「中国青年网」沉迷电子烟 加拿大少年患上“爆米花肺”
「中国青年网」沉迷电子烟 加拿大少年患上“爆米花肺”//联盟头条 http://toutiao.caoding.cn/
据英国《每日邮报》11月21日报道 , 加拿大一名17岁少年在吸电子烟5个月后 , 被诊断出患有“爆米花肺” , 险些丧命 。
「中国青年网」沉迷电子烟 加拿大少年患上“爆米花肺”。去年 , 该少年出现了剧烈咳嗽、发烧和呼吸困难的症状 , 被送往医院检查 , 被误诊为肺炎 , 医生给他开了抗菌素后就让其回家了 。 没想到5天后 , 少年仍然没有好转 , 再次来医院就诊 。
医生得知 , 少年从5个月前开始 , 每天都吸电子烟 , 烟油都是从网上购买的 。 此外 , 少年还承认 , 他在烟油中添加了四氢大麻酚 。 在美国 , 黑市上出售的四氢大麻酚产品是电子烟泛滥的元凶 , 已经造成42人死亡 , 还有超过 2000人住院治疗 。
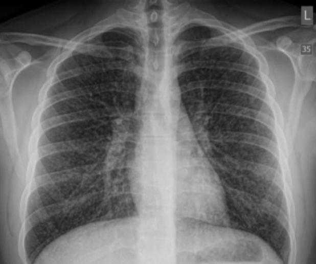
在为少年进行了一系列X光和CT扫描后 , 医生们得出了结论 , 他患上了闭塞性细支气管炎 , 也叫“爆米花肺” 。 这是一种严重的不可逆性肺部损伤 , 通常是由于吸入二乙酰引起的 。 尽管二乙酰可以安全食用 , 但吸入却是致命的 。 医生们认为 , 少年吸食的烟油中一定是加入了二乙酰或是类似的化学物质 。
「中国青年网」沉迷电子烟 加拿大少年患上“爆米花肺”。起初少年通过呼吸机来维持生命 , 但病情不断恶化 , 医生不得不为他进行气管切开 , 通过在气管中插入人工导管的方式 , 将空气输送到肺部 。 幸运的是 , 大剂量的类固醇减轻了炎症 , 在住院47天后 , 少年终于出院了 。 不过 , 4个月后 , 少年仍感到呼吸困难 , 医生也无法确定他的肺功能能否完全恢复 。 (中国青年网编译报道)
推荐阅读
- 三国杀:卡牌是否应该“界限突破”?且看这版「界闪电」设计如何
- 麦迪:若和恩比德同队会打起来,预计篮网勇士会师2021年总决赛
- 「周榜」9件最抢手美衣
- 颜值在线的它,东风风行T5L表现如何?网友:“纸老虎”
- 环球网林郑月娥三谈香港国家安全立法:将尽全力宣传和解释重要性,抗衡无理攻击和肆意诋毁
- 新华网内地学者解读全国人大会议涉港议程:守护国家安全、维护“一国两制”的必要之举
- 环球网刚刚,王毅回答环球时报—环球网提问,谴责美方“三无产品”
- 环球网王毅:病毒源头问题上,中方与美国一些政客之间的分歧,是真相与谎言的距离,是科学与偏见的对比
- 轻薄便携!酷比魔方KBook Lite上手,3K分辨率打造专属网课本!
- 新华网河南师范大学青年学子在战“疫”中绽放青春
