【脑出血|健康科普|脑出血高发季,只有认识它,才能预防它!】什么是脑出血
脑出血是指非外伤性脑实质内血管破裂引起的出血 , 占全部脑卒中的20%~30% , 发生的原因主要与脑血管的病变有关 , 即与高血脂、糖尿病、高血压、血管的老化、吸烟等密切相关 。 脑出血的患者往往由于情绪激动、费劲用力时突然发病 , 早期死亡率很高 , 幸存者中多数留有不同程度的运动障碍、认知障碍、言语吞咽障碍等后遗症 。 常见病因是高血压合并细小动脉硬化 , 其他包括脑血管畸形、动脉瘤、血液病、血管炎、瘤卒中等 。
脑出血的诱发因素有哪些
脑出血的诱发因素有以下几点:
1.精神因素:由于过分激动 , 心跳加快 , 血压上升 , 诱发血管破裂;
2. 过度劳累:精神紧张 , 过度疲劳 , 容易诱发脑出血;
3. 不良习惯:如酗酒、暴饮暴食等
4. 气候变换:天气寒冷 , 血管收缩、血压升高、血管脆性增加 , 容易导致脑出血 。
5. 不规律服药:随意停用或者不规律服用降压药 , 血压波动大 , 服用抗凝药物、抗栓药物等 , 均可能导致脑出血 。
提到脑出血 , 大家首先想到的可能就是多见于老年人的高血压脑出血 , 其实除了高血压脑出血 , 常见的自发性脑出血还有一些其它常见类型 , 比如动静脉畸形导致的脑出血、动脉瘤破裂造成的蛛网膜下腔出血 , 以及老年人的慢性硬膜下血肿 。 下面我与大家一一介绍 。
文章插图
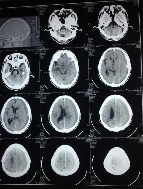
高血压脑出血 , 顾名思义 , 由于高血压造成的脑出血 , 其实高血压脑出血不是一日之功 , 首先人的脑血管随着年龄会发生粥样硬化 , 尤其当合并高血压、糖尿病、高脂血症、吸烟等危险因素时 , 加上人的脑血管较全身其它血管管壁要薄 , 由于情绪、天气、便秘、屏气等动作导致血压突升 , 从而引发硬化的血管发生破裂 。 最常见的破裂血管是起源于颅底大血管的穿通支 , 主要供应人的基底节、丘脑、桥脑等部位 , 因此 , 高血压脑出血最常见于基底节区(图1)、丘脑、桥脑(图2)等部位 , 也可见于小脑、大脑皮层、脑室等 。 由于出血部位深在 , 且位于人脑的重要功能区 , 因此高血压脑出血有着极高的致死率和致残率 , 而且手术效果不佳 。 所以 , 预防比治疗显得更为重要 , 随着高血压、糖尿病、高脂血症的逐渐低龄化 , 高血压脑出血也不再是老年人的专利 , 中青年的高血压脑出血也不算罕见了 。 如果发现高血压、高血脂及高血糖一定要及时治疗 , 防患于未然 。
文章插图
图1
文章插图
图2
而另外一种脑出血——动静脉畸形造成的脑出血则更多见于青年人 。 顾名思义 , 所谓畸形是指脑血管的先天发育异常 , 准确的说是脑内的一团相互缠绕的管径大小不同的异常血管团 , 加上供血动脉和引流静脉构成 , 简称AVM(图3 , 图4) 。 AVM的供血动脉和引流静脉之间无毛细血管而直接沟通形成数量不等的窦道 , 血液由供血动脉流入畸形血管团 , 通过窦道直入静脉 , 由于缺乏毛细血管结构 , 血管壁发育不完善 , 加上长期血流冲击 , 易在畸形图案内部出现微小动脉瘤 , 造成出血 , AVM的出血常见于大脑皮层 , 也可以见于脑室旁、侧裂等部位 , 除了出血 , AVM患者还可能以癫痫或头疼做为首发症状 , 对于不合并高血压的年轻人的脑出血一定要警惕AVM 。 AVM的治疗方法主要有手术切除和介入栓塞治疗 , 具体哪种方法需要医生根据AVM的部位、大小、造影结果决定 。
文章插图
图3
文章插图
图4
前面两种脑出血一般都表现为脑实质内的出血 , 还有另外一种更为凶险的脑出血——自发性蛛网膜下腔出血(图5) , 是指发生于蛛网膜下腔的自发出血 , 这种出血多数都是由于大脑动脉的动脉瘤(图6)破裂造成 , 动脉瘤一般发生于人脑的大血管 , 这些大血管进入颅内后先走形于脑底部的蛛网膜下腔内 , 与颅外血管比较 , 脑血管中膜层和外膜缺乏弹力纤维 , 中层肌纤维少、外膜薄、内弹力层更加发达隆凸 , 在蛛网膜下腔内支撑结缔组织少 , 以及血液动力学改变 , 均可促使进动脉瘤形成 。 获得性内弹力层的破坏是囊性脑动脉瘤形成的必要条件 , 动脉硬化、炎性反应和蛋白水解酶活性增加促使内弹力层退变 。 高血压并非动脉瘤的主要致病因素 , 但能促进囊性动脉瘤形成和发展 。 简单的说 , 颅内动脉瘤就像汽车轮胎的鼓包 , 这种鼓包一般是由于动脉炎症或长期血流冲击造成 。 由于动脉瘤壁缺乏完整的血管结构 , 因此容易破裂出血 , 由于动脉瘤一般发生于颅内的大血管 , 因此动脉瘤一旦破裂出血一般都很凶险 , 死亡率大约25% , 幸存者致残率也接近50% , 对于典型的蛛网膜下腔出血应高度怀疑颅内动脉瘤 , 如有条件尽早夹闭或栓塞动脉瘤 , 杜绝其再次破裂出血是挽救患者的唯一方法 。
文章插图
图5
文章插图
图6
还有一种常见于老年人的脑出血叫慢性硬膜下出血(图7) , 这种出血一般发展缓慢 , 多有轻微的外伤史 , 有的外伤很轻微甚至无法回忆 , 因此一般只有一半的患者能回忆起有近期的外伤史 , 比如摔倒、头部磕磕碰碰等 。 慢性硬膜下血肿多发生于外伤后数周至数月内 , 老年人多见 , 与老年人脑萎缩 , 脑组织相对容易移位有关系 , 发生隐匿 , 早期症状表现轻微 , 比如头痛、精神差等 , 严重可能有走路不稳或肢体无力 , 因此 , 对于有近期外伤史的老年人 , 一旦出现肢体无力、走路不稳等 , 一定带老人查个头颅CT来除外慢性硬膜下血肿 , 慢性硬膜下血肿治疗效果一般较好 , 多数患者只需要一个简单的钻孔引流就可以治愈 。 因此 , 对于慢性硬膜下血肿 , 应早发现早治疗 , 预后一般良好 。
文章插图
图7
上面讲到的是脑出血的常见类型 , 当然 , 除了高血压、动静脉畸形、动脉瘤、颅脑外伤等原因外 , 还有其它少见原因引起的脑出血需要专业医生根据患者年龄、病史、影像学检查做仔细鉴别 , 针对不同原因的脑出血采取不同的治疗方案 。
专家介绍
文章插图
黄灿, 脑病科主任 , 主治医师 , 毕业于泰山医学院临床医学专业 , 山东省中医药大学西学中研究生 , 中西医结合学会职业病专业委员会委员 , 从事临床工作15年 , 对内科的高血压病、冠心病、慢支、脑血管病等常见病有丰富经验 , 擅长急、危重症病人的抢救与系统治疗 。
温馨小贴士
如果大家对脑出血还有疑问 , 欢迎到兖州区中医医院脑病科咨询 , 我们本着“一切以患者为中心”的原则 , 一心一意为患者服务 , 在广大患者群体中建立了良好的口碑 。 将来我们会更加努力 , 为区域内患者减少不必要的担忧 , 并制定合理的、个体化的治疗方案 , 避免过度诊疗和贻误诊治 , 更好地服务百姓 。
编 辑 |柴壮
审 核 |黄灿
运 营 |兖州区中医医院宣传科
文章插图
推荐阅读
- 冬天到了,教你几道暖胃家常菜,营养健康,孩子营养不发愁!
- 几道家常菜,食材健康,做法简单快捷,一年四季适合吃的
- 北方基因聊健康:炒饭,让剩饭也变成美味
- 杨振宁|清华大学:“物理学家杨振宁近日逝世”系谣言,先生身体健康
- 七种蔬菜自带“有害物质”,食用前要焯水,为了健康别图省事
- 杨振宁|杨振宁教授去世?清华大学已辟谣:先生当前身体健康
- 鲜香多汁,味美飘香,健康美味,家乡味“美滋滋”营养好吃
- 冬天,吃白菜吃菠菜不如它,营养极高,视力好了,肝脏也健康了
- 新冠肺炎疫苗|科普▎您关心的新冠肺炎疫苗问题,全在这里~
- 健康又快捷的早餐首选,中式汉堡,自己做也很好吃
