拔出黑头粉刺,地毯式清洁肌肤,还能缩小毛孔!素颜也自带妆容( 七 )

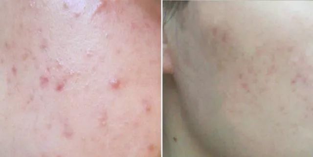
祛痘消炎
PP霜能够帮助消除面部红肿,具有良好的杀菌消炎作用。所以对于青春痘姨妈痘,或者面部粉刺,痤疮,以及感染的痘痘都有帮助。
定期清洁面部,还能淡化痘印。

使用第一周,大红肿痘消肿变瘪;连续两周以上,痘痘伤口愈合,“红痘”彻底枯萎,痘印明显淡化。

不同人群肤质不同,肌肤修复能力不同,所以痘痘改善时间也不尽相同。所以还是要坚持使用才能看到效果哦~

去黑头
“草莓鼻”是所有妹子们的痛,PP霜就像吸尘器一样能后吸附肌肤中的顽固黑头。
推荐阅读
- 秦岚|拔出萝卜带出泥!继洗米华事件后,张信哲被举报,古天乐也遭殃
- 邵雨轩|“贝勒爷”从不露脸的闺蜜,被网友拔出,观众:这颜值不出镜可惜
- 小姐姐|街拍:小姐姐的金发一般人驾驭不了,东方人还是黑头发看着顺眼
- 广州市第一人民医院|简单3步,1个礼拜黑头就去光光
- 皮脂|黑头太多挤一挤?劝你别乱来,还在用这些方法的朋友,别上当了
- 小粉刺|为什么鼻子总喜欢长黑头、小粉刺?而且怎么也去不掉
- 油脂|女生别再这样去黑头了,会越来越丑
- 张哲瀚|拔出萝卜带出泥,陈露捅了马蜂窝,该如何收场
- 黑头|黑头导出液会加重黑头吗
- 毛巾|黑头导出液怎么用
