很多人说 , 人类过去这么多年 , 都没有进化 , 进化论一定是假的 。
如果你能够暂时脱离人类的时间尺度 , 而以深度时间的视角来看待演化 , 把最近这一万年看成岁月长河中一朵浪花 , 你会发现 , 人类一直都在进化 。
人类依然在进化
文章插图
研究人员估算了超过 100 万种发现于人类身上的变异(DNA 密码的改变)的年代 , 其中的绝大部分被证实非常年轻 。
美国科学家发现,人类基因组中有大约1800个基因呈加速进化状态,这一数目占整个人类基因组的约7% 。
文章插图
狭窄的生殖瓶颈和突然爆发的人口增长 , 促成了一轮新的遗传变异热潮 。 科学家的最新研究成果显示 , 在过去的5000年至1万年 , 人类进化的速度其实加快了100倍 , 演化的步非常此迅猛 , 人类身体和头脑的变化比在任何有记录的历史时期都更加显著 。 并且 , 这种进化仍在持续 。
要知道 , 仅仅 1 万年前 , 上次冰川期结束的时候 , 地球上大约有 500 万人 , 现在则有 70 亿 。
每一次生育过程都伴随着几处随机变异 , 再乘以人类不断扩张的人口规模 , 于是大量的变异便产生了 。
以我们为参考系 , 这时间很长 , 但是以地球为时间尺度 , 这仅仅是弹指一瞬间 , 这也意味着人类的演化速度超过了任何一个物种 。
文章插图
比如 , 在寒冷的地方 , 人们不需要很多针对低温的生理防护 , 但在新落户的更冷的地区人们就会需要 , 比如说较短的胳膊和腿 , 较高的基础代谢和较小的鼻子 。 随着食物制备的新方法的出现 , 比如用火烹煮食物 , 人类牙齿开始变小 , 并在随后的许多世代中变得越来越小 。
文章插图
格雷戈里?柯克伦(Gregory Cochran) , 来自:ben-ts
文章插图
亨利?哈本丁(Henry Harpending) , 来自:splcenter
在与病毒的斗争中 , 人类将继续进化以应对新出现的各种疾病 。 具有抵抗感染病能力的基因一直是人类基因组中进化速度最快的基因之一 。
祖先生活在欧洲城市中的人可能对天花的抵抗能力更强 , 而生活在撒哈拉以南非洲的人则对疟疾的抵抗能力更强 。
当然 , 这个演化不一定是好的 , 人口增长得太快 , 选择作用很难及时淘汰新的有害等位基因 。
很多人说 , 有什么证据证明吗?这种情况的后果之一 , 便是可能有害的遗传变异在人类中的积累 。
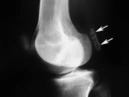
最典型的例子就是豆骨的出现 。
科学家发现人类正多了块骨头
人体内共有206块骨骼 , 主要分为头骨 , 躯干骨 , 脊柱骨 , 上肢骨和下肢骨 。 这是我们从小学时期就接收到的知识 , 然而 , 随着人类的进化 , 人类可能将拥有207块骨骼 。
【科学家|人类依然在进化,科学家发现人类正多了块骨头,但这却不是好事情】科学家发现 , 全球40%的人膝盖后方肌腱中长出了一块小骨骼 , 这就是豆骨 。
文章插图
它的直径不足1.3厘米 , 是在我们灵长类祖先身体上发现的 , 它被称为“骨骼阑尾” , 因为它的存在是毫无意义的 。 所以在古猿向人类发展的进程中 , 豆骨已经消失 。
然而研究人员分析了过去150多年进行的2.1万多项科学研究 , 发现目前豆骨在人体存在的概率是100年前的3倍 , 全球40%的人都长有豆骨 。
之所以会这样 , 随着科技的发展 , 人类的饮食条件越来越好 , 一项全球人口研究发现人们已经比自己的长辈更加聪明而且更高 。 研究发现 , 那些不同遗传背景的父母产下的后代趋向于长得更高 , 而且比其他人拥有更加敏锐的思考能力 。
文章插图
但是变得更高更重 , 膝盖承受的压力也会越来越大 , 为了更好承受压力 , 膝盖进化出来了新的骨骼 , 那就是豆骨 。 它会在未来逐渐成为人体解剖学中的一个正常变体 。
豆骨在一些哺乳动物之中仍然存在 , 它生长在肌肉的肌腱中 , 就像膝盖骨或髌骨一样 。 在哺乳动物之中 , 它可以帮助帮助减少肌腱内部的摩擦 , 改变肌肉力量 , 或者 , 就像膝盖骨一样 , 增加肌肉的机械力量 。
文章插图
豆骨的出现却不是好事情
这对人类来说并不是好事情 , 出更多骨骼缓解压力 。 但是这将产生一个问题 , 膝骨骼会磨损重要的软骨组织 , 从而导致骨关节炎 。
豆骨还可能会造成膝盖受力不均 , 增大软骨损伤 。
它也可能在膝关节置换手术之后引发疼痛 , 因为多余的骨骼通过钻入大腿骨来保持其位置 , 当这部分骨骼被替换 , 将该骨骼移除后 , 骨骼位置将形成一个凹陷 , 当人们行走时 , 肌腱会从左至右产生“断裂感” , 出现疼痛 。
研究人员在调查中发现 , 在进行膝关节置换手术之后 , 有些病人切除了豆骨 , 而另一些病人却留下了 。 术后出现疼痛和麻痹仅见于仍有豆骨的患者 。 因此 , 科学家建议在进行膝关节置换手术时移除豆骨 。
文章插图
科学家发现 , 在人类中 , 这一现象在男性中比在女性中更为普遍 , 与年轻人相比 , 年龄较大的人更为普遍 , 而且存在很大的区域差异 , 豆骨在生活在亚洲和大洋洲的人中最常见 , 在北美和非洲的人中最不常见 。
事实上 , 英国五分之一45岁以上人群遭受着这种痛苦 , 他们膝盖长出豆骨的概率是其他年龄段人群的两倍 。 一些专家表示 , 如果发现豆骨 , 就应该尽早移除 。
不过 , 豆骨它的存在可能并不总是被X光或CT扫描所发现 。 例如 , 一项针对中国人群的研究报告说 , 57.9%的豆骨在X光片上看不到 。
文章插图
所以 , 从豆骨的例子我们可以发现 , 人类在演化过程中 , 并不一定产生有益的基因 , 还可能产生有害的基因 , 另外 , 人类的进化一直在进行 , 只不过以我们自身作为尺度来看 , 这种变化是微乎其微的 。
推荐阅读
- 显微镜|假如人类可以把显微镜提升到40亿倍,是不是全新的宇宙观?
- 地球|科学家发现证据,表明地球内部或存在大型海洋,这可能吗?
- 恐龙|恐龙也怕患癌症?新发现,科学家在恐龙化石中检测出恶性肿瘤痕迹
- 昆虫|近亿年前的虫珀里藏只“小怪兽”!中国科学家发现昆虫新物种
- 细胞|“首个人类胚胎完整模型”!两篇《自然》报道重大进展
- 火星|火星的水资源没有流失!科学家苦寻多年,原来藏在火星地下
- 昆虫|恐龙时代“臭大姐”竟然长巨角?!我国科学家发现亿年前昆虫新物种
- 新冠病毒抗体|我国科学家刊发重要研究成果:新冠抗体产生后至少可持续9个月
- 疫苗|暗讽中国人?华裔记者造谣中国第5款疫苗,遭美科学家抨击
- 地球|发生了什么?日美专家透露不好消息,地球或不再适合人类居住
