腰椎管狭窄症
文章插图
什么是腰椎管狭窄症?
很多老年人一有腰腿疼 , 就怀疑自己是不是腰椎间盘突出 。 其实 , 真正的腰椎间盘突出症 , 中青年患者占大多数 , 而老人多发的腰腿疼 , 很多是因为椎管狭窄症导致的 。
腰椎管狭窄症是指腰椎管、神经根管、椎间孔变形或狭窄(椎间盘膨出/突出、关节突关节增生内聚、黄韧带增厚)并引起马尾神经受压 , 出现相应临床症状的病症 。
文章插图
什么原因导致的腰椎管狭窄?
1、先天性:发育性腰椎管狭窄
这种椎管狭窄是由先天性发育异常所致 。 包括营养、外伤等原因造成的先天性椎管狭窄 。 大部分人开始可能不出现任何症状 , 但到中年以后 , 由于脊柱的一些老化或损伤 , 会有椎管狭窄症的症状及体征出现 。
后天性:脊柱退变所致
(1)椎间盘突出:当间盘突出时 , 突出的椎间盘会占用管腔的位置 , 从而导致椎管狭窄 。
(2)黄韧带、后纵韧带肥厚:当脊柱出现退化不稳定时 , 黄韧带及后纵韧带受到的应力增高 , 常常会导致其变性或断裂 , 而长期的损伤、修复过程必然使黄韧带、后纵韧带增厚 , 那么椎管管腔的空间就会变小 , 从而导致椎管狭窄 。
(3)关节突关节增生:所谓的关节突关节 , 指的两个椎体之间的关节 。 正常的关节突关节表面是有软骨的 , 活动也比较自如 。 但是当脊柱发生退化后 , 关节表面的软骨磨损 , 出现骨与骨之间的摩擦 , 从而产生骨质增生 。 (原理类似于我们的手经常干活、摩擦会长茧子 。 )这些增生的骨质占用椎管或椎间孔的位置 , 从而出现椎管狭窄 。
(4)椎体滑脱:当椎体发生错位滑脱时 , 因为上下椎管前后移位 , 使椎管进一步变窄 。
文章插图
文章插图
【腰椎管狭窄症|腰椎管狭窄症】会出现哪些症状?
一般椎管狭窄的患者主要的特点是症状重 , 但临床体征轻 。 躺在床上可以没有任何不舒服 , 一下地 , 走几步路 , 两条腿就酸胀的不行 , 坐下休息一会 , 又能继续走 , 这是椎管狭窄症的典型表现 。
下腰痛
常伴有单侧或双侧臀部、大腿外侧胀痛 , 感觉异常或下肢无力 。 行走或站立时症状较重 , 下蹲或平卧时症状减轻或消失 , 活动时感觉骑自行车的体位比较舒适 。
神经性间歇性跛行
腰椎管狭窄症的典型症状 , 是诊断本病重要的临床依据 。
患者常在步行一、二百米 , 甚至是十几米时产生一侧或两侧小腿和足部出现疼痛、麻木、酸胀和无力 , 以致不能继续行走 , 弯腰休息一会或下蹲后症状会立即减轻或消失 , 若继续再走 , 不久疼痛又出现 。 有时也因行走而产生尿意、尿失禁、阴茎勃起等膀胱、直肠障碍 。 脊柱后伸时症状加重 , 前屈时症状减轻 。 这种走走停停的现象即是间歇性跛行 。
文章插图
马尾神经压迫症
出现马鞍区(会阴部)的症状与体征以及括约肌的症状 , 严重者可以导致大、小便失禁、性功能障碍 。
神经根压迫症
有些病人表现为间歇性跛行 , 另一些表现为持续性放射性神经根症状 , 多为酸痛、麻痛、胀痛、窜痛 , 疼痛的程度不同 。 神经根性分布区针刺觉减弱、痛觉异常、肌肉力量减弱及腱反射异常 。
走路前倾
这是一种为减轻疼痛的姿势性代偿 , 通过前倾或前弯 , 使椎管后方的组织拉长 , 黄韧带变薄 , 从而使椎管容积相对增大 , 受压迫的神经暂时得到减压 , 疼痛也能得到缓解 。 所以患者在上山、骑自行车、上楼梯等屈曲姿势下症状也能得到减轻 。
而当腰椎后伸时 , 神经根变短变粗 , 容易受压而产生神经根或马尾刺激症状 。 叧外在后伸时 , 腰椎的黄韧带也松弛形成皱襞增厚使椎间孔变小也压迫或刺激马尾及神经根引起马尾及神经根的刺激症状 。
要做哪些检查呢?
X线
在发育性或混合性椎管狭窄者 , 主要表现为椎管矢状径小 , 椎板、关节突及椎弓根异常肥厚 , 两侧小关节移向中线 , 椎板间隙窄;退变者有明显的骨增生 。 在侧位片上可测量椎管矢状径,14mm以下者示椎管狭窄 , 14~16mm者为相对狭窄 , 在附加因素下可出现症状 , 也可用椎管与椎体的比值来判定是否狭窄 。
文章插图
CT
CT可清楚地显示椎管横断面的骨性结构 , 对侧隐窝狭窄 , 黄韧带肥厚 , 椎间小关节病变及神经孔周围极外型推间盘突出的显示有独特的临床价值 。
文章插图
核磁共振MRI
可提供腰椎管的矢状面、冠状面和轴位横断面上的影像 。 椎管狭窄以T2加权像显示较好 , 脑脊液为高信号 , 产生所谓“脊髓造影”的效果 , 而骨质增生 , 骨赘、间盘均为低信号 , 能清晰地显示椎管狭窄 , 以及对脊髓的压迫情况 。 但对肥大的黄韧带、骨质增生等的判断则不如较高清晰度CT扫描 。
文章插图
可以保守治疗吗?
腰椎管狭窄并不等同于腰椎管狭窄症 。 很多人片子上可以看到腰椎管狭窄 , 但没有不适症状 , 这种情况是不需治疗的 。 只有当影像上有腰椎管狭窄 , 并有相应症状 , 我们才称之为腰椎管狭窄症 , 这时候才需要进行治疗 。
绝对卧床休息
初次发作时 , 应严格卧硬板床休息 , 大、小便都不应下床或坐起 。 卧床休息3周后 , 可以在腰围保护下起床活动 , 3个月内不做弯腰持物动作 。 方法简单有效 , 但较难坚持 。 缓解后 , 应加强腰背肌锻炼 。
文章插图
腰背肌锻炼
文章插图
1、五点式仰卧 , 两下肢伸直 , 两脚后跟、两肘几头后部着地 , 尽力挺胸3-5秒 , 重复10次 。
2、半桥式仰卧 , 两腿弯曲90° , 两上肢自然放松伸直 , 然后将髋、背抬起5-10秒 , 重复10次 。
3、飞燕式俯卧 , 两下肢及上肢伸直并连头部同时抬起3-5秒 , 重复5次 。
4、后伸式站立 , 双手叉腰 , 做腰背后伸 , 重复10次 。
药物治疗
对于首次发作的患者 , 可给予药物治疗 , 常用的口服药物以消炎镇痛、消除神经根水肿、营养神经为目的 , 比如非甾体消炎药、马栗种子提取物、甲钴胺等 , 症状严重的可以给予静脉用药 , 比如甘露醇及糖皮质激素的应用 。
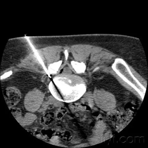
选择性神经根阻滞(特色技术)
对一部分患者效果明显 , 可明显减轻间歇性跛行症状 。
该手术是在可视化超声或者CT引导下将穿刺针经椎间孔穿刺到病变神经根处 , 松解粘连的神经根和硬脊膜囊 。 对缓解腰椎间盘突出症的神经根性疼痛有显著疗效 。 通过一次选择性神经根松解阻滞术 , 既可缓解患者腰腿痛症状 , 又可定位引起患者疼痛症状的神经根节段 , 明确诊断 , 为后期行开放性手术精准定位了责任节段 , 可谓“一石二鸟” 。
文章插图
保守治疗效果不好怎么办?
手术适应症:
1.症状严重 , 体征经系统保守治疗3个月以上明显无效者 。
2.神经根和马尾神经广泛被压受损或瘫痪者 。
3.腰椎间盘突出合并腰椎惟管狭窄者 。
4.椎管狭窄合并腰椎峡部裂与滑脱 。
5.经椎管造影、CT或MRI证实有局部明显狭窄并伴有相应的临床症状者 。
手术原则:
要求显露充分 , 去除病变 , 彻底解除神经根和马尾神经的压迫 , 同时应尽量保留可以保留的骨和软组织结构以减少损伤并保持脊柱的稳定性 。
手术方式:
减压融合内固定 , 可以采用传统常规治疗方式包括椎板开窗、半椎板切除、全椎板切除等 , 融合常选用椎间融合技术 。
文章插图
手术后要注意什么?
症状缓解后 , 应加强腰腹部及下肢肌肉的锻炼 , 减缓骶棘肌的挛缩和紧张 , 使腰骶角减小 , 并有利于增宽椎管 , 缓解压迫 , 调整静脉回流 , 减轻疼痛 , 恢复正常姿势 。
腰背肌锻炼
锻炼方式有“飞燕点水式”、“三点式”、“五点式”、“拱桥式”等支撑练功的方法 , 循序渐进 , 以增强腰部肌力 。
下肢锻炼可脚踩空车 , 仰卧蹬空 , 侧卧外摆等动作 , 有利于增强腿部肌力 。
合理的劳动姿势
搬抬重物时 , 髋膝弯曲下蹲 , 腰背伸直 , 重物紧压身体后 , 方能用力起立和迈步 。 当在背或扛重物时 , 胸稍前弯 , 髋膝稍屈 , 迈步稳 , 步子不宜大 。 睡觉时 , 头颈部要自然中立位 , 双髋双膝稍屈 , 并避免机体受风着凉受潮 。
文章插图
良好的生活习惯
坐立、或伏案工作不要太久 , 应该避免因长期保持一种姿势所带来的软组织疲劳 , 剧烈运动前 , 注意准备活动及保护 。
对于使用腰部劳动强度大的职业 , 要配戴有保护作用的宽腰带 。 预防椎管狭窄首先要有良好的生活习惯 , 比如不宜坐位或低头过久等等 。 要从日常的生活习惯开始 , 养成良好的姿势 。
文章插图
推荐阅读
- 美食推荐:番茄鸡,糖醋排骨,青椒酿肉,皮蛋腰花的做法
- 美食推荐:土豆炒芹菜,菠菜拌猪肝,西红柿豆腐,老干妈炒腰花
- 腰椎间盘突出症|经常腰痛,可能与哪些疾病有关?别再拖下去了
- 美食推荐酸辣白菜、蘑菇杂炒、老干妈炒腰花、香菇笋干茶碗蒸!
- 腰椎|灵素馆干货分享,如何准确定位腰椎?
- 美食推荐:西红柿烧茄子,清炒牛肉,爆炒肉皮,肝腰合炒的做法
- 家味美食:香辣花蛤,茄子豆角,木耳炒腰花,蒜台回锅肉的做法
- 腰椎间盘突出|腰椎间盘突出、膨出、脱出傻傻分不清?一次给你解答清楚!
- 比节食瘦身,便秘消失,腹部不鼓,腰细腿细,皮肤变得娇嫩
- 天然“清肠高手”是它,隔天吃一盘,雀斑不来找,腰围变细还滋补
