文章来源:熊猫放射
气胸时如何大体判断肺被压迫的程度?
【气胸|气胸时如何大体判断肺被压迫的程度?】气带宽度相当于患侧胸廓的1/4时 , 肺被压缩约35%;
气带宽为患侧胸廓的1/3时 , 肺被压缩约50%;
气带宽为患侧胸廓的1/2时 , 肺被压缩约65%;
气带宽度占患侧胸廓的2/3时 , 肺被压缩约90% 。
总之 , 在判断肺被压迫的程度时 , 只要建立立体的空间概念 , 不难理解上述估计 。
举例说明
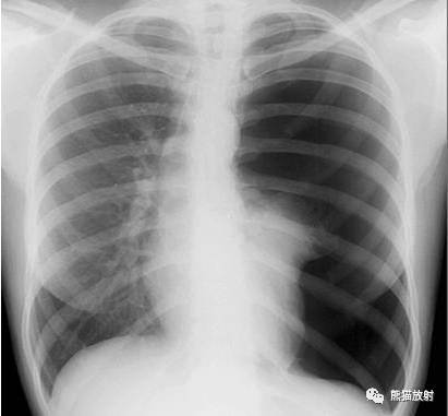
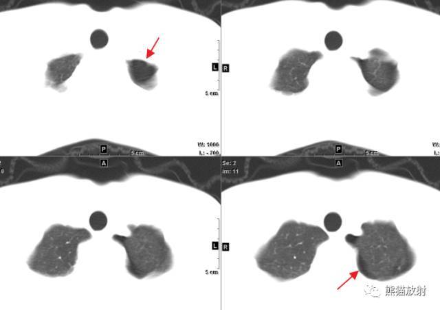
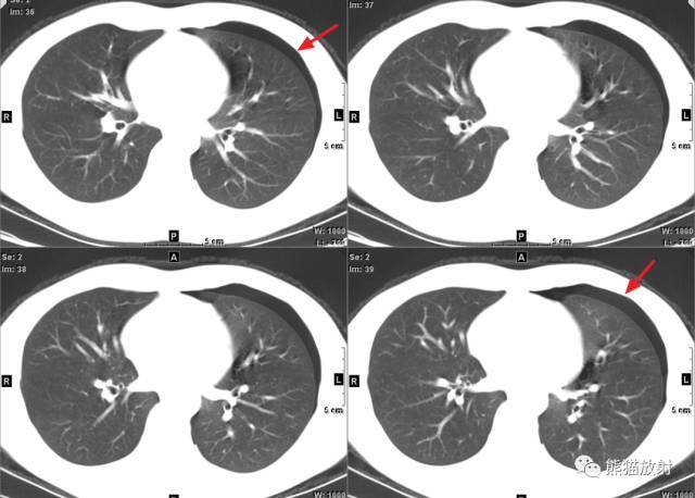
左侧气胸(肺被压缩约20%):
X线正位:左侧胸腔可见移位的胸膜线影 , 其外侧为条带状无纹理区 , 宽度小于患侧胸廓的1/4 。 左肺略受压 。
胸部CT:左侧胸腔游离气体 , 表现为胸顶部及外缘可见弧形无纹理低密度区 , 左上肺略受压 , 未见明显异常密度 。
文章插图
文章插图
文章插图
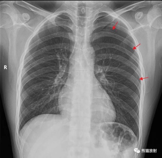
左侧气胸(肺被压缩约40%):
左侧胸腔可见移位的胸膜线影 , 其外侧为条带状无纹理区 , 宽度小于患侧胸廓的1/3 。
文章插图
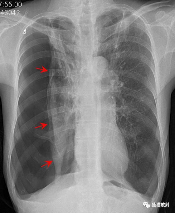
右侧气胸(肺被压缩约70%):
气带宽度略大于患侧胸廓的1/2 , 右肺明显受压 , 可见条片状高密度影 。
文章插图
左侧气胸(肺被压缩约95%):
左侧胸腔透亮度广泛增高 , 其内未见纹理走行 , 左肺明显受压缩小 , 紧贴于左下肺门处 , 纵隔略向对侧移位 。
文章插图
【版权声明】本平台属公益学习平台 , 转载系出于传递更多学习信息之目的 , 且已标明作者和出处 , 如不希望被传播的老师可与我们联系删除
推荐阅读
- 小龙虾|三农探析:池塘养殖小龙虾如何高产?高产养殖技术全解析
- 夜光杯 春馔
- 盐酥烧饼这做法,皮酥里软吃着香,不醒面照样层层酥脆,省时间
- 萝卜做饺子馅时,到底要不要焯水?很多人都不清楚,吃完告诉家人
- 农民|春分时节小麦田间管理,做好这些工作,高产又优质
- 医生|65岁老汉突然昏迷,三小时后离世,医生遗憾:这玩物害了不少老年人
- 家常炖老母鸡,不用炖3小时,教你一妙招,40分钟鸡肉软嫩入味
- 烙饼时,别再用凉水和开水了,用它,又软又香还出层,放凉也不硬
- 炖猪肉时,牢记“3不放”,肉烂味鲜无腥味,香味十足!
- 炒土豆丝的时候,不要直接下锅!加上这个步骤,又香又脆
