效果|抗老护肤品怎么用,效果最好?丨AD

文章图片
大家好啊,我是刀刀。
北京的疫情开始平缓之后,终于有机会和朋友们又聚了一下,发现毕业之后大家现在谈的比较多的一个话题,还是抗老这个事儿。

文章图片
图片来源:giphy.com
但很多朋友也觉得,护肤品的抗老总感觉好像没啥用似的,产品用了不少,效果却好像看不出来,后台也有很多同学有类似的问题或吐槽:

文章图片
所以今天我就来和你们说说,为什么很多时候大家会觉得抗老产品没啥用,我们到底应该怎么抗老才能事半功倍~

文章图片
为什么你的抗老产品没有用
之所以觉得抗老产品没有用,一方面是因为抗老产品确实是一个慢工出细活的过程,不像去角质是一下子就有效果的。
另一方面,也是发现很多同学其他一些地方并没有做好。
刀刀我也总结了一下,一共有三点。
首先第一点,就是没有做好预防和护理。

文章图片
图片来源:giphy.com
一定不要忽视预防
对于皮肤衰老,我们也说过很多次了,其实就是两方面:
内部因素,随着年龄的衰老,更多和遗传有关系,你我也没啥太多办法;
外部因素,比如紫外线、吸烟、熬夜、环境污染等等。
对于多数同学来说,外部因素一点一点的积累,最终就会让皮肤的衰老越来越快,年龄的痕迹越发明显。

文章图片
图片来源:shutterstock.com
很多同学说,那要怎么做呢?对于紫外线还有很多防护方法,那空气污染、二手烟、加班熬夜真的避免不了啊。
这里其实就是很多同学的一个小误区,那就是觉得只有直接针对问题的方法,才算预防。
但同时还有一个方面,也就是修护,同样非常重要。比如说,无论是紫外线、吸烟还是熬夜,都通过产生过量自由基来对皮肤造成伤害的,造成了皱纹这样的现象。

文章图片
图片来源:giphy.com
比如下面是典型的光老化导致的皱纹,在向下凹陷的皱纹处透明角质颗粒是明显更少的,胶原蛋白 VI 和 VII 的含量也明显少于两侧和上层,紫外线带来的自由基对皮肤组织和细胞的攻击可是「居功至伟」啊。

文章图片
Leslie Baumann, Cosmetic Dermatology
所以说,除了减少紫外线伤害、少抽烟、少熬夜这样的预防措施之外,仍然也要留意对皮肤的修护。预防措施像是拒低于国门之外,而修护过程则像是清扫少量进入国内的不法之徒了,两个方面都是非常重要的。
没有认识到修护才是抗老的基础
之所以说修护是抗老的基础,道理其实很简单,那就是在正常的表象之下,很多皮肤衰老的问题可能已经发生了。
如果光是忙着解决那么「可见」的问题,那可能就会忽略潜在的问题了。
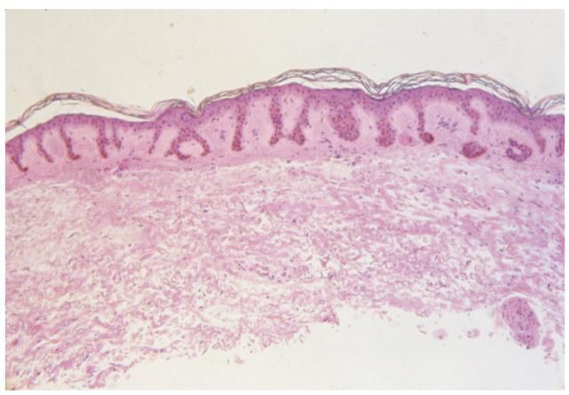
还是拿大家最熟悉的光老化举个例子吧。比如下图里真皮层的弹性组织变性,虽然通染色的方式看得已经很清晰了,但如果只是用肉眼去看皮肤表面,其实异常程度并没有那么突出。

文章图片
Leslie Baumann, Cosmetic Dermatology
再比如下面这位姑娘,从左边其实也看不出很明显的光老化迹象,但在右边在专业仪器下,就会发现紫外线导致的光老化已经不能忽视了。

文章图片
Leslie Baumann, Cosmetic Dermatology
所以,在考虑如何高效抗老的时候,一定也要记得做好皮肤内在的修护,不能光盯着皮肤表面的变化,才能让抗老效果事半功倍。
没有选对适合的抗老产品
最后就是产品了,像前面说的,很多同学会在抗老的同时忽略对皮肤的修护,也推荐大家在选择产品的时候把她们结合起来,更有希望实现满意的效果。
而很多同学的抗老产品却没有用出效果,有时候也和产品选择也是有关的。
一方面当然和产品中功效成分的浓度有关,虽然很多时候成分很好,但添加量不够也是很难见效的。
但另一方面,也许成分和产品本身的侧重有关。比如虽然都是「抗老」,但不同的产品侧重点也许会不一样。抗自由基类整体会更擅长预防皮肤的加速衰老,多肽类相对更擅长对表情纹的改善,而A醇类虽然在对抗皱纹上很突出但对于肤色暗沉没有光泽就帮助不是很大。
所以,选择一款能同时兼顾抗自由基、皱纹改善、紧致提亮这些不同方面的抗老修护的产品就非常重要了,而且精简之后省去了很多麻烦。
如果是这样的话,刀刀就推荐你们一定要试试LA MER 浓缩精华了,这是她家一款我超喜欢的新品。

文章图片

文章图片
LA MER 浓缩精华
海蓝之谜这个牌子许多同学应该也熟悉,像精华面霜、修护精粹液和浓缩精华等等,都是不少同学的心头好,我也一样。
之前的浓缩精华就是她家的明星产品之一,我一直在用,从使用感到功效,真是叫人想不爱都难。
今年她家又做了全新的升级!
全新升级的新升级的 LA MER 浓缩精华不只有非常好的急救效果,每天使用效果也非常令人惊艳。有这一瓶,在精简护肤的前提下深透修护维稳和全面抗老都能实现~

文章图片
它在配方上也做了迭代,不仅通过科技手段得到更高浓度的「浓缩神奇活性精萃」,还增加了超强抗氧化成分「酸橙茶精粹」。
【 效果|抗老护肤品怎么用,效果最好?丨AD】整体看下来,产品的抗氧化抗自由基的能力更强,修护抗老的效果更全面而显著,而且对于色素沉淀和肤色不均的情况也会有帮助,功效上绝对算是拳拳到肉了。
成分优秀
神奇活性精萃一直是 LA MER 的当家成分。但今年她家又做了新升级,把从深海海域中提取采集的藻提取物,通过发酵、低温真空萃炼,得到了超高浓度的「浓缩神奇活性精萃」。
这种以藻提取物为主的复合成分有非常好的舒缓镇定功效,同时其中还富含多种植物油和矿物质,有很好的保湿、抗自由基效果。
酸橙茶精华我们在普通产品中更常见的是来檬果皮油的形式,而海蓝之谜用了不一样的提纯方式得到来檬果皮提取物,护肤效果自然也是非常能打的。
再加上酵母提取物等抗氧化剂,使得整个产品的综合抗老能力全面而且强力,效果当然是更上一层楼了。

文章图片
像是熬夜后的面色暗沉,其实很容易显得皮肤更加衰老,而这些方面有了它也都感觉好了很多。
平常皮肤泛红等一类的敏感问题,靠它缓解也挺好的。如果是喜欢做医美的同学,也能用它来做医美前后的修护。
综合来看,日常深修护搭配强抗氧,两者强强联合、协同作用,整体的效果当然是会很不错了。
肤感超棒
虽然是新品,但作为在进化论工作的福利,我也用了有一段时间了。
原本还算容易敏感的皮肤这段时间就一直还很稳定,而且感觉脸上一些暗沉的斑点也没有之前那么明显了,皮肤整体看起来透亮了很多。

文章图片
这款精华的质地是半透明浓稠状态,但和看上去不同,实际使用但时候并不会觉得粘腻,上脸还挺舒服的,也很好推开,吸收感很好,延展性、水润度也非常不错。
上脸涂开以后,脸部感觉水水嫩嫩的,看着好像更有光泽感了,皮肤看起来也细腻了一点~

文章图片
近距离下也能看出皮肤光泽度和细腻度变得很好
原本每年这个换季的时候皮肤总会觉得有些这样那样的不对劲,但我最近每天都在用它,今年不仅皮肤状态很稳定,像干痒啊、泛红啊、敏感啊这样一些情况就都没有留意到再出现了,而且脸上的一些肤色不匀的小瑕疵也觉得有改善,就感觉这款精华似乎咋用都行,日常的抗老、修护,或者特殊情况下用来救急维稳效果都特别好~
整体看下来,海蓝之谜浓缩精华是一款非常适合当季入手的高效抗老修护精华,继承了修护精华优点的同时,升级后的「酸橙茶精萃」和更高浓度的「浓缩神奇活性精萃」也让抗老功效更强,无论是抗初老还是熟龄肌的抗老需求,都是非常值的一个选择了。
不仅功效优秀,这支全新的浓缩精华在肤感上也平衡得很好,滋润效果优秀持久但又不会觉得厚重,使用过程中就觉得很治愈。后续上妆也觉得皮肤嘭嘭的,
今天的文章就到这里啦,大家可以在评论区留言谈谈关于海蓝之谜的使用感受,给大家参考一下吧。
护肤的知识又增加了?
点个「在看」分享出去吧!
推荐阅读
- 红蜘蛛|防治红蜘蛛与蚜虫,阿维菌素与哪种农药复配,可以提高防治的效果
- “木耳”最忌讳拿水直接泡,今天教给你1招,即节省时间效果也好
- 烙饼别再用“冷水”或“开水”了,30年面点大厨:用它效果最好
- 透明质酸|护肤品中的透明质酸到底有什么作用?
- 护肤品|美白淡斑护肤品,能淡化哪些斑?
- 没人要的菜叶子,养生效果居然这么好,戒烟止咳找它没错
- 水溶肥|优质水溶肥用了不少却没效果?
- 疫苗|中方疫苗效果如何?巴西州长证实,超出了很多人的预期
- 过年吃这道菜 可以清理血管垃圾 有排毒护肾效果
- 茄子|茄子追肥效果不好?茄子追肥方法
