脊髓|“第五脑室”不是“透明隔间腔”,那它在哪里?
前言
关于第五脑室(the fifth ventricle)的概念 , 从国内能够查到的中文医学资料包括医学教科书、著作、文献及网络文字中 , 其定义基本是一致的 , 即第五脑室也称透明隔间腔 。 国内几乎所有医务工作者一直笃信此定义 。 然而 , 在国外的文献报道中 , 第五脑室通常被定义为位于脊髓圆锥并由室管膜组织包绕的囊腔[1] , 而不是透明隔间腔 , 因为透明隔间腔的组织结构与脑室不同[2] 。 笔者通过对第五脑室的定义、形成机制、临床表现和预后 , 及其影像诊断和鉴别诊断等方面进行描述 , 以便国内读者能够重新正确认识这一概念 。
概述
第五脑室 , 也称终室(ventriculus terminalis, VT) , 是位于脊髓圆锥内、由正常室管膜组织包绕且内含脑脊液的囊性腔室[1] 。 该腔室结构由Stilling在1859年首次描述为与蛛网膜下腔相通且扩张的脊髓中央管 , 但Krause 不认同Stilling提出的该腔室与蛛网膜下腔相通的观点 , 并于1875年在观察到这个囊腔的壁是由正常室管膜细胞构成后提出了“第五脑室”这一概念[1] 。 透明隔间腔是在颅内两层透明隔之间形成的腔隙 , 它的上界为胼胝体体部 , 前下方为胼胝体膝部及嘴部和前联合 , 底部和后方为穹窿 。 透明隔间腔被认为是人脑发育过程中的正常结构 , 通常在出生后的几个月内闭合 , 但该结构亦存在于少数成人中 。 但是 , 将透明隔间腔称为“第五脑室”是不正确的 , 因为它的内壁未衬有室管膜细胞 , 其内含有的液体也通常与脑室系统不同 , 因此透明隔间腔不具备脑室的组织结构特征[2] 。 第五脑室可以发生在任何年龄 , 与中年人相比 , 儿童早期和老年人的第五脑室更大[1] 。 Coleman等[3]的研究表明第五脑室在年龄
形成机制
第五脑室形成的机制目前尚未明确[5] 。 脊髓的胚胎发育可以分为3个阶段:神经胚形成、管道生成和退行分化 。 神经胚形成大约完成于胚胎发育第4周 , 脊髓的主体部分起源于它 。 脊髓圆锥、终丝和终室结构的发育发生于随后的管道生成和退行分化阶段 。 这些结构的形成均来自空泡化的尾部细胞团的第二末端神经管 。 持续发生合并的空泡形成了室管膜管[6] 。 在胚胎发育的第5.5周 , 上部的室管膜管扩张并形成了脊髓圆锥内的终室即第五脑室 , 下部的室管膜管和尾部细胞团经退化形成了纤维结构——终丝 , 有时终室可以延伸入终丝区域[7] 。 由于第五脑室的发育过程多变 , 导致了它既可以是与脊髓中央管相通的单个囊腔(通常发生于儿童阶段) , 也可以是与脊髓中央管不相通的孤立囊腔[6] 。
临床表现、治疗及预后
在儿童时期 , 无临床症状的第五脑室被认为是一种正常发育现象[3] , 无需进行干预 。 但是 , 也有部分具有第五脑室的儿童合并一些先天性畸形 , 例如脊髓栓系综合征、Chiari Ⅰ型畸形、脊髓脊膜膨出和腰骶部脂肪瘤等[8 9] 。 成人的第五脑室可以无任何临床症状 , 但当脊髓圆锥受到第五脑室压迫时 , 可产生括约肌功能障碍、运动和感觉功能异常、背痛、坐骨神经痛及尿潴留等临床症状[10 11] 。 当患者症状较轻或无特异性的神经相关性症状时 , 应当采取保守治疗并定期进行临床和影像检查 , 以评估其随时间而变化的情况 。 只有当患者的临床症状比较严重或持续进展时 , 才考虑第五脑室的手术治疗 。 手术治疗通常可以明显改善术前由第五脑室导致的临床症状 。 第五脑室属于良性改变 , 预后较好 , 囊腔可在随访的数年中无明显变化 , 术后的病灶残留亦可长期保持稳定状态 。 第五脑室的体积与临床症状的程度之间并没有正比关系 , 但第五脑室的大小与术后的疗效有关 , 直径越大的囊腔疗效越差[7] 。
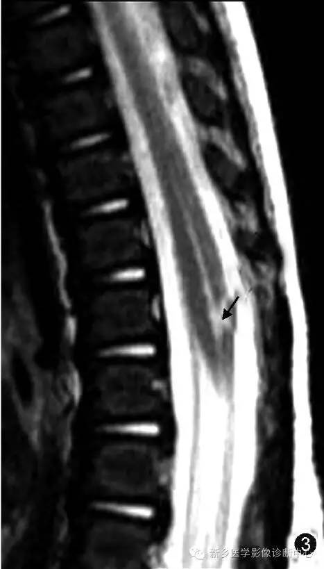
影像表现和鉴别诊断
超声是诊断胎儿或新生儿第五脑室的一种常用检查方法[12](图1~3) 。 第五脑室在超声矢状切面图上显示为脊髓圆锥区域囊状扩张的低回声区并可与中央管相通 , 在超声横断切面图上表现为扩张的低回声囊腔且与周围脊髓组织有着较为清楚的分界 。 MR检查为诊断第五脑室的主要手段 。 第五脑室在MRI上通常表现为脊髓圆锥内边缘清楚的卵圆形囊腔 , 形态规则 , 囊壁光整 , 且与周围正常的脊髓组织分界清楚 , 囊内为T1WI低(图4 , 5)、T2WI(图6 , 7)高的脑脊液信号 , 囊内分隔及囊周水肿性改变比较少见 , 增强扫描后囊壁不强化 。 第五脑室需要与位于脊髓圆锥的囊性肿瘤如室管膜瘤、星形细胞瘤以及脓肿相鉴别 , 囊性肿瘤和脓肿的囊壁通常有不同程度的强化 。 脊髓圆锥的转移瘤很少见 , MRI表现通常为肿瘤强化且周围伴有明显水肿[13] 。 脊髓背侧的严重损伤也可发展为囊性病灶 , 但目前报道的大多数第五脑室病例并无外伤病史[6] 。 脊髓内的表皮样囊肿和皮样囊肿由于成分复杂导致MRI表现多变[14] , 而第五脑室的MRI表现单一 。
结语
总之 , 第五脑室是位于脊髓圆锥内的囊性腔室 , 它由正常的室管膜组织包绕且内含脑脊液 , 而颅内的透明隔间腔则不具有脑室的组织结构特征 。 目前 , 越来越多的国外文章已用“终室”一词来替代“第五脑室” 。 我们希望通过此文可让国内读者重新正确认识第五脑室的概念和影像表现 , 并建议采用“终室”来代替“第五脑室”以更准确的描述其特征 。
相关病例
本文图片
本文图片
本文图片
图1~3 男 , 5 d 。 超声矢状切面显示第五脑室是位于脊髓圆锥内且囊壁光滑的囊腔(图1,);
图2为图1的示意图;矢状面T2WI显示第五脑室是位于脊髓圆锥中央的囊性扩张结构 , 囊内呈高信号(图3 , )
图4~7 男 , 45岁 。 腰椎MRI显示第五脑室是位于脊髓圆锥内且囊壁光滑的囊腔 , 囊腔内的脑脊液在矢状面T1WI上呈低信号(图4) , 在横断面T1WI上呈低信号(图5) , 在矢状面T2WI上呈高信号(图6) , 在横断面T2WI上呈高信号(图7) 。
【脊髓|“第五脑室”不是“透明隔间腔”,那它在哪里?】来源:新乡医学影像
推荐阅读
- 浪胃仙|泡泡龙的离世给所有吃播提了醒,浪胃仙顺势决定“转行”,新职业认真的吗?
- 结核|再见吧,“结核君”
- 感受松软海绵蛋糕“弹弹弹”
- 精河县精深加工,把每颗枸杞都“吃干榨尽”!
- 三星堆遗址|三星堆“迁都”猜想|自然灾害说:洪水、地震等致三星堆古城毁亡
- 农民|春分时节小麦田间管理,做好这些工作,高产又优质
- 猴面包树|这种树“能吃能喝还能住”,养活无数非洲人,引进中国后画风变了
- 早餐的新吃法,“透明饺子”简单好学,孩子看了都超级爱吃!
- 想吃点心不用买,教你在家做“驴打滚”,不用烤箱,软糯香甜!
- 它,有“蔬菜之王”的美称,炒一炒就出锅,清爽可口,好吃不胖
