尘肺病|肺里灌满白水泥?7旬大爷呼吸困难,竟是因为年轻时……
随着科技创新发展
或许这一疾病就将湮没在历史中
但这些活生生的病人
【尘肺病|肺里灌满白水泥?7旬大爷呼吸困难,竟是因为年轻时……】仍在遭受病痛的折磨
它——尘肺病 , 不是原发病
是由于长期吸入大量游离粉尘所引发的肺部疾病
其中最常见、危害最大的是“矽肺”
身患此病是一种无法诉说的痛苦
对于这些患者来说
人生剩下的大概只有绝望
因为在医学上
矽肺病被称为“不转移的肺癌”
到目前还没有有效的治疗方法
除了“换肺”
本文图片
01
青春六年挖隧道
年过半百“肺”突然不行了
“用最大的力气呼吸 , 感觉还是徒劳 。 ”在家人眼里 , 70岁的陈大爷(化名)活着也没有了生气 。
“他年轻的时候 , 做过六年的挖隧道工人 , 常年累月在地下 , 当时也没有什么防护意识 , 吸入了大量粉尘 , 后来又到建筑工地做木工 。 ”陈先生说 , 父亲早年身体挺好 , 一直到50岁时 , 开始觉得体力差 , 每到季节更替或气温降低时就觉得胸闷气短 , 容易感冒 , 剧烈地咳嗽咳痰 。
矽肺
本文图片
没办法继续从事重体力工作 , 陈大爷只能选择回家务农 。 “一开始单纯以为是年纪大了 , 后来到了当地医院检查 , 医生说是慢性支气管炎合并肺结核 , 于是一直按照这一方向治疗 , 但是始终没见好转 。 ”
病情时好时坏 , 半拖半带地过了近二十年 。
每天气喘吁吁 , 吃顿饭要歇上好几回 , 日常活动的区域就是自家小院子 , 家里的二楼已经十年没走上去过了 。
然而没料到从去年开始 , 陈大爷的病情急转直下 , 就连院子里走两步都喘不上气 , 人一下消瘦十来斤 , “1.64米身高 , 体重只有80斤 。 ”
家人先带陈大爷到南京 , 经过气管镜检查 , 发现两肺黏膜有大量色素沉着 , 考虑是矽肺 。
02
二十多年误诊了吗?
矽肺与肺结核有什么关系?
矽肺的并发症包括 , 肺结核、肺部感染、慢性阻塞性肺炎、自发性气胸以及肺癌等 。
“因为矽肺会造成肺部损伤 , 肺功能以及肺部抵抗力下降 , 更容易感染结核杆菌 , 从而出现肺结核 , 且合并多种并发症 , 治疗难度大 。 ”树兰(杭州)医院呼吸与危重症医学科杨莉医生介绍 , 陈大爷还存在慢性阻塞性肺病急性加重期 , 以及肺动脉高压 。
“因为父亲病情太重无法坐火车 , 所以我们一路开车从安徽到杭州 , 当时父亲是坐着轮椅推进杨医生门诊的 。 ”陈先生说 , 他们一家也咨询了解许多 , 如今病情危重 , 他们也考虑为父亲选择“肺移植”手术 。
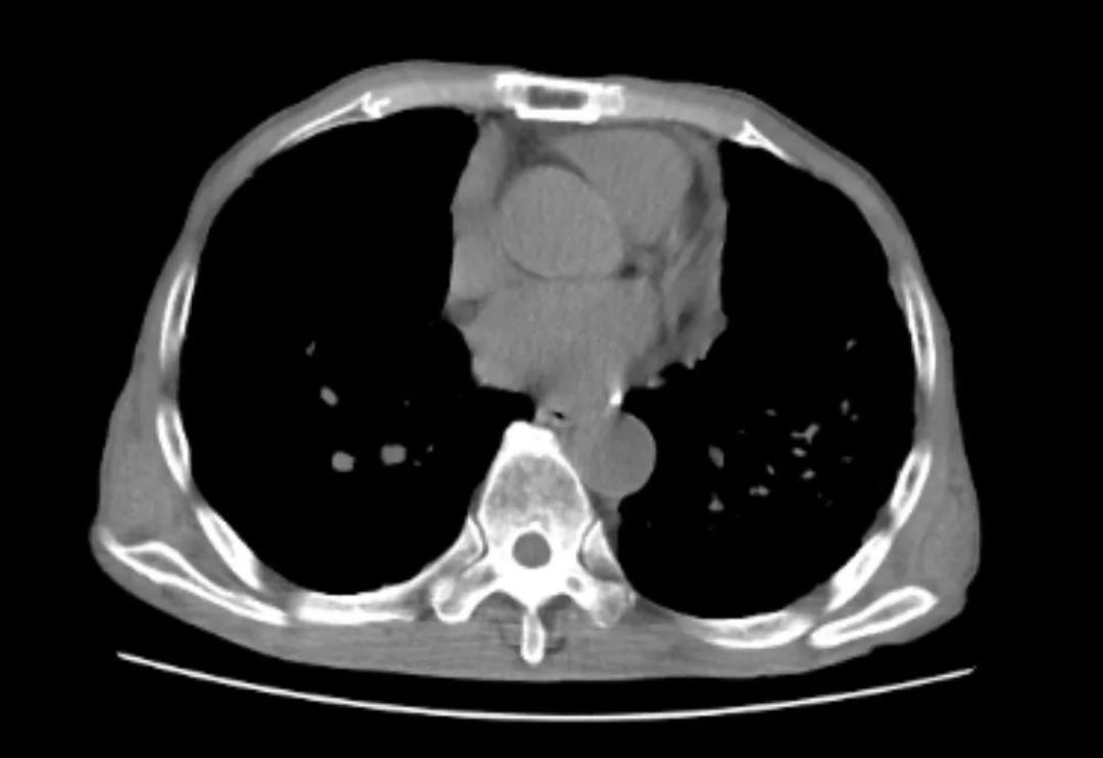
经过入院胸部CT检查 , 可见陈大爷肺内多发由于粉尘沉积引起的肺部肿块 , 融合成团 , 如同白色水泥团块一样 , 紧紧地附着在患者两处肺门的地方 , 初步诊断矽肺 。
本文图片
陈大爷的CT报告
本文图片
03
康复治疗后
他说:好久没有这么舒服的呼吸了
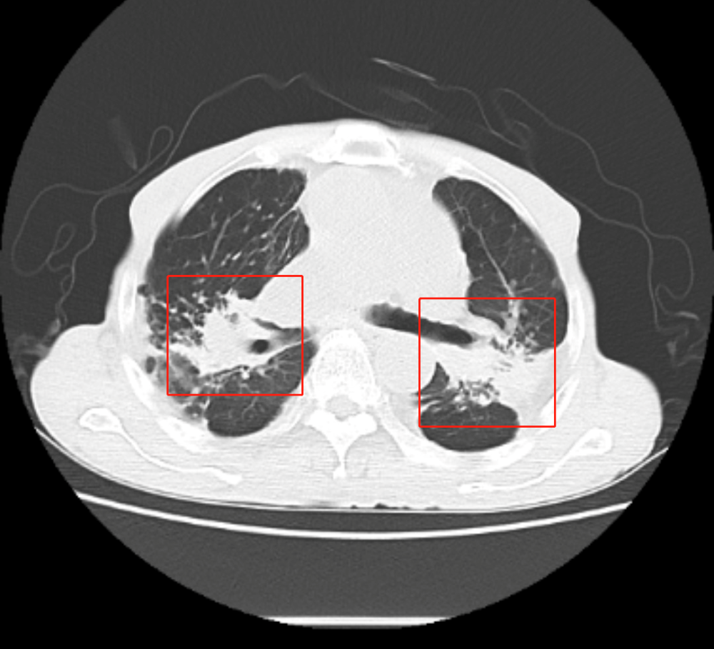
由于长期缺氧状态 , 导致过度消耗 , 陈大爷的营养状况很差 , 四肢消瘦 , 全身瘦到皮包骨 , 力量明显弱于常人 。
考虑到患者年纪以及肺移植等待时间 , 杨莉建议 , 先立即对症治疗 , 同时辅助进行肺功能康复治疗 。
本文图片
患者进行床边踏车以及端坐耸肩运动 , 锻炼肺功能 。
“很多人可能不知道 , 肺功能还可以锻炼提高 , 一些日常动作还是很简单的 , 包括扩胸运动、高抬腿、侧弯腰、原地踏步等等 , 增加体能有氧训练 , 还有呼吸控制、腹式呼吸以及呼吸肌肉训练 , 可以帮助提高呼吸功能 。 ”
本文图片
在呼吸康复治疗师的帮助下 , 陈大爷的肺功能明显好转 , 活动耐量也有所提高 , 6分钟步行距离从304米增加至390米 。
别小看这短短不到一百米的距离 , 陈大爷说:“我已经好久没有这么舒服地呼吸了 , 能够每天完成增加一些训练项目 , 让我重新燃起了希望 , 感受到生活的乐趣!”
Notice
就在这些矽肺病患者努力治疗寻求康复的时候 ,
在很多地方 ,
依然有很多民工在粉尘中为生计而忙碌 。
本文图片
01
什么是职业性尘肺病?
是指在职业活动中长期吸入生产性粉尘并在肺内游留而引起的以肺组织弥漫性纤维化为主的疾病 。
02
尘肺病有哪些临床表现?
早期尘肺病人身体能够代偿,一般没有或只有轻微的自觉症状;随有病变的进展及合并症的出现 , 则可有不同的症状和体征 。
尘肺病人的临床表现主要是以呼吸系统症状为主的咳嗽、咳痰、胸痛、胸闷和气短五大症状 。
03
如何预防尘肺病?
远离尘肺病的关键在于综合预防 , 对于从事粉尘作业的劳动者来说不仅要做好个人防护 , 还要做到有质量有效果的个人防护 , 这样才能达到远离尘肺病的目的和效果 。
根据相关统计数据 , 职业性矽肺病约占全国报告的职业性尘肺病累积和新发疾病的50% , 其他还包括煤工尘肺、石墨尘肺、碳黑尘肺、石棉肺、滑石尘肺、水泥尘肺、云母尘肺、陶工尘肺、铝尘肺、电焊工尘肺、铸工尘肺等13种 。
至今 , 矽肺病仍是对健康危害最严重的一种职业性呼吸系统疾病 , 矽肺发病问题已成为全球重要职业卫生问题 , 引起国际社会的广泛关注 。
本文图片
保护好脆弱的肺
!
别让它受伤
杭州之声采访人员 朱乐艳 通讯员 邹芸 谢晨
版权归原作者所有
编辑:叶璐
推荐阅读
- 三十功名土与尘|最让人难过的词汇
- 灵魂相似的人,总会相逢!
- “江南”和“大连”厂有必要扩大产能吗?速度本就让英法望尘莫及
- 谁的青春,不是一边迷茫一边成长
- 春秋梦 好时节
- 我有一壶酒,足以慰风尘,三星座豁达感恩,知足常乐
- 衡水中学|望尘莫及!衡水中学学霸班倒数第一考631分,全省理科前10名衡中占8人
- 金鹰女神|新一届金鹰女神尘埃落定,居然是我们熟悉的她,杨幂杨紫再度陪跑
- 小区老区改造过程中存在严重的粉尘污染,该怎么办?
- 纪凌尘|十冠王登上新闻联播!易建联专门感谢一人,网友:CBA的牌面
