国际证据越来越多!新冠病毒去年底或已在西方国家传播
据约翰斯·霍普金斯大学统计 , 截至北京时间5月6日9时32分 , 全球累计确诊超366万例 , 累计死亡超25万例 。 新冠疫情全球大爆发 , 最早感染病例出现在哪儿?最近几天 , 美国、英国、法国等西方国家都证实本国在去年底已出现病例 。
CNN5日报道 , 英国研究人员对全球7600名患者身上提取的新冠病毒进行基因分析表明 , 该病毒从去年晚些时候就已经开始在世界范围内传播 , 并且一定是在首例感染后快速地扩散 。

本文图片
美国:尸检结果显示最早病例或在去年10月
5月4日 , 加拿大及英国皇家内科学院院士关玉莲(华裔)在央视连线中透露 , 美国加州三位没去过中国的新冠肺炎患者尸检结果表示 , 美国病例最早的感染时间或在去年10月 。

本文图片
美国加利福尼亚州北部圣克拉拉县有官员在当地时间4月21日透露 , 近日验尸官解剖的三具遗体 , 生前皆出现过流感样症状 , 分别于2月6日、2月17日、3月6日在家中死亡 , 解剖发现这三名死者均感染了新冠病毒 。 该地公共卫生官员萨拉·科迪(Sara Cody)表示 , 此次三名死者遗体解剖结果说明 , 他们死亡时 , 当地据信已经发生大范围的社区传播 。
《华盛顿邮报》引述当地卫生负责人的表态报道称 , “加利福尼亚这三名死于新冠病毒的病人都没有去过中国 。 ”调查发现 , 美国新冠疫情发生的时间远远早于官方公布的时间 。 当地卫生部门负责人表示 , 如果新冠病毒的潜伏期是三到四周的话 , 美国西海岸的传染链从1月初或1月中旬就开始了 , 而不是官方公布的第一例死亡病人的2月29日 。
美国一市长承认:去年11月就已感染新冠病毒
据美媒报道 , 美国新泽西州贝尔维尔市长迈克尔·梅勒姆(Michael Melham)4月30日表示 , 自己在2019年11月就已感染新冠病毒 。 检测结果也显示 , 他已拥有新冠病毒抗体 。
梅勒姆的这一说法 , 令许多人感到吃惊 , 因为美国今年1月20日才报道首例新冠病毒确诊病例 , 比梅勒姆提到的感染日期 , 晚了2个多月 。

本文图片
新泽西州贝尔维尔市长迈克尔·梅勒姆(NJ.com)
尽管官方说法认为梅勒姆当时不可能感染新冠病毒 , 但他还是坚持去做了血液抗体检测 , 4月29日拿到的结果 , 令他的医生非常震惊:检测显示梅勒姆已有新冠病毒抗体 。
4月30日 , 梅勒姆发表声明宣布检测结果 , 并认为此前许多重症流感很可能就是新冠病毒 , “我身边也有很多人告诉我 , 他们曾在去年11、12月生病且症状严重 。 ”梅勒姆还强调 , 他体内的抗体存在时间很长 , 不是最近产生的;他这几个月仅仅去过波多黎各旅行 , 而且是一个人居住 。
美国芝加哥将复查去年11月死亡病例
美国有线电视新闻网(CNN)5月5日报道 , 美国芝加哥卫生部门将复查去年的死亡病例 , 以确定是否由新冠病毒导致 。
库克县发言人德雷维安妮(Derevyanny)说:“我们的目的是弄清楚该病毒是否早已经存在 。 ”复查并未限定于最早11月份的病例 , 如果确认有新冠肺炎导致的死亡 , 医学检查办公室还将进一步往前追查 。
目前芝加哥地区已知的首例新冠肺炎死亡病例发生在3月16日 。
医学论文显示 , 新冠病毒去年12月底已在法国传播
医学期刊《国际抗菌剂杂志》网站显示 , 法国巴黎东北郊塞纳-圣但尼医院集团主持撰写的短篇通讯论文已于5月3日上线发表 , 其标题为《新冠病毒2019年12月底已在法国传播》 。
论文显示 , 研究人员选取了14个在2019年12月2日到2020年1月16日期间因类流感疾病(ILI)入住重症监护室的病例 , 并将其鼻咽拭子从零下80摄氏度的冷藏环境中取出 , 于今年4月6日到4月9日重新进行新冠病毒核酸检测 。 值得注意的是 , 这些病例在入院时接受FilmArray快速呼吸道病原体检测结果呈阴性 。
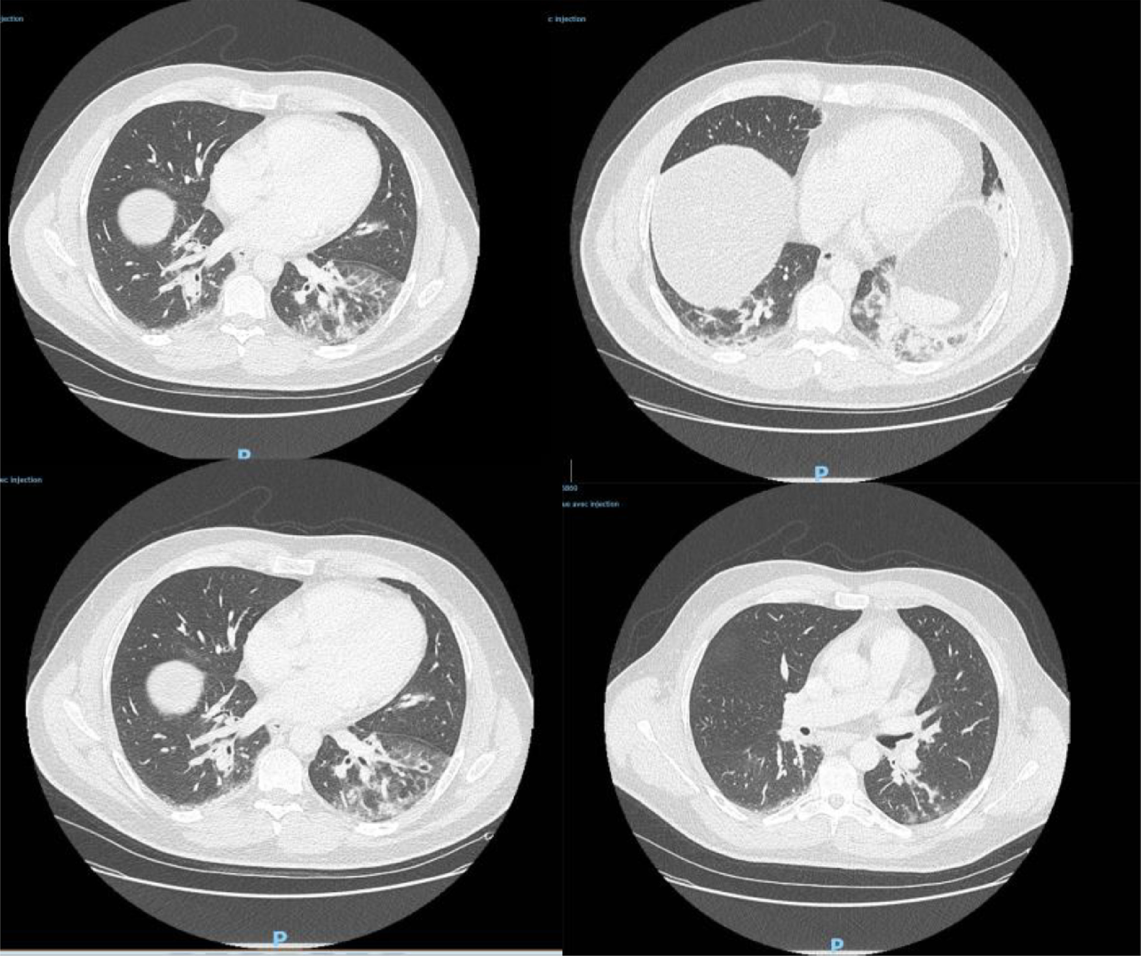
研究人员此番发现 , 一名42岁男子的样本新冠病毒检测呈阳性 。 该男子出生在阿尔及利亚 , 已长居法国多年 , 职业为鱼贩 , 最近一次旅行是在2019年8月前往阿尔及利亚 。 他于去年12月27日到急诊室就医 , CT检查显示双侧肺下叶呈现磨玻璃影 , 并伴有咯血、咳嗽、头痛及发热症状 , 且当时症状已持续4天 。 病患当天被收入重症监护室并进行抗生素治疗 , 后因病情好转于12月29日解除重症监护 。

本文图片
△图为病患CT检测影像
论文指出 , 由于这一病例与中国缺乏关联 , 并且在发病前没有临近旅行史 , 这表明新冠病毒2019年12月底已在法国人当中传播 , 比2020年1月24日官方首次确诊病例早了近1个月 。 由此也可推测 , 在2020年1月期间法国或存在大量无症状感染者 , 他们造成了病毒的进一步扩散 。 论文还称 , 这一发现改变了对于法国新冠肺炎疫情发展的认知 , 此前相应的研究模型需要就此作出调整 。
意大利:去年10月医生就看到了这种病毒
意大利知名医学专家朱塞佩·雷穆齐(Giuseppe Remuzzi)在三月接受美国媒体采访时曾表示 , 最早一些家庭医生就细心地发现 , 他们接触到的重症肺炎 , 跟普通流感不同 。 他们在10月、11月、12月就看到了这种病毒 , 因此这种病毒已经存在了很长时间 。 “这意味着在我们知道中国的疫情暴发之前 , 病毒至少就已经在意大利的伦巴第北部地区传播起来了 。 ”
据意大利安莎社3月25日报道 , 在伦巴第大区卫生局协调下 , 14家研究中心在学术论文平台ArXiv上联合发表的论文显示 , 新型冠状病毒早在2020年1月1日就开始在伦巴第大区流行 。 英国《自然》杂志在其网站上评论称 , 新冠肺炎疫情在

本文图片
CNN:新的基因分析显示 新冠病毒去年底已开始在全球传播
CNN5日报道 , 英国研究人员对全球7600名患者身上提取的新冠病毒进行基因分析表明 , 该病毒从去年晚些时候就已经开始在世界范围内传播 , 并且一定是在首例感染后快速地扩散 。
伦敦大学学院(University College London)遗传学研究所的研究员弗朗索瓦·鲍卢克斯(Francois Balloux)对CNN表示:“这种病毒正在发生变异 , 但这本身并不意味着它正在恶化 。 ”
该团队的研究报告发表于《分子流行病学和传染病进化遗传学Infection, Genetics and Evolution》 。
报告写道:“我们的结果与先前的估计相符 , 到2019年底前所有基因序列都具有共同的祖先 , 这证明在这一时期 , 新冠病毒进入人类宿主 。 ”
“这是最近的事 , ”鲍卢克斯说 , “我们非常、非常、非常有信心病毒进入人类宿主发生在去年年底 。 ”
CNN称 , 这说明该病毒早在官方报告之前就已经在西方传播 。
【国际证据越来越多!新冠病毒去年底或已在西方国家传播】
本文图片
【国际证据越来越多!新冠病毒去年底或已在西方国家传播】综合北京日报客户端此前报道 , 央视新闻客户端、健康时报等
推荐阅读
- 国际美国“退群”被德国外长指责后,美大使回嘴:不该怪美国,应对俄罗斯施压
- 外媒再放狠话!就算中芯国际成功进口EUV光刻机:也无法生产5nm芯片
- 国际观察|美国称中国窃取其新冠疫苗信息?赵立坚果断回击
- 国际奥委会与日本谈判筹码,取消东京奥运会,相信你就输了
- 越来越多的人发现,欧洲正在“放弃特朗普”,美媒说了句大实话
- 文物没想到,你是这样的古董!
- 民法典外媒:《中华人民共和国民法典(草案)》涉及范围广、亮点多
- 国际知名度最高的3座中国城市,北京毫无悬念上榜,另外2个是哪?
- 为何如今越来越多的人选择购买华为手机,而不是苹果?这就是原因
- 国际观察丨中印两军中国锡金边境动手,点赞勇于出手的中国战士
