脑梗死|人到中年,不想脑梗死,远离一物,做到二个坚决,让你生活更健康
脑梗死 , 是脑卒中的一种 。
全世界而言 , 每6秒就有一个人死于脑卒中 。
每6分钟就有一个人 , 因为脑卒中而导致终生残疾 。
而在脑卒中里面 , 脑梗死占绝大多数 , 大约占70%-80% 。
本文图片
人到中年 , 要防脑梗死
近年来 , 我国脑梗高发 , 尤其是中年人 。
多发于55岁 , 之后每增加 10 岁 , 风险将增加一倍 。
随着年龄的增长 , 血管也会变硬、变堵 , 容易形成血栓 。
再加上 , 多年来的不良生活习惯累积 , 也会导致血管出现病变 。
如此一来 , 增加了脑梗的发生几率 , 因此 , 人到中年 , 要格外防脑梗 。
本文图片
一旦出现下面几个迹象 , 十有八九脑梗来了 , 及时检查
「1」口角偏向一侧歪斜 。
「2」看东西旋转、走路不稳 。
「3」间断出现瘫痪或口不能言 。
「4」一侧肢体麻木 , 活动不灵活 。
「5」昏睡 , 不能唤醒 , 或呼之不应 。
「6」说话不清楚 , 或理解语言有问题 。
「7」阵发性头痛和头晕 , 并越来越剧烈 。
「8」出现剧烈呕吐、抽搐、大小便失禁等等 。
本文图片
人到中年 , 不想脑梗死 , 远离一物 , 做到二个坚决 , 让你生活更健康
远离一物
——含酒精的饮品 。
饮酒 , 是导致脑梗发生的一大诱因 。
大量饮酒 , 会导致血压升高 , 增加脑梗风险 。
酒精还会直接刺激血管壁 , 使血管失去弹性 , 加速动脉硬化 , 易造成脑血栓的形成 , 从而诱发脑梗 。
并且 , 酒精还可促进脑动脉平滑肌收缩 , 从而降低脑血流量 , 增加脑梗塞的发生率 。
因此 , 人到中年 , 一定要注意坚持戒烟 , 不要贪喝带有酒精的饮品 。
本文图片
做到二个坚决
第一个:坚决保持健康生活方式
1、戒烟
长期大量吸烟 , 也是导致脑梗高发的诱因之一 。
研究表明 , 吸烟者 , 脑梗死风险是不吸烟者的2倍 。
另外 , 长期暴露在二手烟环境中 , 脑梗死风险增加1.82倍 。
香烟燃烧适当的有毒物质会损伤血管内皮 , 促进动脉粥样硬化 , 诱发脑梗 。
人到中年 , 身体遭受了香烟多年的“荼毒” , 此时 , 再难也要坚持戒烟 , 任何时候都不晚 。
本文图片
2、饮食
人到中年 , 饮食要格外注意 , 清淡一点 , 荤素搭配 。
一旦饮食吃得比较咸 , 则容易导致血压升高 , 进而增加脑梗风险 。
吃得油腻 , 会导致血脂异常 , 还会诱发肥胖、糖尿病等 , 亦会增加脑梗几率 。
所以 , 饮食要格外注意 , 清淡一点 , 多吃新鲜的蔬果、杂粮等 , 助力健康 。
本文图片
3、喝茶
饮茶 , 可补充水分 , 促进血液循环 , 减少血管堵塞 。
两餐之间 , 多喝点茶水 , 可疏通血管 , 给血管清清淤 , 减少血栓的形成 。
黄花郎荷叶茶 , 泡水代茶饮 , 消脂排毒 , 改善血液粘稠 , 预防心脑血管疾病 。
将黄花郎、小叶苦丁、荷叶 , 搭配在一起 , 泡水代茶饮 , 简单又方便 。
荷叶 , 药用价值高 , 含有黄酮和生物碱类 , 用其泡水喝 , 有助于改善血液浓粘状态 , 降脂 , 防血栓 , 有益血管健康 。
【脑梗死|人到中年,不想脑梗死,远离一物,做到二个坚决,让你生活更健康】
本文图片
小叶苦丁 , 也是药用的植物 , 用其泡水 , 可降低总胆固醇、甘油三酯、低密度脂蛋白 , 减小动脉粥样硬化斑块面积 , 改善血管堵塞 。
黄花郎 , 十分常见 , 全株可入药 , 用其叶子泡水 , 可降低血清三酰甘油 , 升高高密度脂蛋白 , 改善血脂 , 促进排毒 。
三者搭配在一起 , 泡水喝 , 消脂排毒 , 疏通血管 , 减少血栓形成几率 , 保护心脑血管健康 , 十分有益 。
4、运动
本文图片
研究表明 , 与缺乏运动的人相比 , 体力活动可以降低脑梗死死亡风险27% 。
当然 , 人到中年 , 运动强度、运动的形式因人而异 , 要合理、健康的运动 。
运动时间 , 每周最好达到5天 , 每次30-45分钟 。
运动前 , 要做好热身运动 , 使得身体逐渐适应 , 对身体会非常有益 。
本文图片
对于大多数人来说 , 走路 , 最简单和最方便的运动之一 。
研究显示 , 每天步行超过30分钟的人 , 长寿几率都比其他人高4倍 。
每星期快走75分钟 , 相对于不运动的人 , 平均延长寿命1.8年 。
每星期快走150分钟 , 平均延长寿命约4年(3.4~4.5 年) 。
所以 , 从今天起 , 少久坐 , 迈开腿 , 散散步 , 走走路 , 有益健康 , 促长寿 。
5、睡眠
本文图片
保证良好的睡眠 , 对身体健康 , 尤为重要 。
不论如何 , 都不要熬夜晚睡 , 尤其是中老年人 。
熬夜会导致人长期处于紧张状态 , 易造成血管收缩异常 , 血压比正常人高 , 还容易导致血液粘稠 , 容易诱发血栓等心脑血管疾病 。
所以 , 人到中年 , 保证良好的睡眠 , 晚上十一点前要进入睡眠状态 , 并且 , 清晨起床不要赖床 , 早睡早起 , 助力身体健康 。
本文图片
第二个:坚决做到每年体检
人到中年 , 一定要重视体检 。
从来不去医院 , 不体检 , 一些慢性病就发现不了 。
慢性病 , 比如高血压、糖尿病等都很狡猾 , 一般没什么症状 。
但一旦发现时 , 往往已经很严重了 , 甚至是出现并发症后才被发现 。
所以 , 40岁后 , 如果家里条件还可以 , 就应该每年体检一次 , 防范于未然 。
本文图片
脑梗塞的检查非常多 , 一定要根据当时的具体情况进行具体的对待 。
一般来讲 , 如果是筛查的话 , 最常做的就是颈部血管彩超 , 以及经颅多普勒这俩检查 , 基本上可以大体的反应颈部血管以及颅内血管的一个最基本的形态 , 也是常规的检查 。 花费比较少 , 出结果也相对较快 , 结果的可行性也相对较好 ,
本文图片
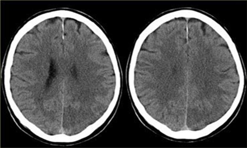
如果确实有一定的问题 , 那么 , 则继续进行下一步的检查 。
一般就是要做头部的CT , 或者是头部的核磁检测 , 这样可以看到颅内是否产生了一定的病变性质 , 比如说脑梗死以及脑梗死的大小 , 位置 , 还有周围一些相应的组织关系 。
图片来源网络 , 如有侵权 , 麻烦联系删除 , 谢谢!
推荐阅读
- 脑梗死|脑梗死和喝酒有没有关系呢?爱喝酒的朋友,应该看看
- 大脑|你的大脑和心理究竟是什么关系?
- 液态金属|脑科学日报:开发用于活体神经记录的可拉伸液态金属电极阵列
- 想吃豆腐脑不用出去买,在家5毛钱能做一大锅,学会就可以开店了
- 做豆腐脑时,不要再加石膏了,加点它,做出的豆腐脑嫩滑如果冻
- 海星|听说胶东半岛海星泛滥,我脑海中出现了108道烹饪方法
- 脑梗|35岁男子,突发脑梗身亡,背后原因引人深思,带你找出脑梗诱因
- 马也|马也会“鸭梨山大”!兽用脑电波判断你的宠物快乐吗?
- 脑梗|从脑梗到死亡,身体会发出3次求救信号,抓住一个,或许能保命!
- 孩子最喜欢营养菜,多让孩子吃,个子嗖嗖猛蹿,头脑聪明视力好
