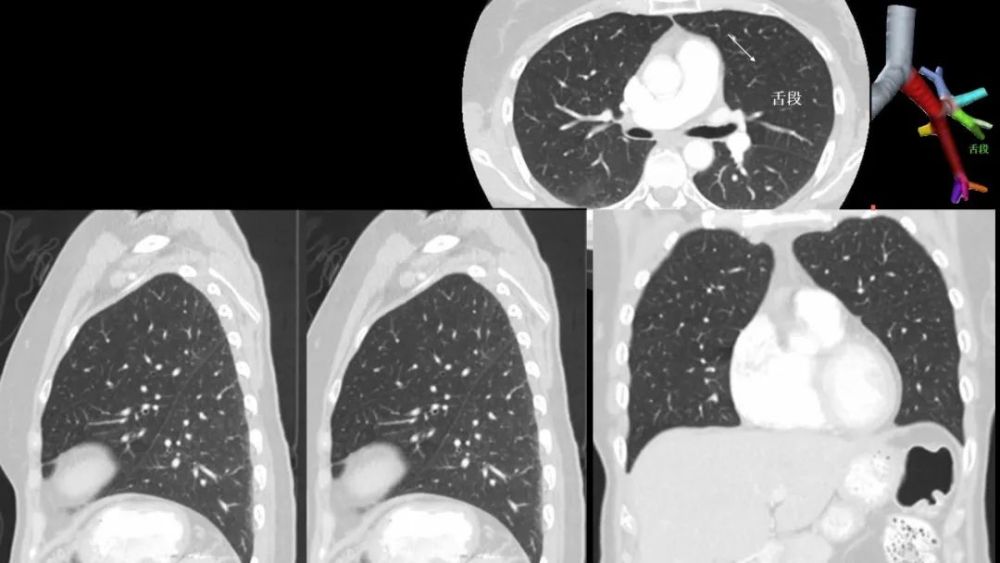
在解剖学上 , 肺叶间附属裂是肺叶间裂经常出现的变异 , 是脏层胸膜形成的除了常见的肺叶间裂以外的不同深度的裂隙 。 肺叶间附属裂是额外的 , 其支气管肺段及支气管动脉的排列都是正常的 , 是个别肺叶在发育过程中和邻近组织分离独立的一种现象 。 它可以是完全的 , 也可以是不全的 , 呈不同深度延伸至肺门 。 被附属裂分离的肺叶称为附属叶 。 研究的资料表明 , 附属裂大部分是不全的 , 从而导致附属叶与主叶之间存在或多或少的融合 。 在X线片上表现为细白线 , 除了位置的不同 , 类似于斜裂和水平裂 。 肺叶间附属裂经常在肺的解剖标本中被发现 , 在x线片和普通的CT扫描中经常被忽视或者误判 。 随着MSCT在临床的广泛应用 , MPR技术有利于观察肺叶间附属裂的分布情况和出现的频率 , 可为胸外科医师术前制定手术方案提供参考 。
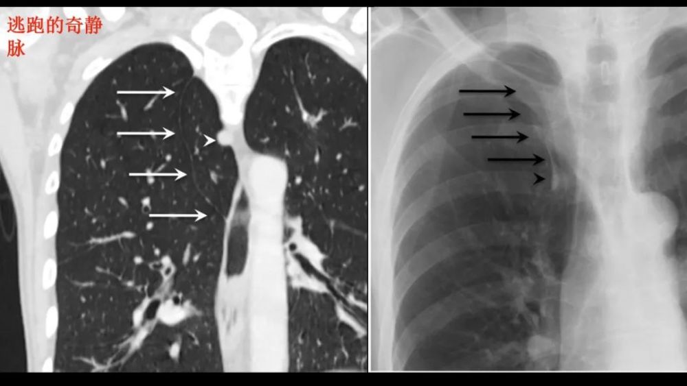
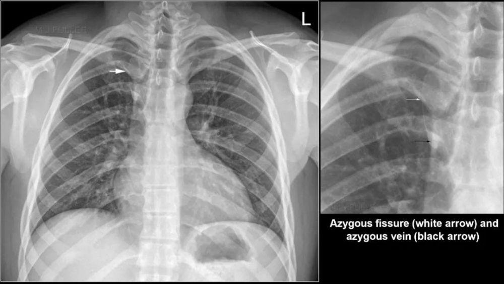
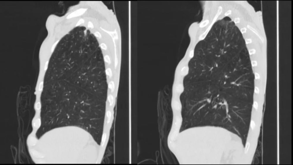
奇 裂
奇静脉分隔右肺上叶尖段
不是真正的附叶 , 因为没有自己的支气管 解剖标本的发生率为1% , M:F=2:1
X:细线状隆起(相对于纵膈) , 穿过右肺尖 , 前位上纵膈胸片可?气体
CT: 奇裂从SVC和气管后穿过
【肺叶|一网打尽肺叶间附属裂】
文章插图
文章插图
文章插图
文章插图
文章插图
文章插图
文章插图
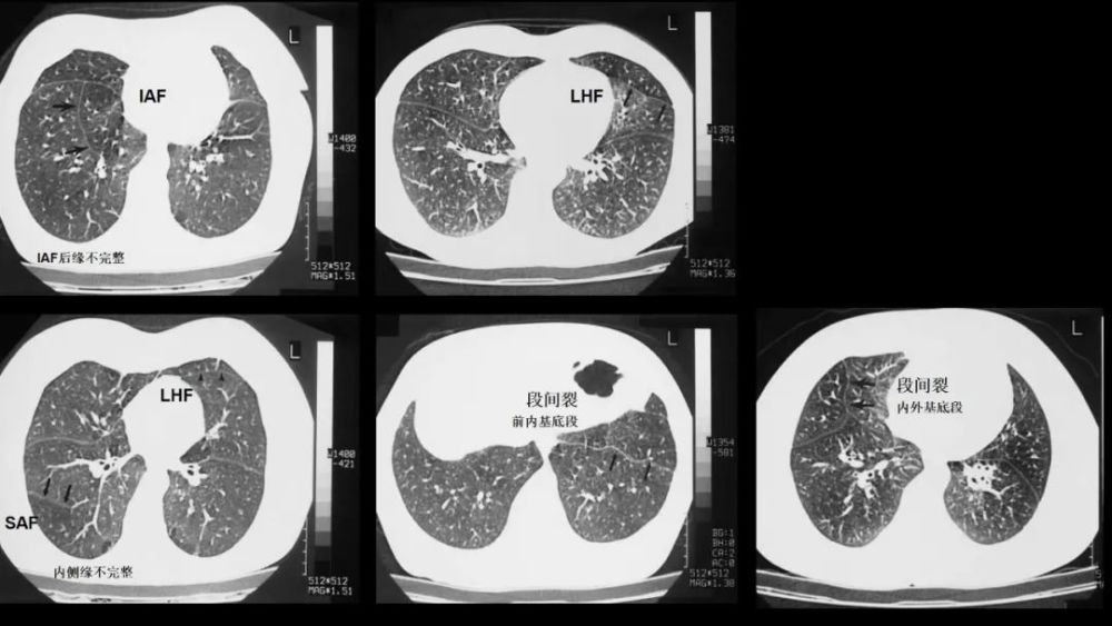
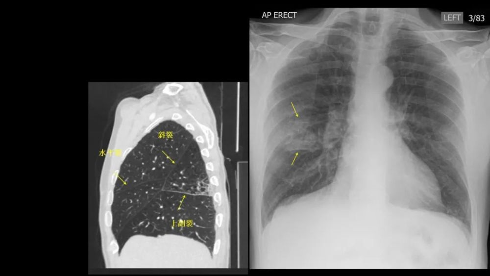
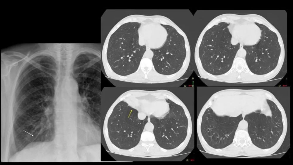
上副裂/叶
Superior accessory fissure
右肺下叶的上副叶 , 位于水平裂后方 , 将右肺下叶分为 上和基底段 , 称为后叶或背叶( posterior or dorsallobe)
可以完整或不完整 右肺多
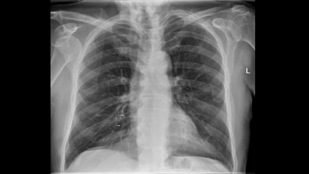
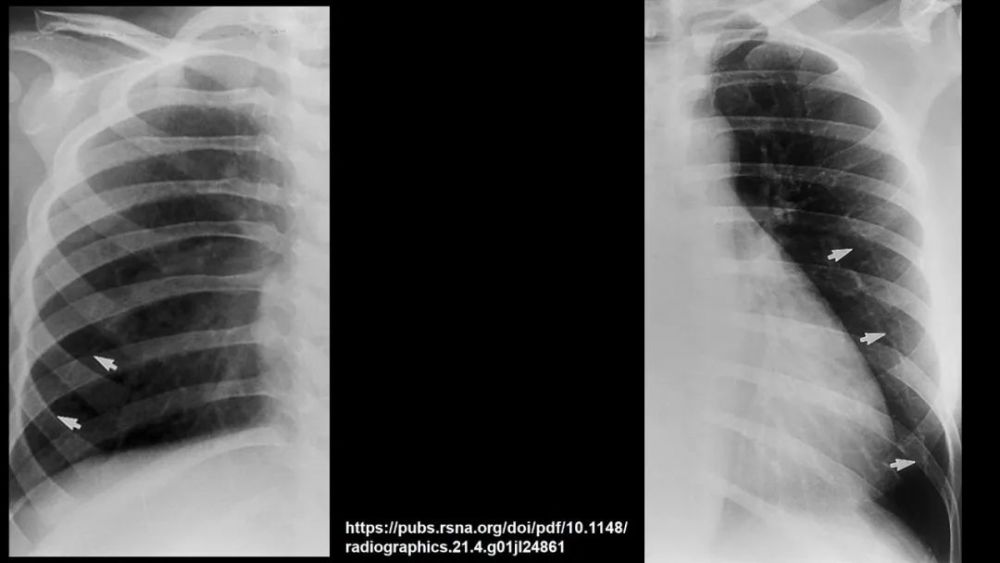
>下附裂
文章插图
文章插图
文章插图
Inferior accessory fissure
Twining’s line , 分隔下叶的内侧基底段
CT上的检出率:12% , 前位胸片显示率:5~8%R:L=5:1;多为不完整的 , 0.5~2cm
文章插图
文章插图
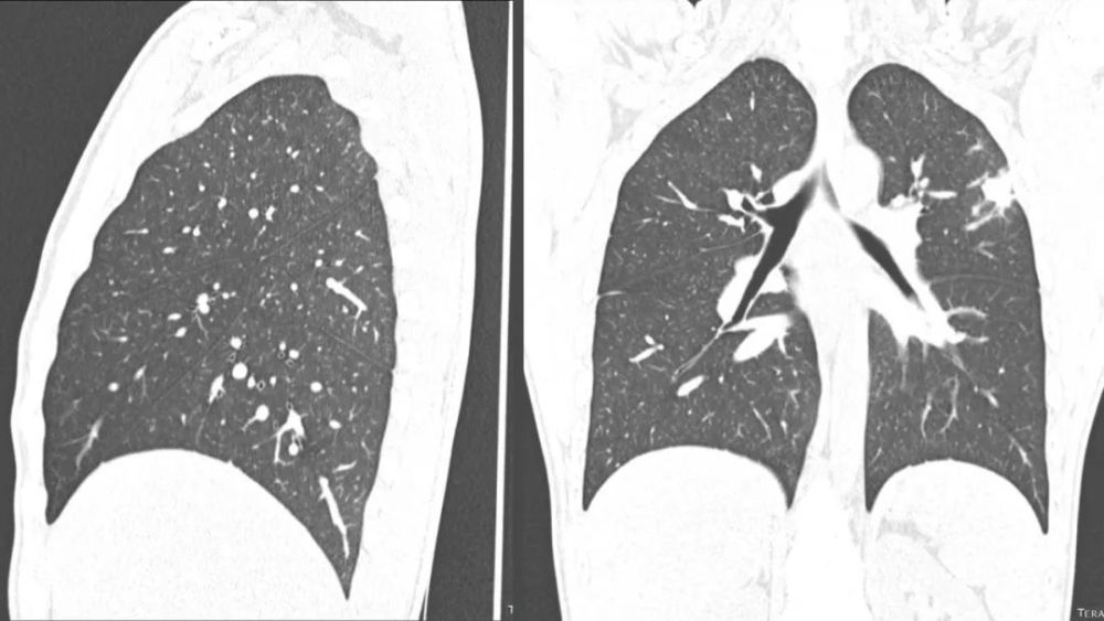
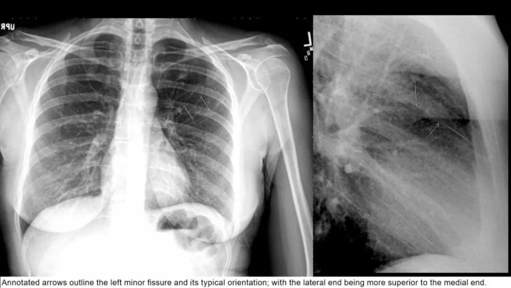
左侧水平裂
Left minor fissure
CT上的检出率为:8% , AP胸片为1.6%
左侧水平裂将舌叶从下叶其它部分分隔出来 舌叶仍然保留其上段和下段 , 不同于右肺中叶 内侧段和外侧段 , 因此左肺的段解剖保持完整
文章插图
文章插图
文章插图
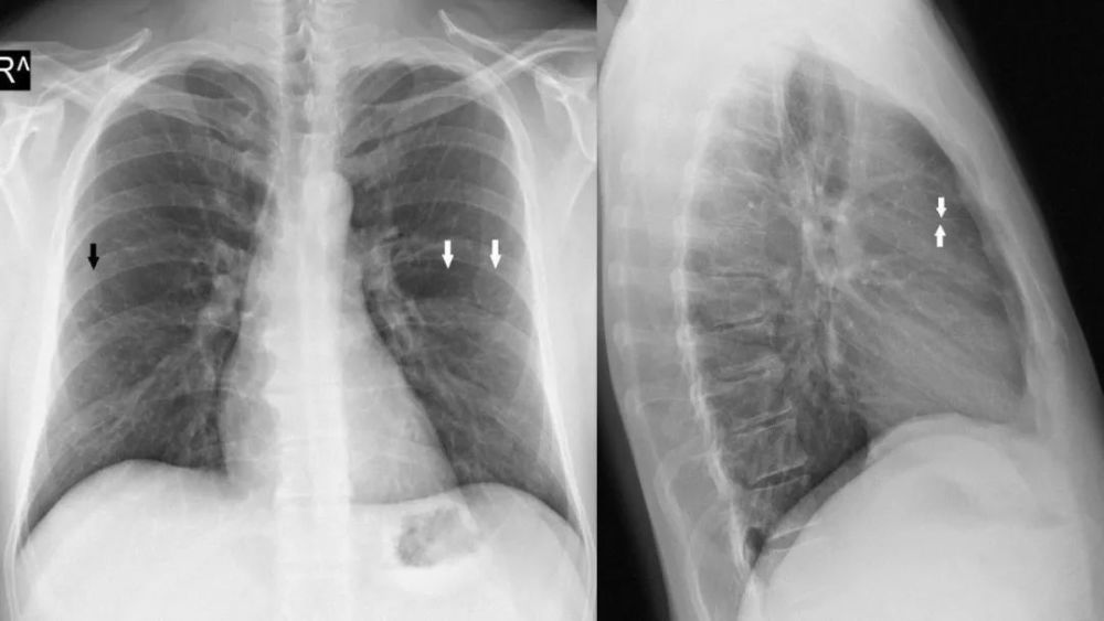
垂直裂
Vertical fissure line in the lung
很少>1mm ,
起于肋膈?或其附近区域 , 向上略向肺?偏向走形 在水平裂前或至于水平裂上
绝大部分在右肺 , 左肺偶?
文章插图
文章插图
文章插图
文章插图
文章插图
文章插图
文章插图
文章插图
文章插图
文章插图
文章插图
熟知肺叶间附属裂的影像表现 , 将会使影像科医师在日常工作中不会将肺叶间附属裂和其他正常或异常的结构相混淆 , 同时肺附属裂的显示对于胸外科医生术前制定手术方案是有极大帮助的 , 因为肺部疾病和肺裂的关系影响着外科医生决定是执行肺叶切除术还是肺段切除术甚至是全肺切除术 。 随着经胸腔镜手术的进一步开展 , 术前通过MSCT检查得知肺叶间裂的变异对于手术方案的制定有很大帮助 。
参考文献:
1.Cronin P ,Normal and accessory fissures of the lung: Evaluation with contiguous
volumetric thin-section multidetector CT.European Journal of Radiology 2010 Vol.75 No. 0720-048x
2.Ariyurek O.M,Accessory fissures of the lung: Evaluation by high-resolution computed tomography.European Radiology 2001 Vol.11 No.12 P2449-2453
3.Mawlan Mahmut, Evaluation of Pulmonary Lobe Variations Using
Multidetector Row Computed Tomography.Journal of computer assisted tomography 2007 Vol.31 P956-960
4.Aamer Aziz, MD , High Resolution CT Anatomy of the Pulmonary Fissures .Journal of thoracic imaging 2004 Vol.19 No.3 P186-191
来源:胸科之窗
【版权声明】本平台属公益学习平台 , 转载系出于传递更多学习信息之目的 , 且已标明作者和出处 , 如不希望被传播的老师可与我们联系删除
推荐阅读
- 甲状腺癌|夜间灯光会使甲状腺癌风险增加55%?
- 盐酥烧饼这做法,皮酥里软吃着香,不醒面照样层层酥脆,省时间
- 农民|春分时节小麦田间管理,做好这些工作,高产又优质
- 早餐时间,西芹糯米烧麦,不一样的吃法
- 丁道祥|安徽省马鞍山市雨山区:中马磁能:小试车间发挥增效大作用
- 酿酒|用真全粮酿酒机器做酒,为什么发酵时间越长口感越好?
- 早餐不吃馒头,教你如此做花卷,不用时间发面,松软香甜,真好吃
- 我家茄子从不炒着吃,淋入3个鸡蛋,比吃肉还香,上桌瞬间被扫光
- 国际空间站|重达2.9吨!国际空间站竟扔了一块巨大的太空垃圾
- 疫情期间经常吃泡面、面条对人有哪些影响?营养师告诉你正确吃法
