新冠肺炎|“新冠肺炎”的称呼正确么?
本文图片
pixabay
非典肺炎?错 , 非典也是综合征 。 全称为严重急性呼吸系统综合征 , Severe Acute Respiratory Syndrome , 简称SARS 。
新冠也是一样 , 其实是综合征 。
新冠疫情作为过去百年最严重的疫情 , 人类与它的“战疫”仍在继续 。 在一轮轮的博弈中 , 人类用了极大的代价一层层揭开新冠病毒的神秘面纱 。
疫情暴发初期 , 我们发现感染新冠病毒最显著的特征是出现急性呼吸道疾病 , 于是我们对其的中文命名都绕不开“肺炎”二字 。
随着感染人数越来越多 , 这种“共识”不断被推翻 , 新冠肺炎远比预期复杂 。 (以下将使用WHO的命名:COVID-19 。 )
越来越多证据表明 , 新冠病毒引起的不仅仅是肺部疾病 , 许多新冠患者诱发了肾脏受损、心肌梗死、心脏发炎、脑炎、中风甚至多器官衰竭……
新冠病毒累及的器官不仅仅是肺
2003年的SARS除了能引起呼吸系统感染以外 , 还可感染人体的免疫系统、心脏、肝脏、肾脏、肾上腺、大脑、横文肌间血管等器官 。 跟同属冠状病毒的SARS和MERS一样 , 新冠病毒也引起多器官感染 。
7月10号 , 发表在《自然医学》(Nature Medicine)杂志上的一项研究显示 , COVID-19是一种全身性疾病 。 该研究结合了世界各地新冠患者的资料数据 , 全面阐述了新冠病毒对肺以外器官的影响 。
本文图片
来源:Nature Medicine
文章综述提出 , 新冠病毒可能会影响血液系统、心血管、肾、胃肠肝胆、神经系统、内分泌系统、眼部和皮肤 。
本文图片
COVID-19的常见肺外表现 | 来源:Nature Medicine
此前就有不少研究提出 , 新冠病毒能对肺以外的器官造成损害 。
3月25日 , 发表在《JAMA心脏病学》(JAMA Cardiology)上的一篇论文记录了中国武汉416例因COVID-19住院的患者中 , 有近20%的患者心脏受损 。 在武汉的另一项研究中 , 入住ICU的36名患者中有44%患有心律不齐 。
本文图片
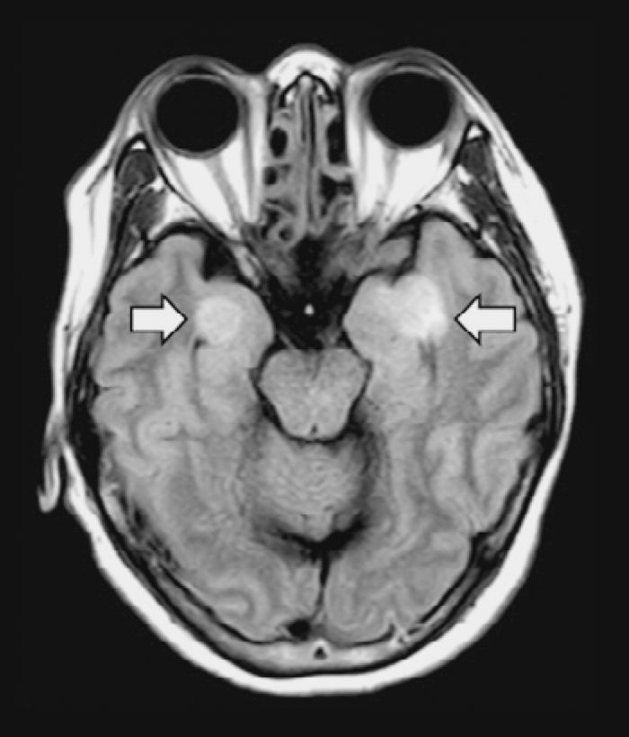
4月3日 , 日本研究小组在《国际传染病杂志》上发表了一项案例研究 , 研究表示在一名患有脑膜炎和脑炎的COVID-19患者的脑脊液中发现了新冠病毒 , 表明新冠病毒也可以攻击大脑和神经系统 。
本文图片
箭头指向为大脑组织受损部位
4月10日 , 《血栓形成研究》(Thrombosis Research)的一篇论文显示 , COVID-19患者可能出现凝血功能异常 。 在荷兰184例COVID-19患者中 , 有38%患者出现凝血功能异常 , 有三分之一的患者已经发生了血液凝结 。 斑块脱落后可能会引起肺栓塞或者脑中风 。
除此之外 , 还有新冠病毒引起皮疹、肾脏和肝脏损害、消化系统损害、生殖系统损害、眼结膜损害的研究报道……诸如此类的文章数不胜数 , 让大家不禁对新冠病毒愈发恐慌 , 它侵入人体的病理机制究竟是怎么样的?
新冠病毒为何能攻击多个器官系统?
从疫情暴发之初我们就知道 , 新冠病毒和SARS一样 , 都是通过病毒表面的S蛋白与受体ACE2结合进入人体细胞 。
而血管、肾脏、肝管、胰腺、肠道和呼吸道内侧的细胞都布满了ACE2受体 , 新冠病毒自然可以打开这些“锁” , 入侵并攻击这些器官 。
本文图片
ACE在不同组织的表达水平
目前的研究显示 , 新冠病毒进入细胞还需TMPRSS2或其他蛋白酶启动S蛋白 。 研究团队回顾相关的病理机制 , 提出感染新冠病毒引起疾病的拟议机制有4种:(1)病毒直接介导的细胞损伤;(2)与病毒进入相关的ACE2下调导致RAAS失调 , 从而导致血管紧张素I和血管紧张素II的裂解减少 。 (3)内皮细胞损伤和血栓性炎症;(4)病毒抑制干扰素信号传导 , T细胞淋巴消耗 , 产生促炎细胞因子 , 特别是IL-6和TNFα , 导致免疫反应失调和过度炎症 。
本文图片
新冠病毒通过S蛋白结合ACE2进入宿主细胞的病理机制
简单说人话就是 , 在TMPRSS2蛋白酶的协助下 , 新冠病毒引起COVID-19的潜在机制包括:病毒直接介导的细胞损伤;RAAS(肾素-血管紧张素-醛固酮系统)系统失调;内皮细胞损伤和血栓炎症;免疫应答异常调节和过度炎症 。
如此看来 , COVID-19的预后有多种 , 不仅仅只是对肺部造成损害 , 中文翻译称之为“新冠病毒病”(中国香港的叫法)或者“综合征”似乎更准确一些 。
【新冠肺炎|“新冠肺炎”的称呼正确么?】关于新冠的研究还在继续 , 深入了解病毒能帮助一线医生更好地进行对症治疗 。 目前 , 新冠病毒对于人类而言仍然有诸多神秘之处 , 我们要走的路还很长……
推荐阅读
- 腾讯控股的保险代理平台“微保”被深圳银保监局处罚
- 台风|今年第7号台风“海高斯”生成 或将明天登陆我国广东沿海
- 被指“双标”特斯拉无奈服软 拼多多是最后赢家吗?
- 未来的大学生活“长啥样”? 来看学长为你写下的万字指南
- 吃鸡将迎来寻宝玩法?新地图遍地宝藏,“古老秘密”开启冒险
- the|新冠肺炎成美国第三大致死原因 仅次于心脏病和癌症
- 小区公共收益成为一笔“糊涂账”?定期公开收支是关键
- 《杀手3》“难寻目标”模式回归!幽灵模式被取消
- “光盘打卡”小程序火了 激励年轻人节约粮食
- 科学探索|揭秘星际物种起源:多个行星孵化器组成“生命之树”
