大年初二的凌晨2点 , 急诊科收治了一位脑梗患者——85岁的罗奶奶 。
送来医院时 , 罗奶奶的神智已经处于不清晰的状态 , 言语也无法正常表达 。 据罗奶奶的家属表示 , 她是当晚起夜时 , 发现自己左侧肢体无力 , 自己在听到罗奶奶不大不小的呼喊声时 , 才发现她已经瘫软在地上 , 浑身无力 。
“当时她说自己头晕 , 耳鸣 , 看不清楚了 。 ”罗奶奶的家属随即马上拨打了120 , 将其送往至北流市人民医院 。
文章插图
又是一起忽视高血压引起的脑梗现象
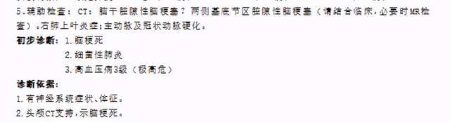
入院后 , 医院给罗奶奶安排了CT检查 , 检查结果显示 , 罗奶奶患有脑干腔隙性脑梗塞以及两侧基底节区腔隙性脑梗塞 。
文章插图
(脑部CT图)
除此之外 , 还伴有主动脉及冠状动脉硬化 , 是极高危的高血压症状 。
文章插图
诊断报告
究其原因 , 还要从患者的过往病史说起 。 据罗奶奶的家属叙述 , 患者有着10年的高血压病史 , 而由于患者对于高血压的认识不够 , 把医生说的:“一定要按时服药”当成了耳旁风 , 这也使得她的服药习惯变成了“出现头晕、胸闷才会吃几粒药” , 最终导致了脑梗的发生 。
很多患者都认为出血性的脑卒中 , 是因为血压飙升而引起的脑出血 , 而脑梗塞的问题 , 则与高血压没有关系 , 其实这是一种认知上的误区 。
首先要知道 , 我们动脉血管的管壁其实并不只是薄薄的一层 , 它实际上有三层 , 最外层为保护层 , 而最内一层则较为光滑、严密 。 一般 , 血液在一定的压力下流动 , 并不会对内层管壁的膜造成伤害 , 但若是常年血液流动处于高压的状态下 , 强力的摩擦就会使血管内膜破损 , 产生小缺口 。
文章插图
人体的血液里除了血浆、血细胞 , 还含有胆固醇 , 若是血压正常 , 血管壁韧性够 , 胆固醇是难以进入血管壁的 。 但当血管膜出现“缺口” , 这就给了胆固醇乘机而入的“机会” , 胆固醇顺着血液流动 , 在缺口处越积越多 , 最终形成斑块 。
若不及时采取有效措施 , 斑块过大则会导致血管腔明显狭窄 , 从而引起脑缺血的发生 。 如果斑块突然破裂 , 就会在这个位置形成血栓 , 使血管腔完全闭塞 , 相应区域的脑组织就会因持续而严重的缺血而发生坏死 , 从而就导致了脑梗死 。
这款南京同仁堂的青钱柳牛蒡茶可以有效帮助降低三高 , 预防脑梗 , 不妨尝试下 。
脑梗发生时 , 一般有3种表现
在医院 , 每年都会收到大量因脑梗突发的患者 , 许多家属反映明明前一秒还是好端端的一个人 , 突然就发生肢体瘫痪 , 动弹不得了 。 送入及时的患者 , 在抢救下还能捡回一条命 , 也有不幸者 , 发生了脑疝 , 不治身亡 。
针对心脑血管疾病 , 预防大于治疗 。 日常患者除了通过服用药物来对高血压进行有效的控制 , 从而减少脑梗的复发率外 , 获知脑梗发生前的预警信号 , 也显得尤为重要 。
·症状1、头痛、头晕、眩晕
对于有高血压病史的患者 , 尤其是中老年人来说 , 本身就是脑出血的高危人群 , 一旦发生头晕、头痛、看东西有眩晕的感觉 , 就要警惕是脑梗死的到来 , 应随时监控血压 , 及时联系医生 。
文章插图
·症状2、视力模糊、言语不清
许多中老年人发生视力模糊都把其当成视力减退、青光眼、白内障等处理 , 但其实有可能是脑梗死发病前的征兆 。 还有部分患者 , 会因血栓影响言语功能区域 , 导致言语功能受到影响 , 出现说话吐字不清 , 也要注意可能是脑梗的预兆 。
·症状3、肢体无力、麻木瘫痪
【脑梗塞|无端端有3种表现,十有八九是脑梗“求救”信号,尽早筛查CT】肢体瘫痪是大多数人对于脑梗表现的反映之一 , 但在出现肢体瘫痪前 , 其实身体会有异样感 。 例如突然感觉肢体麻木 , 像有蚂蚁在身体上爬行 。 这个时候患者要有所警惕 , 赶紧联系医生 。
文章插图
以上的症状 , 都为脑梗发作前较为明显的表征 , 但也存在部分患者 , 并无以上症状 , 这种静息性、隐匿性脑梗死 , 也被称为无症状性脑梗死 。
警惕“沉默的杀手”——无症状脑梗(SBI)
研究显示老年人群中无症状脑梗死患病率可高达28% , 但虽然叫做“无症状” , 却并非是无害的 , 也可能逐渐进展为严重的症状性脑梗死 , 造成严重肢体瘫痪及痴呆 , 影响发病者的认知水平及运动功能 。
“无症状”脑梗 , 没有肢体麻木、没有口齿不清、没有身体无力 , 这种“潜伏”能力 , 若非病发 , 几乎无法通过“感受”自查出来 。 那么该如何诊断自己是否患有无症状脑梗呢?
无症状脑梗可在头颅CT或MRI检查时 , 发现与脑血管分布一致的脑梗死灶或脑软化灶 , 从而确诊出该疾病 。
一旦确定无症状脑梗死 , 建议积极筛查脑卒中危险因素 , 心血管方面的检查 , 以帮助控制可引起血管堵塞的危险因素:血压、血糖、血脂、心脏病变等;
伴有血管危险因素的SBI者 , 参照中国缺血性脑卒中和短暂性脑缺血发作一级预防和二级预防指南给予个体化预防处理 , 并积极随访;
查出疾病不一定要立马用药 , 不伴有血管危险因素者 , 不建议服用阿司匹林等抗血小板药物 。
文章插图
无症状脑梗死与症状性脑梗死同样重要 , 把握早期的最佳治疗时间 , 一旦确诊出疾病 , 就要积极配合医生进行治疗 。 同时也要注意日常预防 , 加强护理 , 注意消除致病因素 , 预防疾病“卷土重来” 。
参考资料:
[1] 《1分钟死190万脑细胞!脑梗出现3大症状 , 马上去医院》健康时报 2018-11-19
[2] 《脑梗无症状≠无害 , 隐形炸弹随时可能爆炸 , 及时诊断处理是关键》.血栓在线 2019-04-25
[3] 《【每周科普】无症状脑梗死 , 是无视 , 还是积极治疗?》. 神介资讯.2021-01-17
未经作者允许授权 , 禁止转载
推荐阅读
- 脑梗死|脑梗死和喝酒有没有关系呢?爱喝酒的朋友,应该看看
- 猪身上一个部位,无筋无骨不塞牙,比排骨受欢迎,上桌立马被抢光
- 大脑|你的大脑和心理究竟是什么关系?
- 猴面包树|这种树“能吃能喝还能住”,养活无数非洲人,引进中国后画风变了
- 香喷喷的肉末茄子,简单好做,超下饭,吃一口回味无穷
- 成本3块钱的早餐饼,不放面粉,软糯香甜,老人孩子吃到回味无穷
- 炖猪肉时,牢记“3不放”,肉烂味鲜无腥味,香味十足!
- 想吃芝麻酱不用买,5块钱自制一大瓶,纯正无添加,做法还简单
- 减肥|郭美美因减肥药再次入狱,细数市面上常见减肥药,减肥无捷径
- 液态金属|脑科学日报:开发用于活体神经记录的可拉伸液态金属电极阵列
