南极还少有研究 , 但原理基本是想通的 , 随着温度升高 , 藻类生长季更长 , 其与气候变化相互反馈会进一步加剧气候变化的影响 。
南极洲是全球受气候变化影响最大的地区之一 , 自1950年代以来 , 南极洲的温度持续上升 , 平均每十年上升超过0.05°C , 南极半岛是增温更为显著的区域 , 例如阿根廷在南极半岛的San Martin站 , 年升温达到每十年上升0.52°C , 这一区域也是南极“西瓜雪”最近几年频频出现的区域 。
文章插图
2020年2月初 , 南极半岛的最北侧的离岛西摩岛温度达到20.75℃ , 被广泛报道为“南极温度超过20摄氏度” , 虽然不是很准确 , 但是南极半岛温度确实高 , 南极半岛是全球增温非常快的区域 , 过去50年温度升高3摄氏度左右 , 属于阿根廷的Esperanza观测站2月6日记录到18.3度高温 , 这超过了2015年3月24日的17.5℃的高温记录
温度增加导致南极冰雪融化严重 , 南极洲在1979至1990年间每年平均减少400亿吨的冰量 , 但在2009至2017年间每年冰损失达到了2520亿吨 , 已经是1990年之前的6倍 , 且这一速度似乎并未放缓 。
文章插图
南极洲的冰雪融化达到肉眼可见程度 , 南极半岛北部的鹰岛2020年2月4日与2月13日的卫星图片差别显著 , 后者不仅大量冰雪消融 , 而且还出现了一个冰湖 , 图片来自NASA 。
目前冰雪损失最大的区域是南极洲西部冰盖 , 每年现在损失1590亿吨冰雪 , 特别是由于松岛冰川(Pine Island glacier , 自1979年以来损失了1万亿吨冰)和思韦茨冰川 (Thwaites Glacier)冰川(损失了6340亿吨)的融化 。 如果南极洲西部冰盖全部融化 , 会推动全球海平面上升5米 。
南极洲东部冰川是南极大陆最大的冰盖 , 如果全部消融 , 会推动全球海平面上升52米以上 , 其中的多个冰川都在发生持续的消融 , 例如库克冰川(Cook Glacier)、尼尼斯冰川(Ninnis Glacier)、迪布尔冰川(Dibble Glacier)、 弗罗斯特冰川(Frost Glacier)、福尔摩斯冰川(Holmes Glacier)和登曼冰川(Denman Glacier)冰川都发生了严重的消融 , 其中仅登曼冰川就已经损失了2000亿吨冰 。
南极冰川和冰盖融化的大部分不是由于表面消融 , 而是由于来自底部的侵蚀 。在南极 , 冰架从陆地延伸到水面 。 由于冰架的底部接触到在正在升温的海洋 , 引起其从底部的融化 , 会使得冰架不断遭受蚕食而变薄 , 容易发生突然断裂而跌落到海洋中 。
南极洲的气候变化会给当地生态系统带来严重的影响 , 例如南极磷虾是一种喜冷水环境生物 , 对海冰变化极为敏感 , 气候温暖时期磷虾数量偏低 , 而磷虾则是南极企鹅、海豹、蓝鲸等的食物 , 是南大洋食物链关键物种 , 其数量变化会深刻影响整个海洋食物链 , 过去40年 , 南极磷虾的数量减少了70%-80% , 尽管其形成原因比较复杂 , 可能和停止捕鲸之后 , 鲸鱼数量上升有关 , 但是气候变化无疑是重要的原因 。
因此 , 南极“西瓜雪”其实是一个南极气候状况的指标 , 其出现的越来越频繁 , 范围越来越多 , 是南极正在变暖和整体生态系统深刻调整的标志 , 其红色并不浪漫 , 相反 , 与之相伴随的气候和环境变化正在南极洲及南大洋掀起“惊涛骇浪” , 虽然“西瓜雪”并不是凶杀现场 , 但是气候变化造成的影响远超“连环凶杀案” , 需要人类社会高度警惕 , 并采取应对措施 。
推荐阅读
- 浪胃仙|泡泡龙的离世给所有吃播提了醒,浪胃仙顺势决定“转行”,新职业认真的吗?
- 结核|再见吧,“结核君”
- 感受松软海绵蛋糕“弹弹弹”
- 精河县精深加工,把每颗枸杞都“吃干榨尽”!
- 三星堆遗址|三星堆“迁都”猜想|自然灾害说:洪水、地震等致三星堆古城毁亡
- 农民|春分时节小麦田间管理,做好这些工作,高产又优质
- 猴面包树|这种树“能吃能喝还能住”,养活无数非洲人,引进中国后画风变了
- 早餐的新吃法,“透明饺子”简单好学,孩子看了都超级爱吃!
- 想吃点心不用买,教你在家做“驴打滚”,不用烤箱,软糯香甜!
- 它,有“蔬菜之王”的美称,炒一炒就出锅,清爽可口,好吃不胖
