文 |李康
病例介绍
一般情况:男 , 72岁
主诉:头晕、恶心15天
现病史:患者入院前有反复头晕不适 , 症状持续不能缓解 , 无明显头痛不适 , 无明显肢体活动不利 , 恶心 , 未出现呕吐 。 2020年4月12日入住神经内科 。
入院时查体:BP 115/75mmHg , P 99次/分 , 神志清 , 精神欠佳 , 双肺呼吸音粗 , 可闻及少量湿啰音 , 未闻及干啰音 , 心律齐 , 未闻及明显杂音 , 腹软 , 无压痛及反跳痛 , 双下肢不肿 , 四肢肌力、肌张力正常 , 病理征未引出 。 入院后查颅脑CT考虑老年性脑改变 。
入院后行心电图检查(如图1) , 行肌钙蛋白检查结果示超敏心肌肌钙蛋白I 9.95ug/L(0.00-0.10ug/L)
现病史:反复活动后胸闷不适 , 于休息后缓解 , 症状有进行性加重表现 , 查体HR70bpm , Bp121/85mmHg , 神志清 , 精神不振 , 双肺呼吸音低 , 双肺底可闻及湿啰音 , 心律齐 , 心音低钝 , 各瓣膜听诊区未闻及明显杂音 , 双下肢轻度浮肿 。
神经内科与心内科急会诊后诊断:急性非ST段抬高型心肌梗死
转入心内科治疗
文章插图
图1
患者转科后进一步完善各项相关辅助检查
心肌肌钙蛋白I 1.95ng/ml(0.00-1.00ng/ml) 。
N-端脑利钠肽前体10337pg/ml(0-300pg/ml) 。
低密度脂蛋白 3.25mmol/l 。
白细胞 9.97×109/l , 血红蛋白 132g/l , 超敏C反应蛋白 150mg/l 。
血钾 4.17mmol/l 。
肝功、肾功、血凝常规等检查未见明显异常 。
查胸部CT见支气管炎症表现(?) , 双侧少量胸腔积液 , 心影增大 , 冠状动脉钙化表现 。
4月13日床旁心脏超声
【nstemi|【华医大查房】急性NSTEMI处理过程(一)】
文章插图
患者诊断:
v 冠状动脉粥样硬化性心脏病
v 急性非ST段抬高型心肌梗死
v 心功能Ⅱ级(Killip分级)
v 2型糖尿病
v 肺部感染
v 高脂血症
治疗方案:
文章插图
经过上述治疗3天后 , 患者症状进行性改善 , 无明显胸闷、胸痛症状 。 夜间可平卧入眠 。 查体:HR 68bpm , Bp 105/77mmHg , 神志清 , 精神可 , 双肺呼吸音低 , 未闻及明显干湿性啰音 , 心律齐 , 心脏各瓣膜听诊区未及病理性杂音 , 双下肢无明显浮肿 。
复查相关检查
心肌肌钙蛋白I 1.96ng/ml(0.00-1.00ng/ml) 。
N-端脑利钠肽前体2386pg/ml(0-300pg/ml) 。
白细胞 9.22×109/l , 血红蛋白 141g/l , 超敏C反应蛋白 123mg/l 。
血钾 5.2mmol/l 。
4月16日复查心脏超声如图所示:
文章插图
4月17日造影结果如图所示:
文章插图
冠状动脉供血为右优势型 , 冠状动脉开口正常 。 左主干未见明显狭窄;
前降支近中远段80%-99%弥漫性狭窄 , 前向血流TIMI 1级;
回旋支中段60%-70%弥漫性狭窄 , 远段可见50%弥漫性狭窄 , 前向血流TIMI3级;
文章插图
右冠近中段80%-99%弥漫性狭窄 , 前向血流TIMI 2级
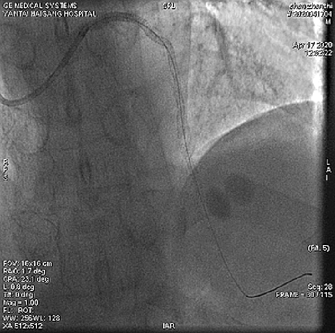
4月17日介入治疗结果如图所示:
文章插图
根据造影结果及患者病情 , 决定优先处理前降支病变 , 择期处理右冠;
分别送导丝至前降支及第一对角支 , 送2.0mm×15mm预扩球囊对病变部位进行充分预扩张处理 。
文章插图
于前降支中段、左主干-前降支近段依次置入PROMUS ELement 2.5mm×38mm、PROMUS Element3.0mm×38mm支架共2枚 。
复查造影前降支支架以远可见99%局限狭窄 , 于前降支远段置入Firebird 22.5mm×23mm支架1枚 , 并给予后扩张 。
文章插图
患者手术过程中无明显不适症状 , 术后安返病房 。
术后检查
心肌肌钙蛋白I5.92ng/ml
N-端脑利钠肽前体 6003pg/ml
血钾 4.9mmol/l
肾功尿素氮 16.8mmol/l , 血清肌酐134umol/l
白细胞 12.43×109/l , 血红蛋白 141g/l , 超敏C反应蛋白 54mg/l
术后心电图如图所示:
文章插图
术后治疗
术后替罗非班泵入
根据患者情况给予1000ml生理盐水以60ml/h持续水化24小时
重组人脑利钠肽0.55ug/min静脉泵入
根据患者情况 , 请药剂科会诊 , 停用头孢哌酮舒巴坦抗感染治疗 , 改为美罗培南抗感染治疗 。
患者术后一般情况可 , 无胸闷、胸痛 , 可平卧入眠 。 大、小便正常 。 查体:神志清 , 精神可 , 双肺呼吸音低 , 未闻及湿啰音 , 心律齐 , 心脏各瓣膜听诊区未闻及明显杂音 , 双下肢无明显浮肿 。
患者于4月17日13:00至4月19日8:30 , 术后43小时内患者病情稳定 , 未诉明显不适 。
关键知识点的总结
知识点一
临床诊断
缺血性心肌病定义:冠状动脉疾病导致左心室功能严重受损 , 即左室射血分数LVEF≤35%-40% 。 缺血性心肌病可由既往陈旧心肌梗死引起的心肌不可逆损失所致 , 或由心肌长期缺血(但仍存活)导致的可逆性收缩功能减退所致(Uptodate) 。
该患者本次入院有急性缺血表现 , 既往虽无明确的心肌梗死病史 , 但心电图可见II、III、aVF和V1、V2的病理性Q波提示陈旧下壁、前间膈心肌梗死 , 超声心动提示左心室扩大伴弥漫性运动不良、左心室射血分数下降。 冠状动脉造影为多支病变 。 符合缺血性心肌病诊断 , 本次住院心脏方面有缺血、心衰和恶性心律失常三个方面的表现 。
知识点二
心电图特征与机制
患者出现明显缺血症状并伴有心衰 , 行第一次PCI治疗后心电图可见QT-间期较前明显延长、T波倒置伴有T波电交替、和长短周期现象 , 这些都提示心室复极离散和电活动不稳定 。 随着病程进展 , 心功能恶化 , 和多种药物的使用 , QT-间期有动态变化 。 非ST段抬高性心肌梗死(NSTEMI)往往心室肌非透壁坏死 , 心室肌的外层、M层和内层可能存在坏死、缺血、顿抑/冬眠、存活心肌 , 传导方向和速度不均一 , 造成心室肌的复极离散 。
知识点三
介入治疗的适应症、支持条件与时机
对于NSTEMI患者 , 一旦出现血流动力学紊乱 , 如心衰、低血压、恶性心律失常等严重情况 , 应积极尽早行血运重建介入治疗 , 并置入IABP予以循环支持 , 该病例还应同时置入临时起搏器保护 , 越早干预越有可能逆转结局 。 急性介入治疗的目标是达到TIMI III级血流 , 在最短时间内有效改善缺血 , 后续再择期处理狭窄病变 。
有以下1种或多种特征的NSTE-ACS患者短期发生不良心血管事件的风险极高 , 应立即行血管造影和血运重建(Uptodate):
●血流动力学不稳定或心源性休克;
●严重左心室功能不全或心力衰竭;
●给予强化药物治疗后静息心绞痛仍发作或持续;
●新发或加重的二尖瓣关闭不全 , 或新发室间膈缺损;
●持续性室性心律失常 。
未完待续 敬请期待
审校:李朝晖┆编辑:胡欣妍┆来源:心诚学院
推荐阅读
- 米歇尔·戴斯玛克特|海奥华预言的真相,地球人被带到九级文明,揭开神话背后的秘密
- 【夜读】豆腐飘香
- 鸡翅家常做法,做法简单 ,汤汁浓郁,美味下饭,真的超赞!
- 炖猪肉时,牢记“3不放”,肉烂味鲜无腥味,香味十足!
- 麦卡锡|美众议院少数党领袖麦卡锡透露自己曾感染新冠,当时却不知道
- 杨振宁|清华大学辟谣:杨振宁逝世系谣言
- 海带和什么炖是绝配?
- 杨振宁|清华大学:“物理学家杨振宁近日逝世”系谣言,先生身体健康
- 杨振宁|清华辟谣杨振宁去世消息
- 蒜泥肥牛只需1碗料汁
