【中国经济网】17岁少年双肺坏死插管濒亡 医生:吸电子烟的下场
【中国经济网】17岁少年双肺坏死插管濒亡 医生:吸电子烟的下场。来源:看看新闻
(原始标题:17岁少年双肺坏死插管濒亡 医生:吸电子烟的下场)
美国一名17岁少年因吸食电子烟导致双肺坏死 , 命悬一线 。 近日医生为其进行了双肺移植手术 , 称血淋淋的教训足以警惕人们"吸电子烟的下场"!
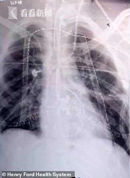
据英国《每日邮报》11月12日报道 , 这名17岁的男性患者姓名未予公开 。 今年9月5日 , 他首次被密歇根州一家医院收治 , 症状疑似肺炎 , 但病情迅速恶化 , 10月3日被转移至密歇根州儿童医院抢救前 , 已经做了插管 。
【中国经济网】17岁少年双肺坏死插管濒亡 医生:吸电子烟的下场//联盟头条 http://toutiao.caoding.cn/
CT结果显示 , 少年的双肺已变成疤痕组织 , 据此判断他离死亡只剩下几天时间 。 10月15日 , 医疗小组耗时6小时为他做了双肺移植手术 , 由此少年成为美国第一个接受双肺移植的肺气肿患者 。 虽然性命保全 , 但医生称他还有很长的康复之路要走 。
【中国经济网】17岁少年双肺坏死插管濒亡 医生:吸电子烟的下场//联盟头条 http://toutiao.caoding.cn/
【中国经济网】17岁少年双肺坏死插管濒亡 医生:吸电子烟的下场。美国疾病预防控制中心的统计数据表明 , 今年3月以来 , 由电子烟引起的肺部疾病已经导致2051名美国人患病 , 涉及美国24个州 , 确认死亡人数达39人 。 大多数电子烟的受害者是男性 , 年龄在35岁以下 , 死者年龄在17至75岁 。
医疗团队在新闻发布上力劝人们远离电子烟 , 称手术只能拯救一个人 , 希望更多人"记住这个活生生的教训" 。
【中国经济网】17岁少年双肺坏死插管濒亡 医生:吸电子烟的下场//联盟头条 http://toutiao.caoding.cn/
上周五(8日) , 美国疾病控制和预防中心表示 , 电子烟中添加的维生素E醋酸酯 , 可能是导致致命性肺病的罪魁祸首 。
【中国经济网】17岁少年双肺坏死插管濒亡 医生:吸电子烟的下场//联盟头条 http://toutiao.caoding.cn/
推荐阅读
- 美国用“核试验”来恫吓中国“核裁军”,那是赤裸裸的核讹诈
- 颠覆未来战场?美军成功测试新武器,但中国早用来砍树了
- 《异度神剑 终极版》日语配音与英语配音直观对比影像
- RNG新上单暴露了?绿毛小明聊天记录曝光:记得照顾好我们的兄弟
- 讲解bjl下三路打法原理及个人实战技巧心得经验分享【许祥孜】
- 莱万已经累计4张黄牌,对阵法兰克福若再吃牌,将无法出战多特
- “神童”将加入NBA发展联盟?未来的中国男篮,强敌恐不止日本!
- 2换1!乔丹当年的交易筹码曝光
- 疫情想借疫情敲诈中国是白日做梦!王毅这些话掷地有声
- 岂有此理,6000华人宣誓加入美国,扬言中国无权取消他们国籍
