综合征|不一样的肺出血肾炎综合征
肺出血肾炎综合征 , 是一种产生抗 Goodpasture 的抗体的自身免疫性疾病 。 该综合征主要表现为肺出血和急进性肾小球肾炎 。
97% 的患者循环血中能检测到抗 GBM 抗体 , 且多为多克隆 IgG 。 也曾有报道过 IgA、IgM 或单克隆丙种球蛋白介导的抗 GBM 病 。 活检可见 IgG 沿基底膜线样沉积 。 最常见的组织学类型是严重的坏死和新月体肾小球肾炎 。
治疗包括环磷酰胺、大剂量激素、血浆置换 。
哥伦比亚医学中心的Coley博士首次报道了一例进展缓慢的单克隆 IgG1 κ 沉积的抗 GBM 病 。
病史简介
一名 53 岁的白人男性 , 4 月前上呼吸道病毒性感染后出现无症状肾功能下降 。 否认咯血 , 皮疹 , 关节痛 。 体格检查正常 。
实验室检查:血肌酐 3 mg/dL;白蛋白 4.5 g/dL;血红蛋白 9.9 mg/dL;白细胞 7.8×103/μL;血小板274×103/μL 。
尿检:示镜下血尿 , 尿蛋白肌酐比是 689mg/g 。
血清学检查:抗核抗体、抗中性粒细胞胞浆抗体、抗 GBM 抗体、抗 O 抗体、HBV、HCV 抗体均阴性 。 无低补体血症 。
患者有高血压史及非典型心绞痛 。 服用他汀及异搏定 3 年 。
初次肾活检

文章图片

文章图片
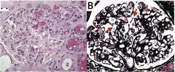
图1. 初次肾活检 。 示(A)轻度弥漫性毛细血管内增生性渗出性肾小球肾炎;(B)箭头示多处GBM断裂;(C)单核巨噬细胞浸润;(D)多量红细胞管型 。
样本见 20 余个肾小球 , 均未见新月体形成 。
免疫荧光结果示单克隆 IgG1 κ 沿基底膜线样沉积:IgG1 阳性;IgG2 阴性;IgG3 阴性;IgG4 阴性;κ 轻链阳性;λ 轻链阴性 。

文章图片
图2. 电镜结果 。 示(A)GBM 典型裂隙 , 内皮细胞和足细胞阻塞 。 初次检查(B)及 9 年后(C)均未见电子致密物沉积 。
血清及尿单克隆蛋白免疫固定电泳均阴性 。 重复血清学检查:抗 GBM 抗体、抗核抗体、抗中性粒细胞胞浆抗体、抗 O 抗体、HBV、HCV 抗体、C3、C4 均阴性或正常 。
治疗过程
给予强的松 80mg/d , 2 个多月后逐渐减量 , 患者血肌酐峰值达 4 mg/dL , eGFR 16mL/min/1.73m2 。
重复肾活检结果一样 。 给予静脉环磷酰胺 750mg/m2 和口服强的松 60mg/d 6个月 , 后改为单用霉酚酸 720mg 一天两次 。
患者数年来都保持良好 , 肌酐稳定在1.7 mg/dL以内(eGFR 42mL/min/1.73m2) 。 持续镜下血尿 , 蛋白尿定量 0.4-1.5 g/d 。
因多种方法均未检测到循环抗 GBM 抗体 , 后采用以正常肾组织为底物的间接免疫荧光 , 仍未检测到 。
PET/CT 及骨髓活检排除骨肉瘤 。 血清游离轻链示 κ 和 λ 轻链正常 。 重复冷凝球蛋白及血清蛋白电泳仍为阴性 。
重复肾活检
九年后患者肾功能出现恶化 , 肌酐 2.15mg/dL , eGFR 31mL/min/1.73m2 。 尿蛋白定量 910mg/d , 上呼吸道感染后出现血尿 。 肾活检结果如图 3 。

文章图片

文章图片
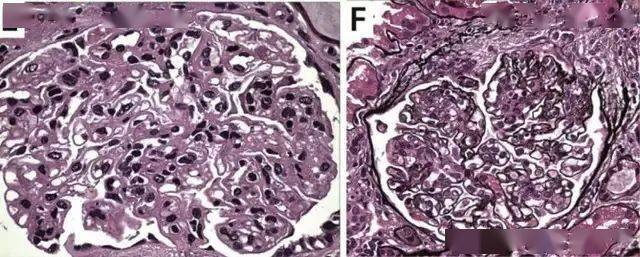
图3. 9年后重复肾活检 。 示(E)轻度弥漫性毛细血管内增生性渗出性肾小球肾炎;(F)一个纤维性新月体;(G)严重的全肾小球硬化 , 中度肾小管间质疤痕 。
免疫荧光仍示 IgG1 κ 沿基底膜线样沉积 , GBM 多处断裂 , 未见电子致密物沉积 。 重复抗 GBM 抗体仍为阴性 。
间隔两周使用 2 倍剂量利妥昔单抗(1g) 。
患者肌酐 1.9mg/dL , eGFR 36mL/min/1.73m2 。 尿蛋白肌酐比是 1.7mg/g 。 尿液分析示每高倍镜视野 13 个红细胞 。 继续使用霉酚酸 720mg 一天两次 。
病例讨论
患者病程长 , 但持续进展 。 肾活检显示抗 GBM 肾炎 , 线样沉积 , GBM 断裂 。 罕见的是 , 尽管持续使用免疫抑制剂 , 肾小球硬化仍从 5% 发展到 70% , 肾小管间质疤痕从 10% 到 40% 。
鉴别诊断
1
轻重链沉积病:患者无肾小管基底膜线样沉积及结节样肾小球硬化 , 故排除;
2
单克隆免疫球蛋白沉积的增生性肾小球肾炎:单克隆免疫球蛋白沉积局限在肾小球 , 但无肾小球电子致密物沉积 , 故排除 。
3
GBM 局限性 IgG 沉积及无电子致密物沉积也可见于糖尿病或者单克隆副蛋白血症 , 患者检查后排除 。
通过排除 , 最佳诊断为「 非典型性抗 GBM 肾炎」 。
学习要点
1
抗 GBM 肾炎的非典型特征包括病程缓慢、轻度毛细血管内增生、无纤维素样坏死、肾活检仅见一个纤维性新月体形成、IgG 单克隆沉积、未检测到循环 GBM 特异性抗体等 。
2
酶联免疫吸附法是抗 GBM 抗体检测的经典方法 , 灵敏度为 65%~100% 。 假阳性可能原因是抗 GBM 抗体滴度低或者没有结合 GBM 抗原 。
3
抗 GBM 抗体滴度低和非典型自身抗体特异性也预示着病情轻 。
该患者可能存在循环单克隆 IgG1 κ 抗 GBM 抗体 , 但并没有被检测出来 。 可能原因是抗体滴度低 , 合成慢 , 清除快 , 亲和力低 , 或针对非典型 GBM 抗原 。
该患者免疫荧光染色阴性的原因可能是他产生的抗体是只针对个人的 GBM 。
病程长 , 进展缓慢的原因可能是单克隆抗 GBM 抗体不能有效触发介导典型症状的出现 。
参考文献
Monoclonal IgG1κ Anti–Glomerular Basement Membrane Disease: A Case Report.AJKD.
| | |
PPI | 药物性狼疮 | MGUS | 尿蛋白那点事
| 肾活检 | 低蛋白血症 | GN
| 肾综新解 | TINU
策划 | 徐德宇
【综合征|不一样的肺出血肾炎综合征】题图及插图 | 站酷海洛、参考文献
推荐阅读
- 养老金|2021年上半年办理退休,养老金核算的这些知识要把握
- 量化|量化大师麦教授:美好的不确定性
- 浪胃仙|泡泡龙的离世给所有吃播提了醒,浪胃仙顺势决定“转行”,新职业认真的吗?
- 脑梗死|脑梗死和喝酒有没有关系呢?爱喝酒的朋友,应该看看
- 米歇尔·戴斯玛克特|海奥华预言的真相,地球人被带到九级文明,揭开神话背后的秘密
- 减肥也能吃的小零食,营养美味,低脂低热量,多吃也不怕!
- 1碗面粉,不加水,锅里蒸一蒸,做香甜可口的发糕,比蛋糕还香
- 扇贝最好吃的做法,适合冬日里吃,做法简单好吃不腻,家人超爱吃
- 七种颜色的布丁吃过没有?软糯爽口,Q弹软糯
- 爱吃南瓜饼的收藏,外酥里嫩,香甜软糯,饭桌上必备,做法超简单
